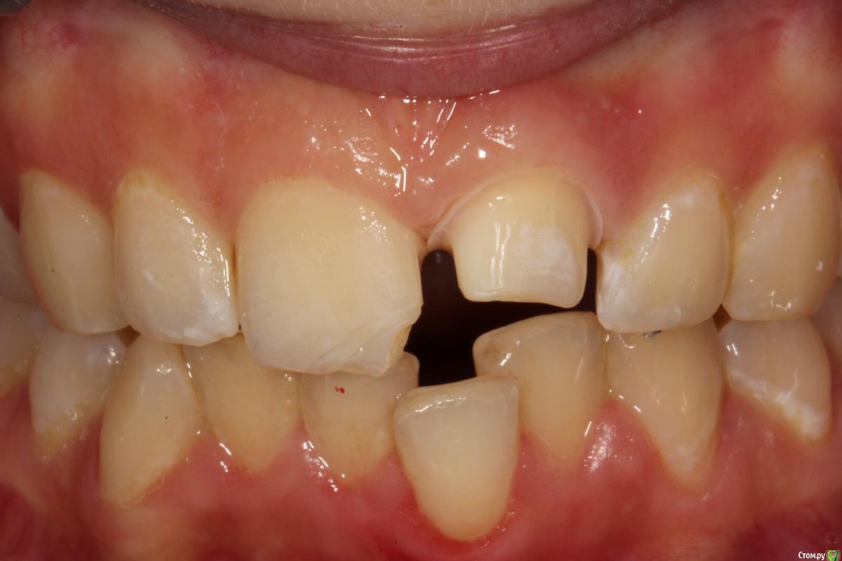
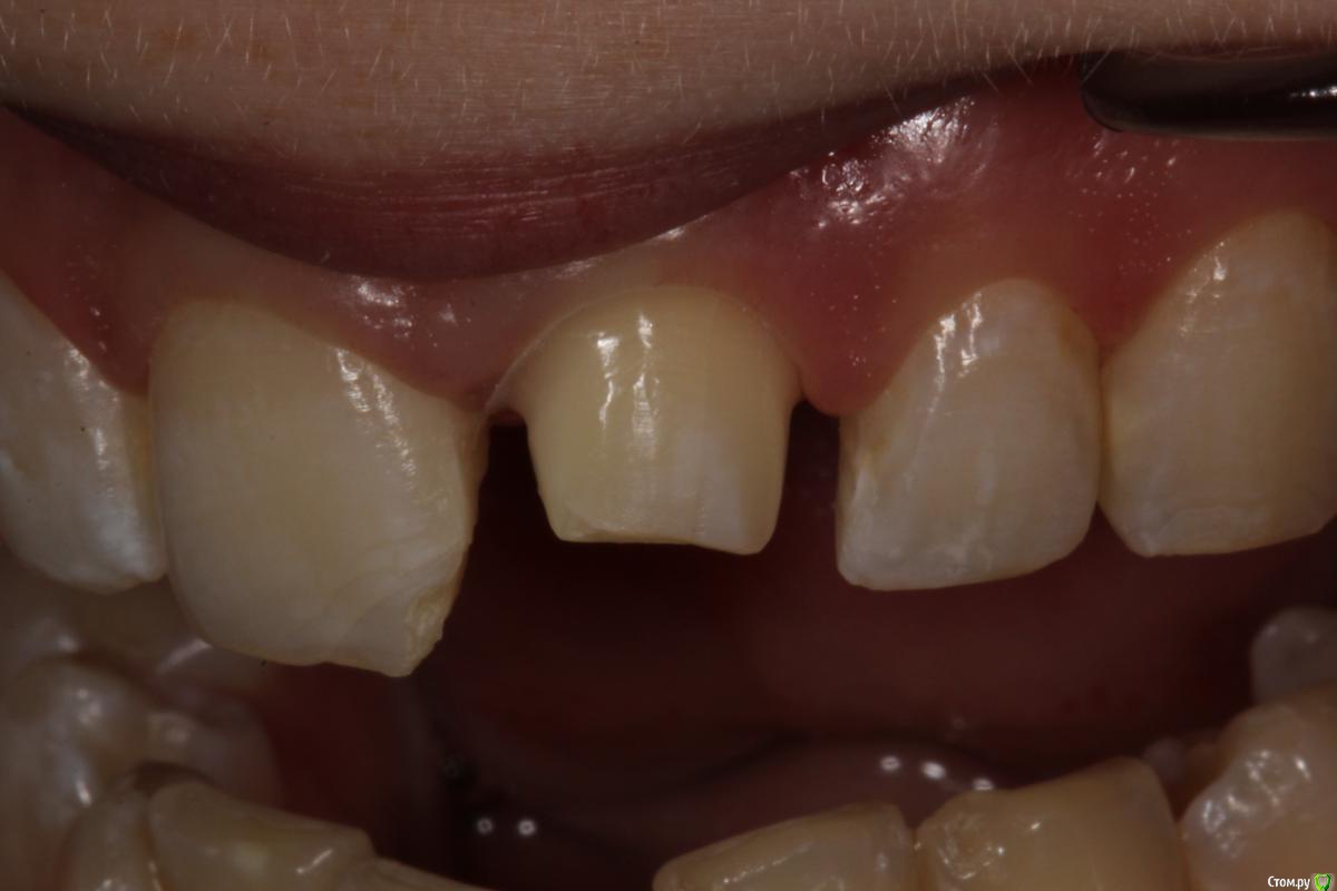
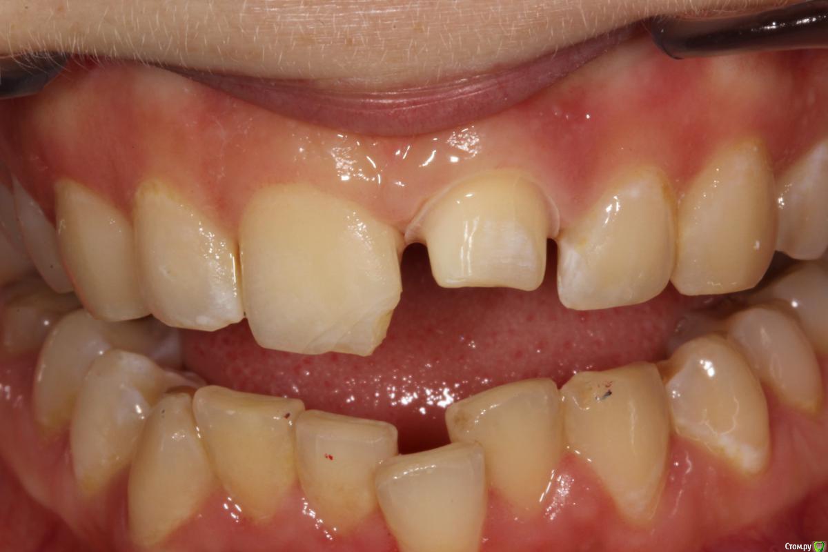
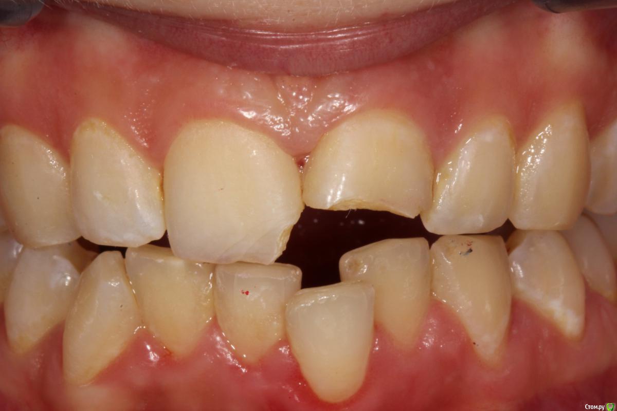
Antonio Maganov Опубликовано 25 ноября, 2015 Поделиться Опубликовано 25 ноября, 2015 Коллеги, подскажите как быть и ваш прогноз- будет жить или нет?Молодая девушка, в следствии травмы лишилась половины зуба.Попала ко мне с другой стоматологии, где зуб был депульпирован. Снимок забыл сфотографировать, выложу вечером.Перкуссия слабоположительная.Решено отпрепарировать 2.1 для изготовления временной композитной коронки и динамическое наблюдение.В итоге, в процессе препарирования обнаружена продольная трещина =(Как быть? Ссылка на комментарий
DR.P Опубликовано 25 ноября, 2015 Поделиться Опубликовано 25 ноября, 2015 (изменено) Особенно если молодая девушка, я бы мотивировал на ортодонтию в первую очередь, и на зуб этот сделал бы долгосрочную эстетическую времянку. Про препарирование сказать? или не надо? Изменено 25 ноября, 2015 пользователем DR.P Ссылка на комментарий
