Ivanov_dentist Опубликовано 26 ноября, 2015 Поделиться Опубликовано 26 ноября, 2015 Добрый день, коллеги.Подскажите, пожалуйста, с какой периодичностью (через сколько дней) и до каких пределов (ишемизация - восстановление) возможна коррекция (наращивание) поддесневой части временной коронки на имплантате для формирования сосочков? Ссылка на комментарий
PaulG Опубликовано 26 ноября, 2015 Поделиться Опубликовано 26 ноября, 2015 Добрый день, коллеги.Подскажите, пожалуйста, с какой периодичностью (через сколько дней) и до каких пределов (ишемизация - восстановление) возможна коррекция (наращивание) поддесневой части временной коронки на имплантате для формирования сосочков?...а ведь хороший вопрос. Ссылка на комментарий
Ст@ся Опубликовано 27 ноября, 2015 Поделиться Опубликовано 27 ноября, 2015 зависит от стартовых условий Ссылка на комментарий
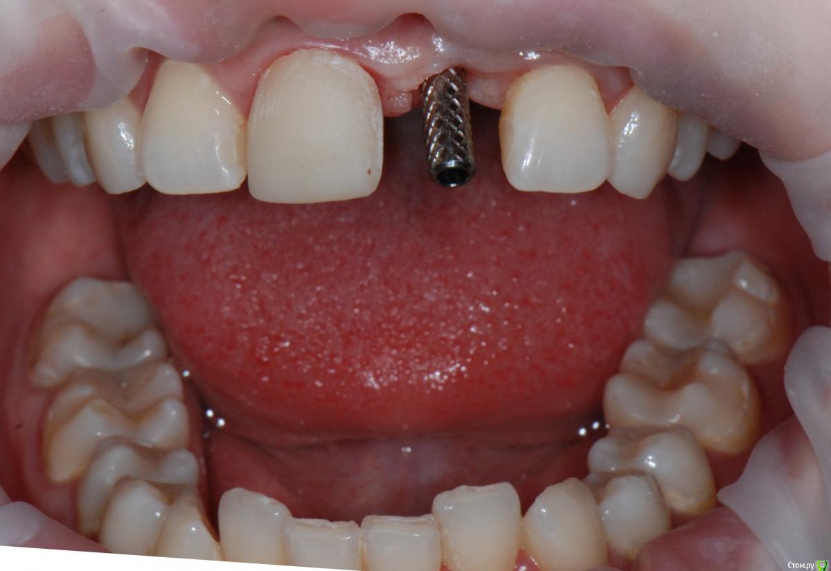
Ivanov_dentist Опубликовано 27 ноября, 2015 Автор Поделиться Опубликовано 27 ноября, 2015 зависит от стартовых условий Стартовые условия таковы : зуб 2.1 имплантат Anyridge, 1 месяц назад хирург удалил мембрану igen и установил формирователь d=4мм. Все это время пациентка ходила с временным консольным протезом 1.1-2.1 Планируется 1.1 - e.max , 2.1 - индивидуальный циркониевый абатмент + e.max Ссылка на комментарий
Aquarius Опубликовано 27 ноября, 2015 Поделиться Опубликовано 27 ноября, 2015 Скорее всего, Стася имела ввиду, какова глубина десны, высота зенитов, калибр профиля прорезывания..... А так , на мой взгляд, добавляйте, примерно до диаметра соседнего зуба, прикручивайте, ишемия проходит через 10-15 минут и отпускайте пациента. Если не прикручивается ( то есть мешает десна) то корректируйте Ссылка на комментарий
Ivanov_dentist Опубликовано 27 ноября, 2015 Автор Поделиться Опубликовано 27 ноября, 2015 завтра постараюсь загрузить фото Ссылка на комментарий
Ivanov_dentist Опубликовано 27 ноября, 2015 Автор Поделиться Опубликовано 27 ноября, 2015 Скорее всего, Стася имела ввиду, какова глубина десны, высота зенитов, калибр профиля прорезывания..... А так , на мой взгляд, добавляйте, примерно до диаметра соседнего зуба, прикручивайте, ишемия проходит через 10-15 минут и отпускайте пациента. Если не прикручивается ( то есть мешает десна) то корректируйтеСледуя такому плану, когда можно снимать оттиски с имплантата? Ссылка на комментарий
