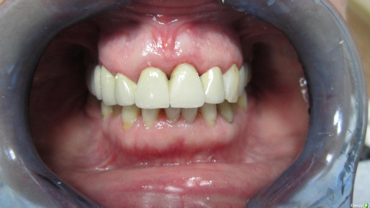
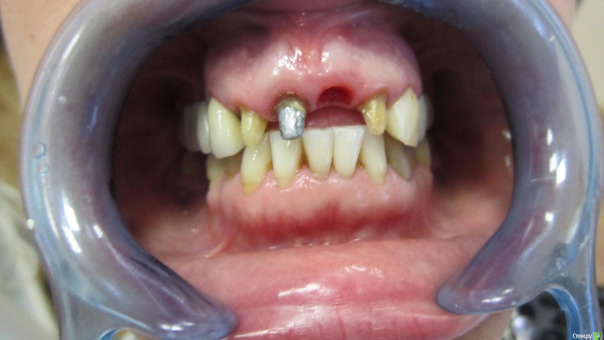
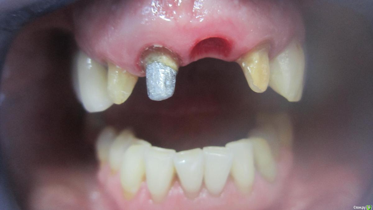
Алексашка Опубликовано 27 ноября, 2015 Поделиться Опубликовано 27 ноября, 2015 Добрый вечер уважаемые коллеги. Вот пытался сформировать овоид, и на временных сосочки были. После долгих объяснений технику, форму овоида аналогичную не получил. В результате сосочки исчезли. Пытался формировать путем добавления композита прямо на м.к.-овоид красивый), но сосочков нет. Последняя коррекция была более 2х недель назад. Что я делаю не так? Где можно подробнее почитать про формирование овоида и сосочков? Стаяла штамповка, зубы были депульпированы. Извините за качество фото. Пишу первый раз. Да, десна под овоидом всегда гиперемирована, это нормально? Ссылка на комментарий
Карен Аванесов Опубликовано 27 ноября, 2015 Поделиться Опубликовано 27 ноября, 2015 На зубах надо было углубляться. Ну и техник наверное вас не понял. Ссылка на комментарий
Карен Аванесов Опубликовано 27 ноября, 2015 Поделиться Опубликовано 27 ноября, 2015 Мост на временной фиксации? Ссылка на комментарий
Алексашка Опубликовано 27 ноября, 2015 Автор Поделиться Опубликовано 27 ноября, 2015 Да, на временной. Имеете ввиду глубже с апроксималок? Ссылка на комментарий
Карен Аванесов Опубликовано 27 ноября, 2015 Поделиться Опубликовано 27 ноября, 2015 Да, подождите может быть и подрастет (скорее всего). Только пациент пусть в промывное пространство ершики там разные и прочие средства интердентальной гигиены не сует. Ссылка на комментарий
DR.P Опубликовано 27 ноября, 2015 Поделиться Опубликовано 27 ноября, 2015 (изменено) Уберите композит, снимите оттиск с мостом (нанесите коррегирующий на мостик особенно на его промежуточную часть, отожмите его, и сразу же пока не застыл коррегир, базой в ложке) вы получите точную копию. Техник отольет модель из гипса, мост на ней. Вы сами убираете мост, элеватором или гладилкой скребете апроксималки десны сосочков таким образом, чтобы получить зазор искусственный на модели. Где будет зазор - там будет компрессия во рту. Техник по этой доработанной модели допекает новый слой керамики. Компрессия сосочка даст ему возможность вырасти, главное все сделать в меру! Сосочек - деликатная структура Изменено 27 ноября, 2015 пользователем DR.P Ссылка на комментарий
DR.P Опубликовано 27 ноября, 2015 Поделиться Опубликовано 27 ноября, 2015 (изменено) Забыл написать, очень ведь важна еще костная поддержка сосочку! Поэтому определенного результата вы добьетесь, но чуда не ждите. Все таки зуба нет, костная поддержка будет постепенно уходить, а с ней и сосочек. Только имплантация может остановить этот процесс. Это лучше всего объяснить пациенту. Изменено 27 ноября, 2015 пользователем DR.P Ссылка на комментарий
AlexanderGudkov Опубликовано 28 ноября, 2015 Поделиться Опубликовано 28 ноября, 2015 Почитать можно у Цура и Хюрцеллера про овоиды Ссылка на комментарий
Алексашка Опубликовано 28 ноября, 2015 Автор Поделиться Опубликовано 28 ноября, 2015 (изменено) Спасибо за ответы, хороших выходных! Изменено 28 ноября, 2015 пользователем Алексашка Ссылка на комментарий
Рекомендуемые сообщения
Для публикации сообщений создайте учётную запись или авторизуйтесь
Вы должны быть пользователем, чтобы оставить комментарий
Создать аккаунт
Зарегистрируйте новый аккаунт в нашем сообществе. Это очень просто!
Регистрация нового пользователяВойти
Уже есть аккаунт? Войти в систему.
Войти