DR.P Опубликовано 25 ноября, 2015 Поделиться Опубликовано 25 ноября, 2015 Жду снимок. Ссылка на комментарий
alekszander Опубликовано 25 ноября, 2015 Поделиться Опубликовано 25 ноября, 2015 Карман в области трещины зондируется? +1 за долговременную времяшку и ортодонтию, а там в динамике и понаблюдаете за зубом. Ссылка на комментарий
Сева северный Опубликовано 25 ноября, 2015 Поделиться Опубликовано 25 ноября, 2015 Выявить характер трещины можно с помощью... фото. Ссылка на комментарий
Alberto Опубликовано 25 ноября, 2015 Поделиться Опубликовано 25 ноября, 2015 Коллеги, подскажите как быть и ваш прогноз- будет жить или нет?Молодая девушка, в следствии травмы лишилась половины зуба.Попала ко мне с другой стоматологии, где зуб был депульпирован. Снимок забыл сфотографировать, выложу вечером.Перкуссия слабоположительная.Решено отпрепарировать 2.1 для изготовления временной композитной коронки и динамическое наблюдение.В итоге, в процессе препарирования обнаружена продольная трещина =(Как быть? IMG_4282.JPGIMG_4284.JPGIMG_4286.JPGАнтон привет,) интересный случай у тебя снимок хотелось бы увидеть. Ссылка на комментарий
