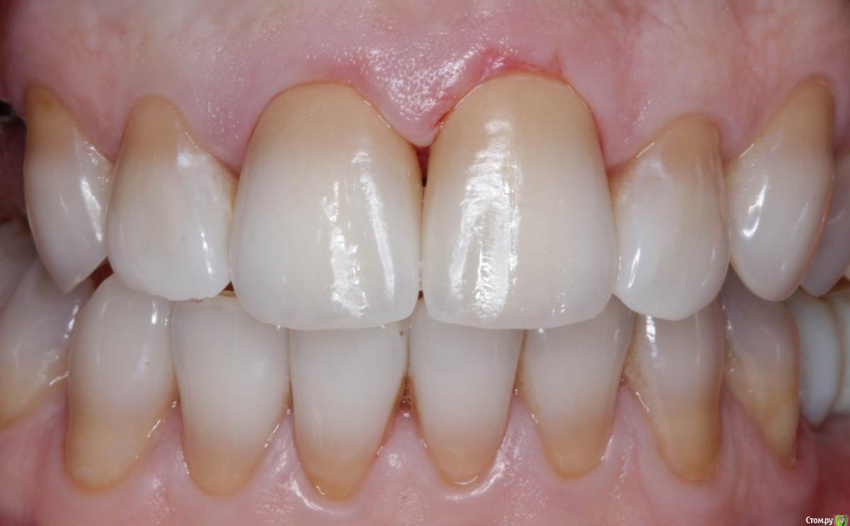
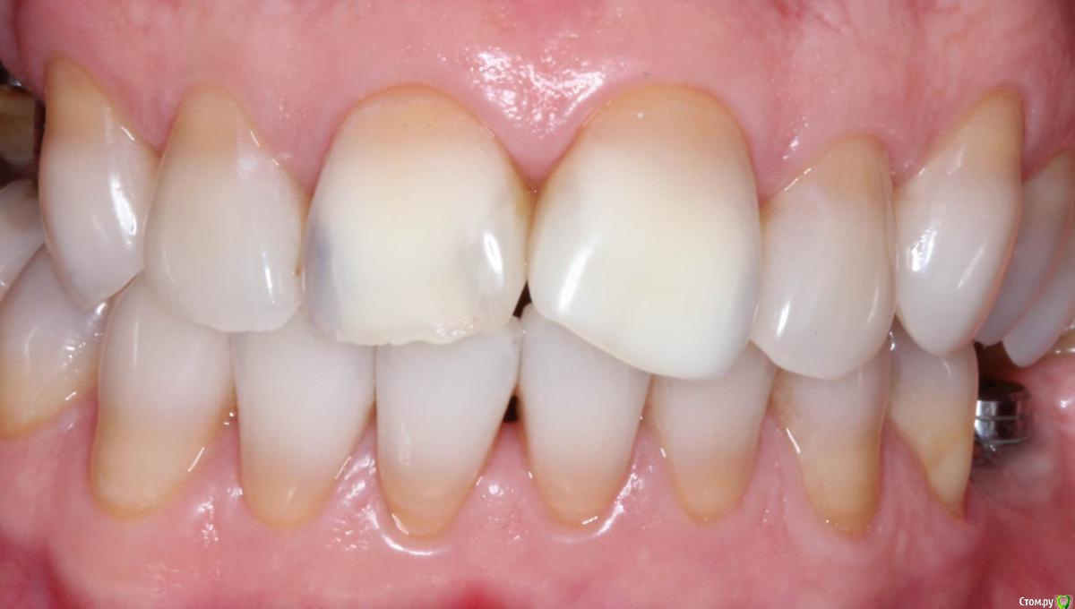
Доктор Андрей Опубликовано 1 декабря, 2015 Поделиться Опубликовано 1 декабря, 2015 Тетрациклинщица обратилась за красотой. Вопрос: чем перекрыть темный цвет? Хотелось бы с помощью цельнопрессованных реставраций, только боюсь, что может не получиться полностью закрыть темный оттенок. Ведь чтобы его надежно перекрыть, нужен инвазивный преп, а это приведет к обнажению дентина и к еще более темному его оттенку! К тому же зубки имеют выраженный вестибулярный профиль, и их никак не хочется увеличивать вестибулярно. Что бы вы предложили этой даме на моем месте? Ссылка на комментарий
DR.P Опубликовано 1 декабря, 2015 Поделиться Опубликовано 1 декабря, 2015 О, тетрациклинщик! Сомневаетесь ДЦ или ИМАКС?Я бы начал с вакс апа. Постараться размоделировать верх и низ. По поводу реставраций: проведите в несколько этапов: отпрепарируйте в пределах эмали и посмотрите какие идут изменения цвета тканей зубов. Если имакс, то LT скорее всего, можно рискнуть и с MO, с редукцией по режущему, чтобы как то прозрачкой поиграться и сделать работу более эстетичной. Я за имакс, даже если потребуется чуть большее редуцирование твердых тканей, в крайнем случае переведете в полный винир. 1 Ссылка на комментарий
Доктор Андрей Опубликовано 1 декабря, 2015 Автор Поделиться Опубликовано 1 декабря, 2015 О, тетрациклинщик! Сомневаетесь ДЦ или ИМАКС?Я бы начал с вакс апа. Постараться размоделировать верх и низ. По поводу реставраций: проведите в несколько этапов: отпрепарируйте в пределах эмали и посмотрите какие идут изменения цвета тканей зубов. Если имакс, то LT скорее всего, можно рискнуть и с MO, с редукцией по режущему, чтобы как то прозрачкой поиграться и сделать работу более эстетичной. Я за имакс, даже если потребуется чуть большее редуцирование твердых тканей, в крайнем случае переведете в полный винир. Вот кстати про полный винир. Я не хотел бы ей препарировать оральные поверхности, но обязательно пойду на сепарацию. Не вижу возможности добиться эстетичного результата, не снеся аппроксималки. Про ДЦ даже не думаю. Ради более простого перекрытия тетрациклинового оттенка я не буду убивать твердые ткани таких выраженных по форме зубов. Под прессовку все-таки в два раза меньше родных тканей уйдет. Ссылка на комментарий
DR.P Опубликовано 1 декабря, 2015 Поделиться Опубликовано 1 декабря, 2015 Да, только пресс, согласен, сепарация по апроксималкам точно необходима. Интересный будет кейс! Ссылка на комментарий
Сева северный Опубликовано 1 декабря, 2015 Поделиться Опубликовано 1 декабря, 2015 (изменено) Я тоже за М таблетку.( отлично перекрывает большинство цветовых изменений) Но требует чуть большего препарирования, либо более пузатых виниров(коронок). Можно посоветовать обыграть, через индивидуальный образец. Изменено 1 декабря, 2015 пользователем Сева северный 1 Ссылка на комментарий
