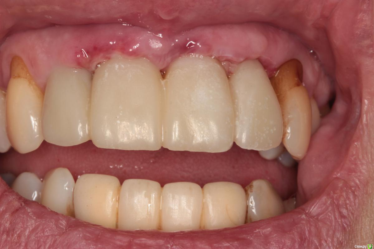
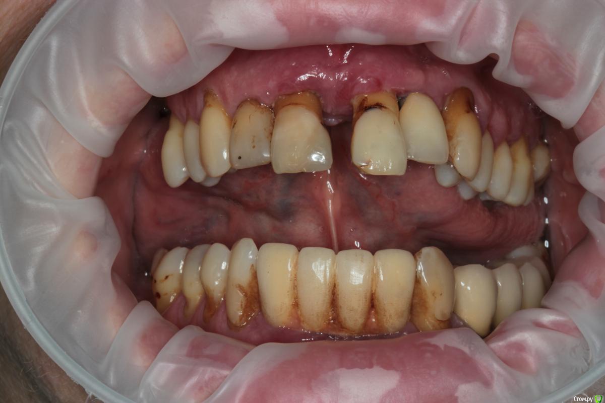
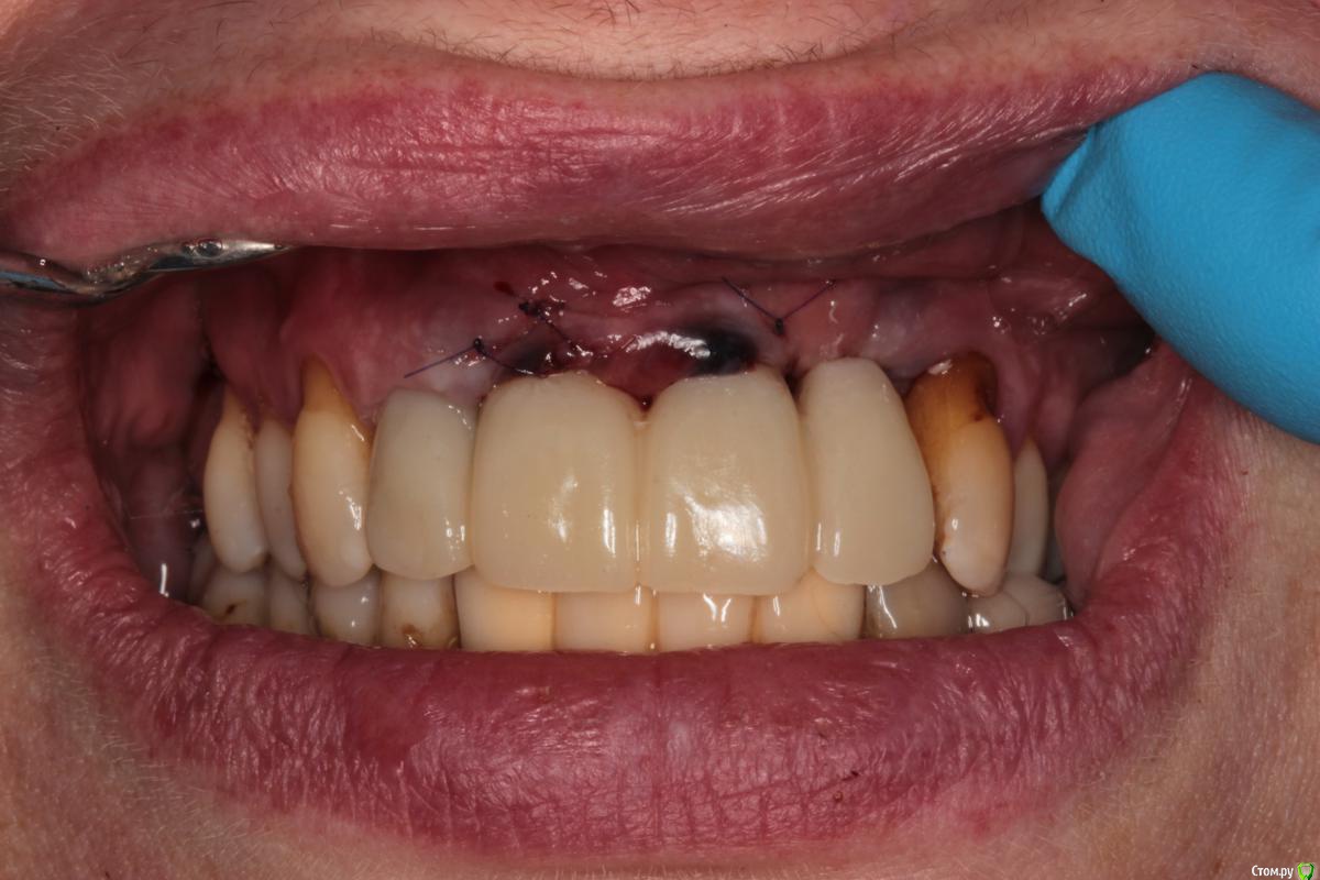
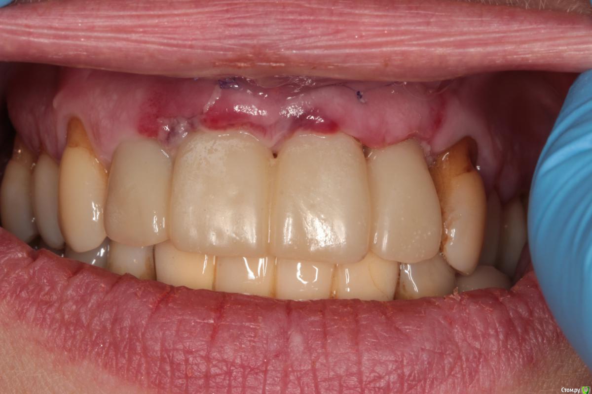
Abuk Опубликовано 27 ноября, 2015 Поделиться Опубликовано 27 ноября, 2015 (изменено) 1.bmp2.bmp3.bmp4.bmpЛечение.Альгинатные слепки,восковая моделировка.Удаление зубов и имплантата,удаление грануляций.Установка имплантатов,заполнение лунок графтом.сст,Времяхи по ключу. Изменено 27 ноября, 2015 пользователем Abuk 13 Ссылка на комментарий
Aquarius Опубликовано 27 ноября, 2015 Поделиться Опубликовано 27 ноября, 2015 Зачем альгинат? Зубы подвижные? Ссылка на комментарий
Abuk Опубликовано 27 ноября, 2015 Автор Поделиться Опубликовано 27 ноября, 2015 Зачем альгинат? Зубы подвижные?Еще как) Ссылка на комментарий
Евгений Ходыкин Опубликовано 29 ноября, 2015 Поделиться Опубликовано 29 ноября, 2015 Фото перед операцией? Гигиена ужас конечно... Ссылка на комментарий
Abuk Опубликовано 29 ноября, 2015 Автор Поделиться Опубликовано 29 ноября, 2015 (изменено) 1 е фото -"до", после были слепки и гигиена.Непосредственно перед имплантацией нет.Гигиена не фонтан,условились на том что первый год приходит каждые 3 месяца(осмотр и ггигиена),а там далее смотрим. Изменено 29 ноября, 2015 пользователем Abuk Ссылка на комментарий
