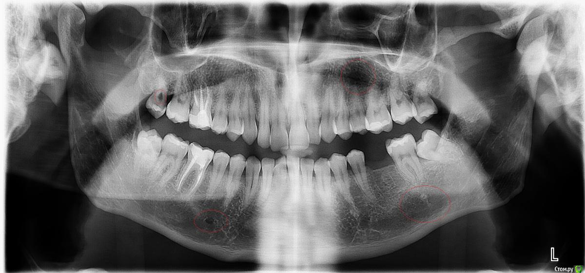
Vtelenkov Опубликовано 25 ноября, 2015 Поделиться Опубликовано 25 ноября, 2015 (изменено) Добрый день. Проконсультируйте пожалуйста. Ситуация следующая: 6 слева удалил год назад с прицелом на имплантацию, 8 слева планировал удалить еще весной, но всякие хвори постоянно мешали, а недавно и совсем огорчили - онкология. Примерно через две недели ожидаю начала ХТ и соответственно серьезные вмешательства недопустимы, если нет показаний по срочности. Но, существуют след. проблемы, а именно 6-ки справа очень чувствительны к холодному, горячему, сладкому и пр пр. Между 7-кой и 8-кой слева постоянно что-то воспаляется, спасаюсь шалфеем и хлоргексидином. А так же отмеченные места на снимке. Стоматолог, на очном приеме, не нашел чего-то криминального,требующего экстренного вмешательства, но хочется услышать второе мнение. Снимок большого размера - https://i.imgur.com/mbXGFcQ.jpg Заранее спасибо. Изменено 25 ноября, 2015 пользователем Vtelenkov Ссылка на комментарий
Гарриевич Опубликовано 25 ноября, 2015 Поделиться Опубликовано 25 ноября, 2015 то, что Вы отметили это ментальное отверстие (левый кружочек) и просто наложение кости на снимке (кружочек правый)слева 8ка упирается в 7ку с образованием десневого кармана и возможным кариесом 7го зубаудалить 8ку советовал бы на днях, до начала ХТ все заживет Ссылка на комментарий
Vtelenkov Опубликовано 25 ноября, 2015 Автор Поделиться Опубликовано 25 ноября, 2015 удалить 8ку советовал бы на днях, до начала ХТ все заживет Спасибо за ответ. Подскажите, к кому/куда можно обратиться в Москве, чтобы максимально надежно, все-таки по снимку зуб непростой. А если случится что-нибудь непредвиденное, какое-нибудь осложнение, то придется отложить начало ХТ, а это уже прямая угроза для жизни =/ Хотя и оставлять его не хочется, во время ХТ полость рта страдает сильно, а если еще и постоянный очаг воспаления будет, то даже продолжать не хочется. Ссылка на комментарий
diesel87 Опубликовано 25 ноября, 2015 Поделиться Опубликовано 25 ноября, 2015 Я советую убрать все восьмерки, любая из них может дать обострение, особенно нижние, за 2 недели должно все пройти, после первой химии обычно состояние хорошее, это последующие химии начинают давить на самочувствие. Ссылка на комментарий
Рекомендуемые сообщения
Для публикации сообщений создайте учётную запись или авторизуйтесь
Вы должны быть пользователем, чтобы оставить комментарий
Создать аккаунт
Зарегистрируйте новый аккаунт в нашем сообществе. Это очень просто!
Регистрация нового пользователяВойти
Уже есть аккаунт? Войти в систему.
Войти