Art 7 Опубликовано 1 декабря, 2015 Поделиться Опубликовано 1 декабря, 2015 А рефрактором не получится перекрыть? 1 Ссылка на комментарий
Сева северный Опубликовано 1 декабря, 2015 Поделиться Опубликовано 1 декабря, 2015 А рефрактором не получится перекрыть?такой цвет, не пробывал.....было бы интересно посмотреть. Ссылка на комментарий
Сева северный Опубликовано 1 декабря, 2015 Поделиться Опубликовано 1 декабря, 2015 Быстро не чего не нашелМожет не в тему...Пример работы на МО ...со сложным переходом 3 Ссылка на комментарий
Klyu4n!k Опубликовано 2 декабря, 2015 Поделиться Опубликовано 2 декабря, 2015 А рефрактором не получится перекрыть? Я за рефрактор. Перекрывали им вкладки из КХС. Если техник умеет, проблем быть не должно. Ссылка на комментарий
Доктор Андрей Опубликовано 2 декабря, 2015 Автор Поделиться Опубликовано 2 декабря, 2015 Я за рефрактор. Перекрывали им вкладки из КХС. Если техник умеет, проблем быть не должно. Он же очень прозрачный, как с этим борется ваш техник? Или опаковые слои позволяют все перекрыть? Ссылка на комментарий
Klyu4n!k Опубликовано 2 декабря, 2015 Поделиться Опубликовано 2 декабря, 2015 Он же очень прозрачный, как с этим борется ваш техник? Или опаковые слои позволяют все перекрыть? Опаковый слой перекрывает. Ссылка на комментарий
Доктор Андрей Опубликовано 15 декабря, 2015 Автор Поделиться Опубликовано 15 декабря, 2015 Был на семинаре Сергея Максимова, решил попробовать перекрыть прессовкой. Только препарировать буду тоньше, чем обычно. У кого еще будут какие-то мнения? Очень хотелось бы услышать. Ссылка на комментарий
Таточка Опубликовано 22 декабря, 2015 Поделиться Опубликовано 22 декабря, 2015 Попробуйте перекрыть е-мах импульс.я попробовала его сделать после курса Сергея Максимова.Такую работу делала в-первые и "забадалась" по-полной)))Пальцы в конце дня с непривычки были как у Кита Ричардса))таблетка V2 дала цвет по вите а-1 где то.во рту ещё не видела,но сами по себе красивенькие получились.отличный выбор,если пациент хочет ровненько-красивенько и без всяких премудростей в области режущего.Удачи вашему технику)По первости заморочисто,но интересно)Чувствую,что вторая работа пойдёт легче) Ссылка на комментарий
Сева северный Опубликовано 22 декабря, 2015 Поделиться Опубликовано 22 декабря, 2015 Попробуйте перекрыть е-мах импульс.я попробовала его сделать после курса Сергея Максимова.Такую работу делала в-первые и "забадалась" по-полной)))Пальцы в конце дня с непривычки были как у Кита Ричардса))таблетка V2 дала цвет по вите а-1 где то.во рту ещё не видела,но сами по себе красивенькие получились.отличный выбор,если пациент хочет ровненько-красивенько и без всяких премудростей в области режущего.Удачи вашему технику)По первости заморочисто,но интересно)Чувствую,что вторая работа пойдёт легче)задолбались....имеется в виду текстура..??? Ссылка на комментарий