Карен Аванесов Опубликовано 25 ноября, 2015 Поделиться Опубликовано 25 ноября, 2015 Нормальный прогноз. Делайте сразу пресс постоянный, под временной может "прокиснуть зуб. 1 Ссылка на комментарий
Карен Аванесов Опубликовано 25 ноября, 2015 Поделиться Опубликовано 25 ноября, 2015 Можно и наконечником просветить с небной поверхности. Ссылка на комментарий
Л Ю С Я Опубликовано 25 ноября, 2015 Поделиться Опубликовано 25 ноября, 2015 Посмотреть надо изнутри, со стороны канала в микроскоп. Если все таки она и там есть, прогноз неблагоприятный 2 Ссылка на комментарий
Antonio Maganov Опубликовано 25 ноября, 2015 Автор Поделиться Опубликовано 25 ноября, 2015 я бы мотивировал на ортодонтию в первую очередь, и на зуб этот сделал бы долгосрочную эстетическую времянку. Про препарирование сказать? или не надо? Про оверпреп промолчим =) , у меня были полностью развязаны руки,- зуб ранее депульпирован + пациентка пришла под конец смены.На ортодонтю она направлена моментально (пациентка не против) , но в первую очередь необходимо вернуть эстетику.У меня такие же мысли про долгосрочную времянку, но палка о двух концах.... подумываю сделать Е.Мах с минимальным ведением с антагонистом в артикуляторе + адгезивный протокол. Герметизм как никак... Карман в области трещины зондируется? Кармана нет. Выявить характер трещины можно с помощью... фото. Не совсем понял... поясните пожалуйста. Антон привет,) интересный случай у тебя снимок хотелось бы увидеть. Привет Андрей! У меня таких задачек полный ноут. Надо как- нибудь в неформальной обстановке встретится и пообсуждать Нормальный прогноз. Делайте сразу пресс постоянный, под временной может "прокиснуть зуб. Вот я тоже поддерживаю сразу пресс, но чего-то стремно как-то =) Можно и наконечником просветить с небной поверхности. И чего увидим? или не увидим? Посмотреть надо изнутри, со стороны канала в микроскоп. Если все таки она и там есть, прогноз неблагоприятный Скопа нет. =( 1 Ссылка на комментарий
