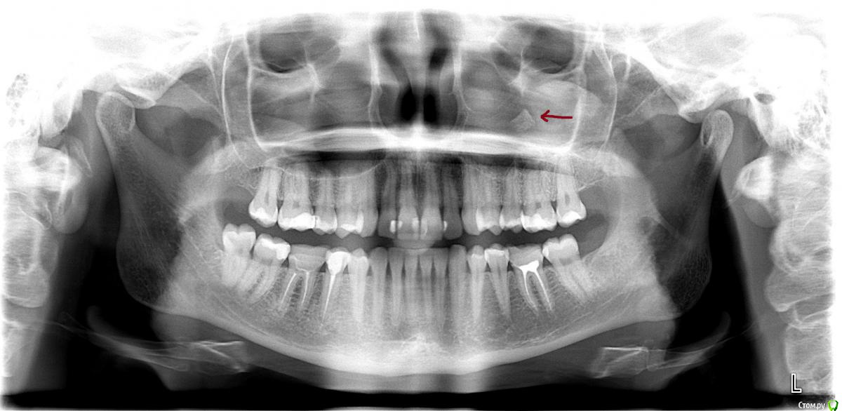
Viktoryaa Опубликовано 25 ноября, 2015 Поделиться Опубликовано 25 ноября, 2015 (изменено) Здравствуйте! В течении года стали появлятся неоднократно синуситы,сделали компьютерную томографию и лор сказала ,что со стороны лор-органов все впорядке.На томограмме она увидела какое то образование со стороны зубов верхней челюсти слева,посоветовала обратиться к стоматологу для дальнейшего исследования. К стоматологу записалась только на 18 декабря,а сегодня не выдержала и сделала панорамный снимок зубов.Не могли бы вы прокоментировать этот снимок? Красной стрелкой указала непонятноe образование.Так же хочу добавить,что 2 года назад мне перелечивали зубы слева на верхней челюсти.У 6 зуба под старой пломбой был обнаружен глубокий кариес,зуб не депульпировали,а поставили лечебную прокладку и запломбировали.Зуб беспокоил только первые 6 месяцев после перелечивания(реагировал на холодное и горячее).Врач сказал ,что этот срок нормальный ,так как кариес был глубокий.Больше зуб не беспокоит.Так же в прошлом году делала снимок всех зубов и на снимке никакого образования не было. Изменено 25 ноября, 2015 пользователем Viktoryaa Ссылка на комментарий
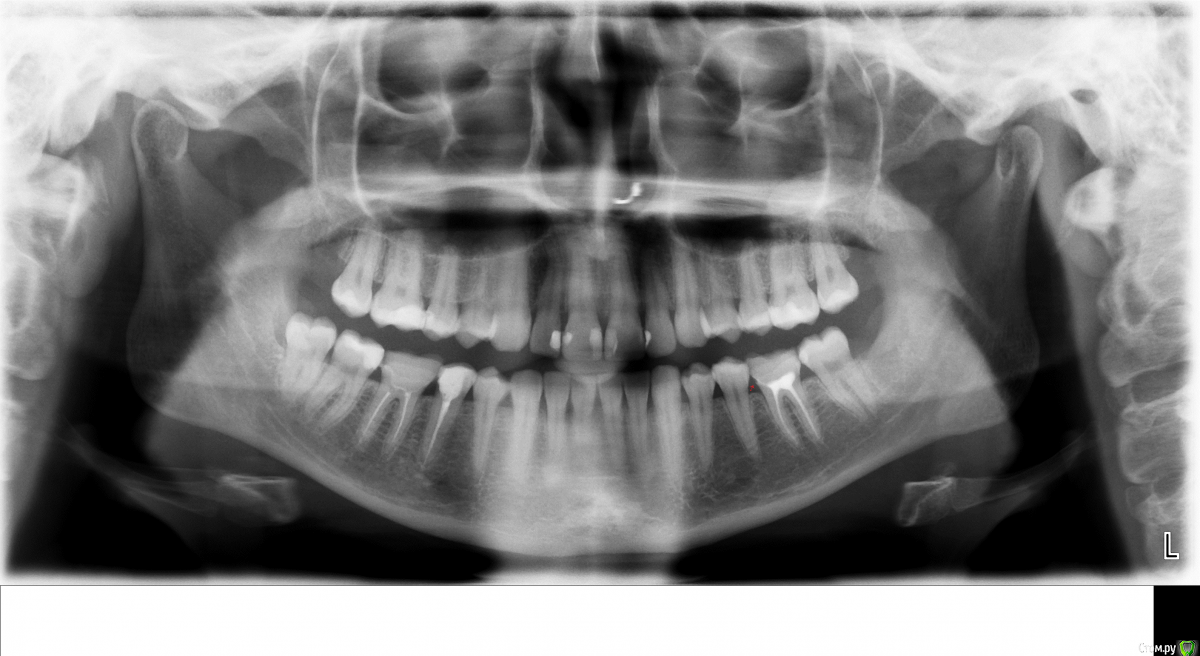
Viktoryaa Опубликовано 26 ноября, 2015 Автор Поделиться Опубликовано 26 ноября, 2015 Вот еще прикрепляю снимок 2014 года-в пазухе ничего нет.В носу на снимке это сережка Ссылка на комментарий
red_butler Опубликовано 26 ноября, 2015 Поделиться Опубликовано 26 ноября, 2015 Выкладывайте срезы Кт. 2 Ссылка на комментарий
Viktoryaa Опубликовано 26 ноября, 2015 Автор Поделиться Опубликовано 26 ноября, 2015 К сожалению,пока нет возможности выложить кт снимки.Томографию делали 18.11 2015,лор сказала позвонить 25.11.2015.По телефону она мне и сказала что не видит проблем со стороны лор органов и что на снимке какое то инородное тело в пазухе.Она думает что это пломбировочный материал,но сверху у меня зубы не депульпированы,каналы не пломбировали.Сказала мне позвонить в следующую среду 2.12 ,она еще посоветуется со своим знакомым челюстно лицевым хирургом.Но обратно на прием меня не приглашала.Снимки на руки соответственно не получила.В среду буду снова звонить и спрошу как я могу увидеть снимки кт.Но по вашему мнению что это может быть,хотя бы примерно.Может ли это быть кусок зуба мудрости? Мне зуб мудрости удаляли сверху,возможно ли что кусок корня отломался при удалении и остался в пазухе? Также мне в апреле 2014 года делали септопластику и кохтотомию(слева),может ли быть такое что в процессе операции что то попало в пазуху? Почему то этот предмет на снимке мне напоминает кусок корня зуба. Или же это воспаление связанное с 6 зубом сверху? Но зуб меня не беспокоит .К кому лучше обратиться к зубному врачу или же к хирургу?Извините за огромное количество вопросов,вероятно я впадаю в панику Ссылка на комментарий
IvanK Опубликовано 27 ноября, 2015 Поделиться Опубликовано 27 ноября, 2015 не паникуйтеждем кт Ссылка на комментарий
Рекомендуемые сообщения
Для публикации сообщений создайте учётную запись или авторизуйтесь
Вы должны быть пользователем, чтобы оставить комментарий
Создать аккаунт
Зарегистрируйте новый аккаунт в нашем сообществе. Это очень просто!
Регистрация нового пользователяВойти
Уже есть аккаунт? Войти в систему.
Войти