Доктор Андрей Опубликовано 23 декабря, 2015 Автор Поделиться Опубликовано 23 декабря, 2015 Попробуйте перекрыть е-мах импульс.я попробовала его сделать после курса Сергея Максимова.Такую работу делала в-первые и "забадалась" по-полной)))Пальцы в конце дня с непривычки были как у Кита Ричардса))таблетка V2 дала цвет по вите а-1 где то.во рту ещё не видела,но сами по себе красивенькие получились.отличный выбор,если пациент хочет ровненько-красивенько и без всяких премудростей в области режущего.Удачи вашему технику)По первости заморочисто,но интересно)Чувствую,что вторая работа пойдёт легче) Аааа.... Это вы справа от Паши сидели? Ну я как раз на Импульс и нацелился. Жду, когда пройдет подготовка у хирурга и терапевта. Путь у этой пациентки до меня еще неблизкий. Спасибо за совет! А почему пальцы-то болели? Ссылка на комментарий
Таточка Опубликовано 25 декабря, 2015 Поделиться Опубликовано 25 декабря, 2015 я не задолбалась,а забадалась)))ну,по сути одно и то же)))цельнопресс более жёсткий и прочный,несмотря на маленькую толщину и всё нужно выпиливать и выполировывать,а я не привыкла много пилить,тк стараюсь все выкладывать из массы а не пилить,поэтому с непривычки пальчики гудели.ответственное занятие ведь))нацелившись на импульс ,сначала скажите об этом своему технику заранее,чтобы он провентелировал вопрос наличия таблеток в городе.в спб я их с трудом нашла!!и то в остатках,и возить его не очень хотят из-за невостребованности.в мск ,вроде,проблем ним нет. Ссылка на комментарий
Сева северный Опубликовано 25 декабря, 2015 Поделиться Опубликовано 25 декабря, 2015 я не задолбалась,а забадалась)))ну,по сути одно и то же)))цельнопресс более жёсткий и прочный,несмотря на маленькую толщину и всё нужно выпиливать и выполировывать,а я не привыкла много пилить,тк стараюсь все выкладывать из массы а не пилить,поэтому с непривычки пальчики гудели.ответственное занятие ведь))нацелившись на импульс ,сначала скажите об этом своему технику заранее,чтобы он провентелировал вопрос наличия таблеток в городе.в спб я их с трудом нашла!!и то в остатках,и возить его не очень хотят из-за невостребованности.в мск ,вроде,проблем ним нет.Сложности обработки (Наконечник с охлаждением, фиксации к штампику и др.) мне понятны ..... тогда может лучше рефрактор или на фольге? Ссылка на комментарий
Таточка Опубликовано 25 декабря, 2015 Поделиться Опубликовано 25 декабря, 2015 но интересно ведь попробовать..) 1 Ссылка на комментарий
Доктор Андрей Опубликовано 30 декабря, 2015 Автор Поделиться Опубликовано 30 декабря, 2015 Сложности обработки (Наконечник с охлаждением, фиксации к штампику и др.) мне понятны ..... тогда может лучше рефрактор или на фольге? Так вот нас с Татьяной и отговаривали от рефрактора в пользу Импульса! Ссылка на комментарий
Rumata Опубликовано 2 января, 2016 Поделиться Опубликовано 2 января, 2016 Я за рефрактор. Перекрывали им вкладки из КХС. Если техник умеет, проблем быть не должно. А зачем делать рефрактор на металл (если я правильно понял, речь о полевошпате на огнеупорном штампике)? И как потом ведет себя тонкостенная бескаркасная конструкция зафиксированная неадгезивно на вкладку кхс? Сомнительно, что долго протянет Ссылка на комментарий