Aquarius Опубликовано 27 ноября, 2015 Поделиться Опубликовано 27 ноября, 2015 (изменено) Ну по классике, десна созревает около 4-месяцев. Смотреть надо. Трудно совсем жесткие рамки давать. Иногда и 2-3 недель достаточно Изменено 27 ноября, 2015 пользователем Aquarius Ссылка на комментарий
Ст@ся Опубликовано 28 ноября, 2015 Поделиться Опубликовано 28 ноября, 2015 пластику десны проводили? Ссылка на комментарий
Ivanov_dentist Опубликовано 28 ноября, 2015 Автор Поделиться Опубликовано 28 ноября, 2015 пластику десны проводили?Трансплантатов не было Ссылка на комментарий
Ст@ся Опубликовано 28 ноября, 2015 Поделиться Опубликовано 28 ноября, 2015 Трансплантатов не былоТогда невозможно дать ответ на ваш вопрос. Можете выложить фото ситуации в полости рта, фото с открученной временной коронкой, фото самой временной коронки (прямо и в боковой проекции)? Ссылка на комментарий
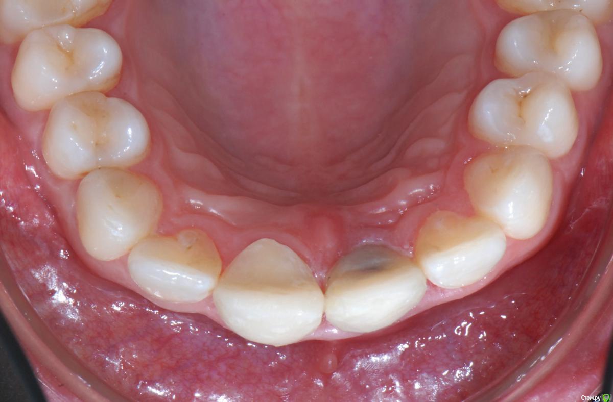
Ivanov_dentist Опубликовано 28 ноября, 2015 Автор Поделиться Опубликовано 28 ноября, 2015 (изменено) Тогда невозможно дать ответ на ваш вопрос. Можете выложить фото ситуации в полости рта, фото с открученной временной коронкой, фото самой временной коронки (прямо и в боковой проекции)?Временную коронку только спереди сфоткал, сейчас только после смены пришел. Изменено 28 ноября, 2015 пользователем Ivanov_dentist Ссылка на комментарий
Ivanov_dentist Опубликовано 28 ноября, 2015 Автор Поделиться Опубликовано 28 ноября, 2015 PS Хоть и пронумеровал фотографии в посте порядок не удается сделать Ссылка на комментарий
Ст@ся Опубликовано 28 ноября, 2015 Поделиться Опубликовано 28 ноября, 2015 Хорошая стартовая ситуация. Какой срок ношения временной коронки? Ссылка на комментарий
Ivanov_dentist Опубликовано 28 ноября, 2015 Автор Поделиться Опубликовано 28 ноября, 2015 Хорошая стартовая ситуация. Какой срок ношения временной коронки?Два дня. Пациентка была в четверг, тогда и сделал временную коронку, была сильная ишемия, пришлось убрать материал. Сегодня добавил на временной коронке поддесневую часть - фотографии на сегодняшний день. Ссылка на комментарий