bullbull Опубликовано 30 ноября, 2015 Поделиться Опубликовано 30 ноября, 2015 А что за винтик-красавЕц на 5-й фоточке? Ссылка на комментарий
Abuk Опубликовано 30 ноября, 2015 Автор Поделиться Опубликовано 30 ноября, 2015 А что за винтик-красавЕц на 5-й фоточке?Честно не знаю, лет пять назад ставила). Еще и кламера сделали на коронке. Столько смеялся когда увидел) Ссылка на комментарий
Карен Аванесов Опубликовано 30 ноября, 2015 Поделиться Опубликовано 30 ноября, 2015 Конечный результат не забудьте показать. Ссылка на комментарий
lonely_jack Опубликовано 1 декабря, 2015 Поделиться Опубликовано 1 декабря, 2015 конмет? сам не ставил, на рг видел похожее Ссылка на комментарий
Abuk Опубликовано 2 декабря, 2015 Автор Поделиться Опубликовано 2 декабря, 2015 конмет? сам не ставил, на рг видел похожеене знаю) Ссылка на комментарий
Рекомендуемые сообщения
Для публикации сообщений создайте учётную запись или авторизуйтесь
Вы должны быть пользователем, чтобы оставить комментарий
Создать аккаунт
Зарегистрируйте новый аккаунт в нашем сообществе. Это очень просто!
Регистрация нового пользователяВойти
Уже есть аккаунт? Войти в систему.
Войти