Сева северный Опубликовано 8 января, 2016 Поделиться Опубликовано 8 января, 2016 Так вот нас с Татьяной и отговаривали от рефрактора в пользу Импульса!И какие аргументы приводились? 1 Ссылка на комментарий
Klyu4n!k Опубликовано 9 января, 2016 Поделиться Опубликовано 9 января, 2016 А зачем делать рефрактор на металл (если я правильно понял, речь о полевошпате на огнеупорном штампике)? И как потом ведет себя тонкостенная бескаркасная конструкция зафиксированная неадгезивно на вкладку кхс? Сомнительно, что долго протянетСитуация была такая: пациентка с высокими эстетическими ожиданиями. 13, 12, 23 -виниры, 11, 21, 22 - полные коронки (переделывали ранее изготовленные и-макс). В 21 кхс вкладка (предыдущий лечащий врач изменял направление зуба вкладкой, по КТ корень перфорирован, но деструктивных изменений в периодонте не выявлено, жалоб никаких нет). От рационального плана лечения (удаление, имплантация и т.д.) пациентка категорически отказалась (при виде хирурга бледнеет и покрывается холодным потом). Поэтому пришли к компромиссному варианту: 6 рефракторов, 21 - без гарантии (хотя с точки зрения ортопедии проблем быть не должно, там сохранился приличный феррул). Как бы Вы поступили в предложенном клиническом случае? З.Ы. Через соц сеть пациентка поздравляла с праздниками, предполагаю, что все у неё хорошо. Случаю 2 года. Ссылка на комментарий
Rumata Опубликовано 10 января, 2016 Поделиться Опубликовано 10 января, 2016 Ситуация была такая: пациентка с высокими эстетическими ожиданиями. 13, 12, 23 -виниры, 11, 21, 22 - полные коронки (переделывали ранее изготовленные и-макс). В 21 кхс вкладка (предыдущий лечащий врач изменял направление зуба вкладкой, по КТ корень перфорирован, но деструктивных изменений в периодонте не выявлено, жалоб никаких нет). От рационального плана лечения (удаление, имплантация и т.д.) пациентка категорически отказалась (при виде хирурга бледнеет и покрывается холодным потом). Поэтому пришли к компромиссному варианту: 6 рефракторов, 21 - без гарантии (хотя с точки зрения ортопедии проблем быть не должно, там сохранился приличный феррул). Как бы Вы поступили в предложенном клиническом случае? З.Ы. Через соц сеть пациентка поздравляла с праздниками, предполагаю, что все у неё хорошо. Случаю 2 года. Ясно. Я бы все равно делал на 21 либо пресс, либо каркас из диоксида. Но это конечно должно согласовываться с возможностями техника в плане эстетики с остальными реставрациями. Но, как говориться, главное результат))) Ссылка на комментарий
Рекомендуемые сообщения
Для публикации сообщений создайте учётную запись или авторизуйтесь
Вы должны быть пользователем, чтобы оставить комментарий
Создать аккаунт
Зарегистрируйте новый аккаунт в нашем сообществе. Это очень просто!
Регистрация нового пользователяВойти
Уже есть аккаунт? Войти в систему.
Войти