Большой Зеленый Опубликовано 28 ноября, 2015 Поделиться Опубликовано 28 ноября, 2015 Отличные условия .Можно раз в неделю корректировать.Похожий случай http://forum.stom.ru/topic/25256-front/?hl=%20%D1%81%D0%BE%D1%81%D0%BE%D1%87%D0%B5%D0%BA%20%20%D0%B2%D1%8B%D1%80%D0%B0%D1%81%D1%82%D0%B5%D1%82 Ссылка на комментарий
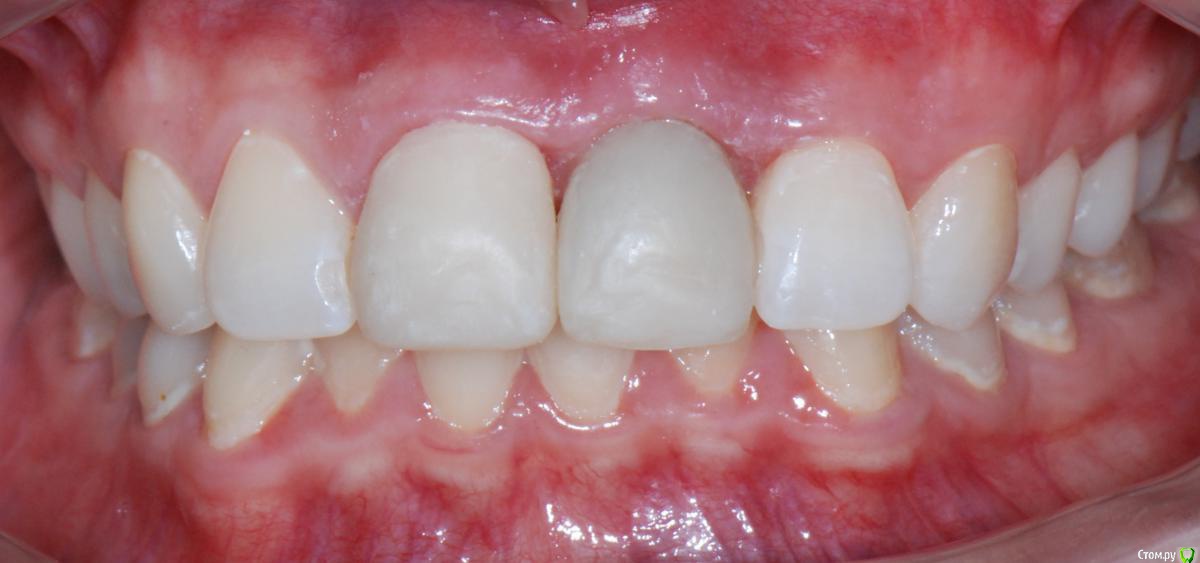
Ivanov_dentist Опубликовано 28 ноября, 2015 Автор Поделиться Опубликовано 28 ноября, 2015 Отличные условия .Можно раз в неделю корректировать.Похожий случай http://forum.stom.ru/topic/25256-front/?hl=%20%D1%81%D0%BE%D1%81%D0%BE%D1%87%D0%B5%D0%BA%20%20%D0%B2%D1%8B%D1%80%D0%B0%D1%81%D1%82%D0%B5%D1%82То есть можно сильно не беспокоиться, что вестибулярно на данном этапе сосочки "неполноценные", должны сформироваться? Как я понял в Вашем случае сосочки окончательно формировались уже после фиксации постоянных реставраций? Ссылка на комментарий
Ст@ся Опубликовано 28 ноября, 2015 Поделиться Опубликовано 28 ноября, 2015 вестибулярно сосочки сформируются - нужно просто время. А с высотой зенита в отдаленном времени могут возникнуть проблемы Ссылка на комментарий
Ivanov_dentist Опубликовано 28 ноября, 2015 Автор Поделиться Опубликовано 28 ноября, 2015 вестибулярно сосочки сформируются - нужно просто время. А с высотой зенита в отдаленном времени могут возникнуть проблемыМожно поподробнее про зениты? Ссылка на комментарий
Ivanov_dentist Опубликовано 28 ноября, 2015 Автор Поделиться Опубликовано 28 ноября, 2015 Коллеги, стоит ли наслаивать композит на полированную титановую часть временного абатмента? У системы высота десны временного абатмента 2мм, а у титанового основания для постоянного абатмента 1 мм. Ссылка на комментарий
Рекомендуемые сообщения
Для публикации сообщений создайте учётную запись или авторизуйтесь
Вы должны быть пользователем, чтобы оставить комментарий
Создать аккаунт
Зарегистрируйте новый аккаунт в нашем сообществе. Это очень просто!
Регистрация нового пользователяВойти
Уже есть аккаунт? Войти в систему.
Войти