Перейти к содержанию
Стоматология для всех

Воспаление десны под коронкой


Сьюм

Рекомендуемые сообщения

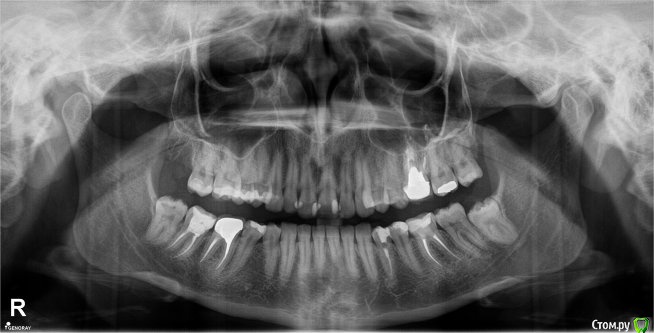
Добрый день. Год назад установила металлокерамическую коронку, ПОД ней вкладка хром-кобальт, каналы пролечены гуттаперчей запечатаны. Зуб до этого 10 лет находился под металокерам. коронкой установленной некачественно и каналы были пролечены резорц. пастой, зуб был красно-черный, коронка зуба была сформирована пломбой.

Так вот прошел год после того как переделали зуб, а у меня десневые сосочки с обеих стороны воспалены все это время, кровоточат при чистке щеткой, а особенно ирригатором, еда забивается так, что достать ее трудно даже ирригатором. 

Вопрос, что можно сделать, можно ли переустановить коронку на циркониевую не меняя вкладку. Так как врач который переделывал говорил, что достать будет уже не возможно только удалять. Рядом стоящий зуб очень с большой пломбой, нужно ли его перелечивать? (7 ка). Коронка стоит на 6-ке нижней. Успокоится ли десна после переустановки коронки. Заранее благодарна за ответы.

post-45610-0-30590300-1448740735_thumb.jpg

Ссылка на комментарий

Для публикации сообщений создайте учётную запись или авторизуйтесь

Вы должны быть пользователем, чтобы оставить комментарий

Создать аккаунт

Зарегистрируйте новый аккаунт в нашем сообществе. Это очень просто!

Регистрация нового пользователя

Войти

Уже есть аккаунт? Войти в систему.

Войти
×
×
  • Создать...
Вверх