Antonio Maganov Опубликовано 25 ноября, 2015 Автор Поделиться Опубликовано 25 ноября, 2015 (изменено) обещанный РВГ п.с. Почему фото рентгена разворачивает? на компьютере он нормально повернут... Изменено 25 ноября, 2015 пользователем Antonio Maganov Ссылка на комментарий
Сева северный Опубликовано 25 ноября, 2015 Поделиться Опубликовано 25 ноября, 2015 обещанный РВГIMG_3750.JPG п.с. Почему фото рентгена разворачивает? на компьютере он нормально повернут... снимок повернемПо вашем фото.... не понятен характер и глубина трещины. Как правило она достаточно легко фото протоколируется. Если в результате травмы, она проходит ниже уровня костной ткани, ренгенологически это проявится горизонтальной резорбцией, до уровня нижней границы трещины..... но через несколько месяцев.( а может быть и больше) .....дайте больше инфы. хотя бы на уровне ; Обьективно.. Ссылка на комментарий
Antonio Maganov Опубликовано 25 ноября, 2015 Автор Поделиться Опубликовано 25 ноября, 2015 снимок повернемПо вашем фото.... не понятен характер и глубина трещины. Как правило она достаточно легко фото протоколируется. Если в результате травмы, она проходит ниже уровня костной ткани, ренгенологически это проявится горизонтальной резорбцией, до уровня нижней границы трещины..... но через несколько месяцев.