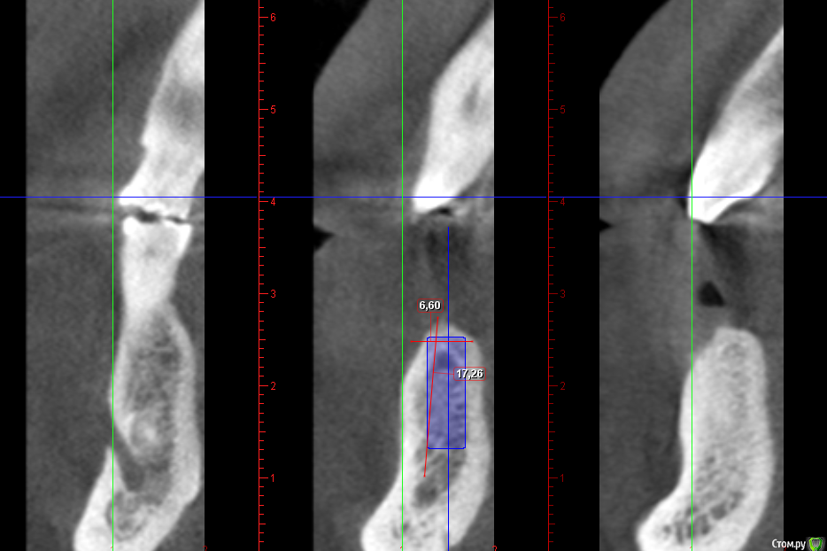
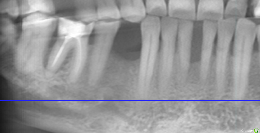
Sergiosse Опубликовано 30 ноября, 2015 Поделиться Опубликовано 30 ноября, 2015 Планируется установка импланта 4,2 х 12мм . Хочется 14 мм ,но боюсь залететь в петлю н\ч канала, т.к.опыт небольшой, а в этой области работаю впервые.На горизонтальном срезе до него всего 2.5 мм. Стоит рисковать ?На практике, что в данном случае дадут лишние 2 мм длинны.? Камрады посоветуйте,с вами мне спокойнее.Да, если торк будет в районе 35-45 Н\см можно сделать временную коронку, или лучше формик поставить?Заранее благодарю за советы. Ссылка на комментарий
syrovovec Опубликовано 30 ноября, 2015 Поделиться Опубликовано 30 ноября, 2015 14 мм точно не стал бы ставить, скорее всего 10 мм поставил и заглубил , ширины у Вас особо не разгуляешься. Если будет торк хороший и планируете индивидуальный абатмент делайте временную коронку, если нет формик 1 Ссылка на комментарий
Bier Опубликовано 30 ноября, 2015 Поделиться Опубликовано 30 ноября, 2015 на практике достаточно 10мм ) 5 Ссылка на комментарий
Тимур86 Опубликовано 30 ноября, 2015 Поделиться Опубликовано 30 ноября, 2015 (изменено) "когда ставите имплантат,всегда думайте о том,кто будет его удалять..." Изменено 30 ноября, 2015 пользователем Тимур86 1 Ссылка на комментарий
Magomed Опубликовано 30 ноября, 2015 Поделиться Опубликовано 30 ноября, 2015 главное не размер а уменье.))) Ссылка на комментарий
Magomed Опубликовано 30 ноября, 2015 Поделиться Опубликовано 30 ноября, 2015 в правильной позиции установить имплантат. Ссылка на комментарий
Nazim_NV86 Опубликовано 30 ноября, 2015 Поделиться Опубликовано 30 ноября, 2015 14 мм точно не стал бы ставить, скорее всего 10 мм поставил и заглубил , ширины у Вас особо не разгуляешься. Если будет торк хороший и планируете индивидуальный абатмент делайте временную коронку, если нет формик Плюсую. Ссылка на комментарий
faity Опубликовано 30 ноября, 2015 Поделиться Опубликовано 30 ноября, 2015 "когда ставите имплантат,всегда думайте о том,кто будет его удалять..." Не нагнетайте, Таймураз отчество не запомнил Ссылка на комментарий
Тимур86 Опубликовано 30 ноября, 2015 Поделиться Опубликовано 30 ноября, 2015 Не нагнетайте, Таймураз отчество не запомнилМалхазиевич)))нет,ну когда-нибудь его же вполне возможно придется извлекать!а 10-ку извлечь можно с меньшей травмой,чем 14...ничто ведь не вечно) 1 Ссылка на комментарий
bullbull Опубликовано 1 декабря, 2015 Поделиться Опубликовано 1 декабря, 2015 Если винт будет установлен правильно, то речь будет о "самоизвлечении"На срезе длина 14? Ссылка на комментарий
faity Опубликовано 1 декабря, 2015 Поделиться Опубликовано 1 декабря, 2015 по теме, редко ставлю больше 9мм. этого вполне достаточно Ссылка на комментарий
Фарид Расулыч Опубликовано 1 декабря, 2015 Поделиться Опубликовано 1 декабря, 2015 Помните про концепцию 5-ти мм. Длиннющий болт хорошо для высокой первичной стабильности и временной коронки. Получить высокий торк на длинном импланте проще и спокойней.Редко когда больше 10 мм ставлю.Вот сегодня был пациент - три импланта 5 х 11,5. Ну там можно было в два ряда ставить) Ссылка на комментарий
