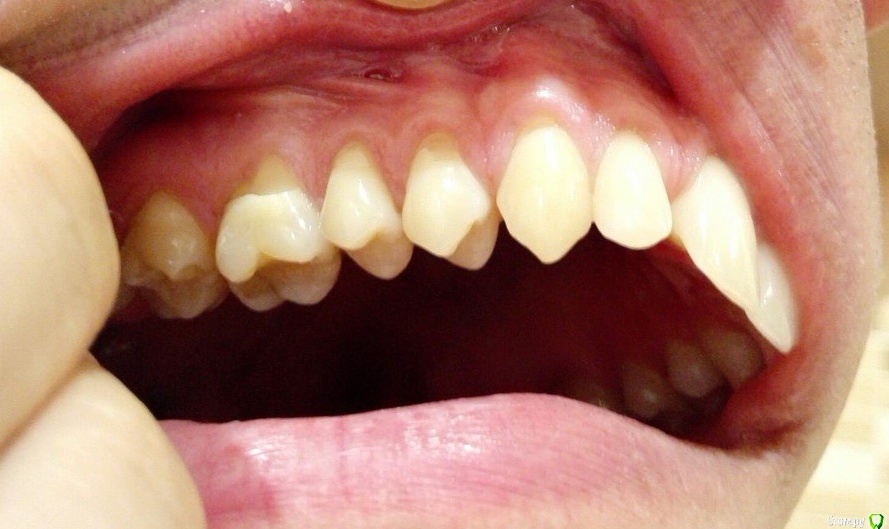
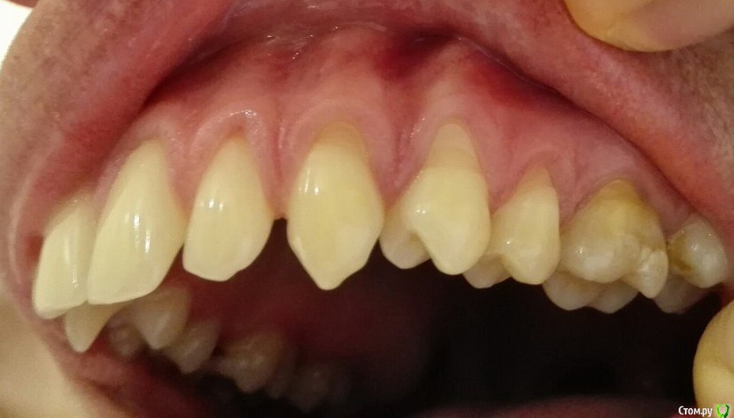
scarich Опубликовано 30 ноября, 2015 Поделиться Опубликовано 30 ноября, 2015 Добрый день, очень досаждает чувствительность зубов, подскажите насколько все плохо и как лучше лечить клиновидный дефект? Просто закрыть пломбами или только брекеты, или существуют другие методы лечения? Ссылка на комментарий
IvanK Опубликовано 30 ноября, 2015 Поделиться Опубликовано 30 ноября, 2015 Здравствуйте,сходите на консультацию к хирургу, который занимается закрытием рецессий + обсудить Вашу чистку зубов Ссылка на комментарий
Larnary Опубликовано 30 ноября, 2015 Поделиться Опубликовано 30 ноября, 2015 (изменено) Доброе утро!А я бы порекомедовал сходить на консультацию к ортодонту. Мне кажется тут дело не только в чистке. Здесь симметрично двухсторонние клиновидные деффекты практически на всех зубах. Изменено 30 ноября, 2015 пользователем Larnary Ссылка на комментарий
scarich Опубликовано 30 ноября, 2015 Автор Поделиться Опубликовано 30 ноября, 2015 Спасибо за советы!Сходил на консультацию к хирургу, он сказал что здесь бессилен и практически один в один повторил слова Larnary, отправил к ортодонту. Записался к ортодонту, если окажется что дело в прикусе, то брекеты я так понимаю единственный правильный вариант лечения? Ссылка на комментарий
red_butler Опубликовано 30 ноября, 2015 Поделиться Опубликовано 30 ноября, 2015 http://forum.stom.ru/user/45582-scarich/, сколько Вам лет. Идти нужно и к ортодонту и к хирургу. Меня смущает отсутствие стираемости. Возможно понадобится избирательное пришлифовывание Ссылка на комментарий
scarich Опубликовано 2 декабря, 2015 Автор Поделиться Опубликовано 2 декабря, 2015 (изменено) http://forum.stom.ru/user/45582-scarich/, сколько Вам лет. Идти нужно и к ортодонту и к хирургу. Меня смущает отсутствие стираемости. Возможно понадобится избирательное пришлифовываниеМне 27 лет. Red_butler, а не могли бы Вы пояснить что это такое? Ни хирург ни ортодонт не упомянули об этом. Хирург сказал что он здесь ничего сделать не сможет, а ортодонт посоветовала брекеты (зубы наклонены вовнутрь), но уточнила, что никаких гарантий, что дефект исчезнет не дает. Изменено 2 декабря, 2015 пользователем scarich Ссылка на комментарий
red_butler Опубликовано 2 декабря, 2015 Поделиться Опубликовано 2 декабря, 2015 Зубы с возрастом физиологически стираются. Если этого не происходит, страдают кость и десна. Ссылка на комментарий
Рекомендуемые сообщения
Для публикации сообщений создайте учётную запись или авторизуйтесь
Вы должны быть пользователем, чтобы оставить комментарий
Создать аккаунт
Зарегистрируйте новый аккаунт в нашем сообществе. Это очень просто!
Регистрация нового пользователяВойти
Уже есть аккаунт? Войти в систему.
Войти