Nazim_NV86 Опубликовано 1 декабря, 2015 Поделиться Опубликовано 1 декабря, 2015 Помните про концепцию 5-ти мм. Длиннющий болт хорошо для высокой первичной стабильности и временной коронки. Получить высокий торк на длинном импланте проще и спокойней.Редко когда больше 10 мм ставлю.Вот сегодня был пациент - три импланта 5 х 11,5. Ну там можно было в два ряда ставить)Я на днях одному американцу 24,26 поставил 4.0х13мм. Впервые видел чтоб в области отсутствующих моляров вч была кость по вертикали около 16мм. Ссылка на комментарий
Sergiosse Опубликовано 1 декабря, 2015 Автор Поделиться Опубликовано 1 декабря, 2015 Спасибо за мнения.Соотношение длинны коронки к импланту оптимально 1к 2,а если 1 к 1 ?.Удлинняя имплант мы уменьшаем вывихивающее действие коронки.тем самым продлевая срок службы всей конструкции. Ссылка на комментарий
Nazim_NV86 Опубликовано 1 декабря, 2015 Поделиться Опубликовано 1 декабря, 2015 Спасибо за мнения.Соотношение длинны коронки к импланту оптимально 1к 2,а если 1 к 1 ?.Удлинняя имплант мы уменьшаем вывихивающее действие коронки.тем самым продлевая срок службы всей конструкции. врядли Ссылка на комментарий
Bier Опубликовано 1 декабря, 2015 Поделиться Опубликовано 1 декабря, 2015 Спасибо за мнения.Соотношение длинны коронки к импланту оптимально 1к 2,а если 1 к 1 ?.Удлинняя имплант мы уменьшаем вывихивающее действие коронки.тем самым продлевая срок службы всей конструкции.Это справедливо для зубов, не для имплантатов 1 Ссылка на комментарий
lonely_jack Опубликовано 1 декабря, 2015 Поделиться Опубликовано 1 декабря, 2015 (изменено) не гоняйтесь за длиной, не надо тратить нервы, ставя впритык к каналу. ставил в вашей позиции недавно, только условия были намного хуже. аккуратничал как мог. всеми сверлами прошел - последним провалился (но совсем чуть чуть). Ощущения - далеко не из приятных, думал в канал попал. Оказалось - по кт были погрешности ( выяснил по другому снимку после имплантации), а проваливание - язычную стенку пропорол, но совсем чуть чуть - имплант пальпироваться не будет.. Если есть возможность 10 мм установить без прочих вмешательств - радуйтесь за пациента, т.к. даже короткие импланты неплохо себя ведут Изменено 1 декабря, 2015 пользователем lonely_jack Ссылка на комментарий
Sergiosse Опубликовано 2 декабря, 2015 Автор Поделиться Опубликовано 2 декабря, 2015 не гоняйтесь за длиной, не надо тратить нервы, ставя впритык к каналу. ставил в вашей позиции недавно, только условия были намного хуже. аккуратничал как мог. всеми сверлами прошел - последним провалился (но совсем чуть чуть). Ощущения - далеко не из приятных, думал в канал попал. Оказалось - по кт были погрешности ( выяснил по другому снимку после имплантации), а проваливание - язычную стенку пропорол, но совсем чуть чуть - имплант пальпироваться не будет.. Если есть возможность 10 мм установить без прочих вмешательств - радуйтесь за пациента, т.к. даже короткие импланты неплохо себя ведутспасибо Ссылка на комментарий
Рекомендуемые сообщения
Для публикации сообщений создайте учётную запись или авторизуйтесь
Вы должны быть пользователем, чтобы оставить комментарий
Создать аккаунт
Зарегистрируйте новый аккаунт в нашем сообществе. Это очень просто!
Регистрация нового пользователяВойти
Уже есть аккаунт? Войти в систему.
Войти