( а может быть и больше) .....дайте больше инфы. хотя бы на уровне ; Обьективно..спасибо, пациентка завтра. постараюсь сделать качественное фото, результат выложу. Ссылка на комментарий
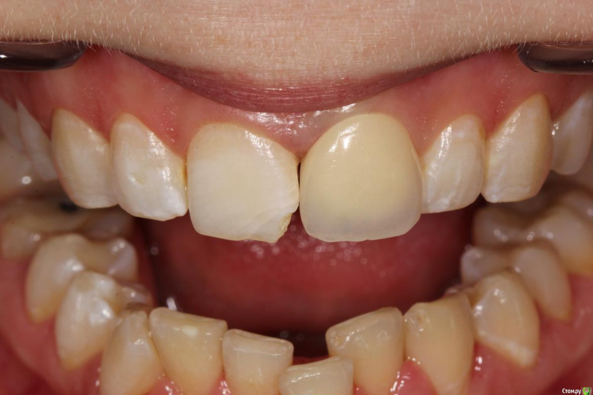
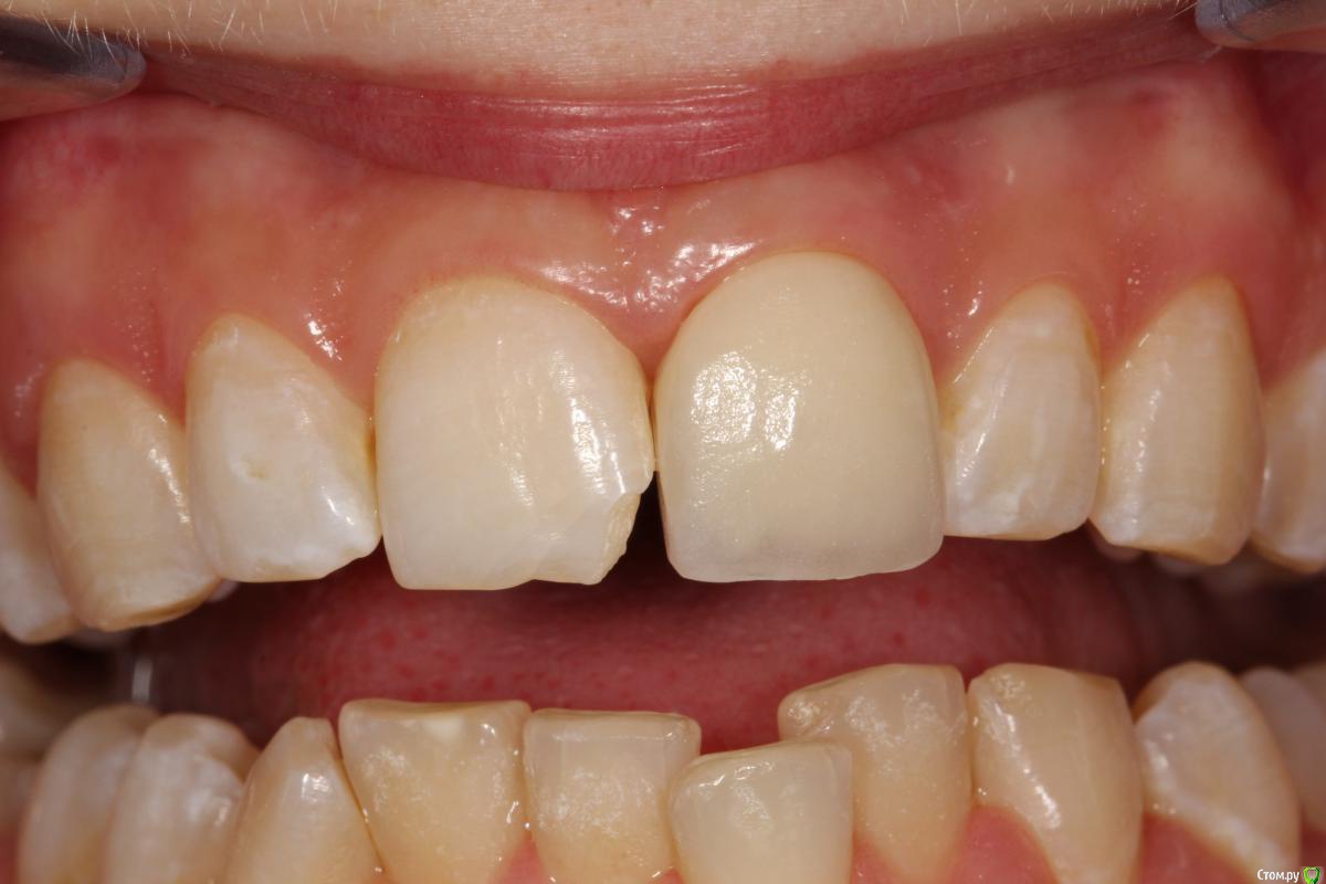
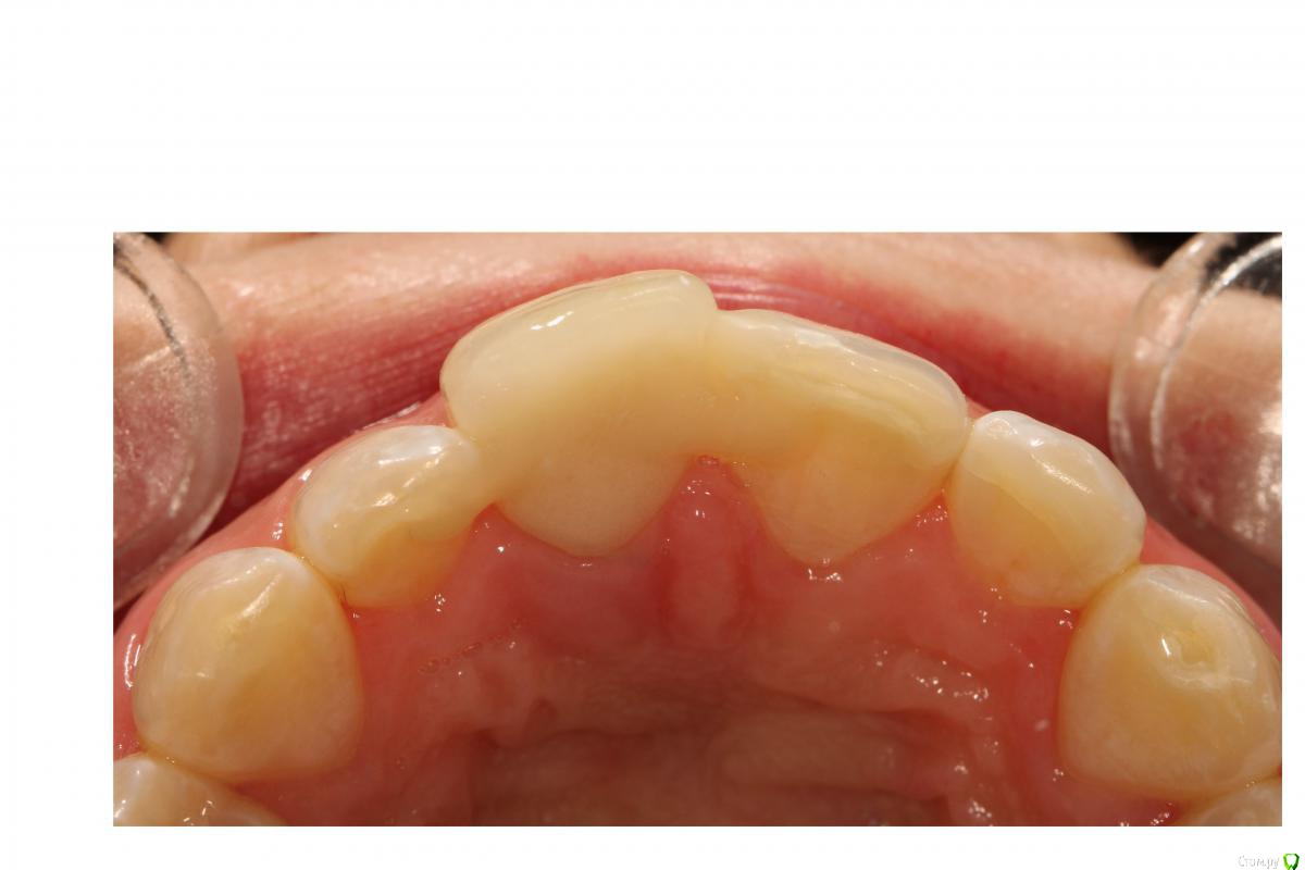
Antonio Maganov Опубликовано 29 ноября, 2015 Автор Поделиться Опубликовано 29 ноября, 2015 Извиняюсь что пропал на неделю. В самом начале забыл указать одну не маловажную вещь- приличная подвижность 2.1 в вестибуло-оральном направлении... Сразу вопрос- как сделать качественное фото трещины, особенно если просвечиваем изнутри?Пытался менять режимы вспышки, отключал ее, играл с выдержкой, но что-то муть какая-то получилась =(Далее, учитывая тот факт, что только учимся делать рефрактор- решили девушку взять в роли "подопытного кролика" =)Сделана временная композитная коронка и рефрактор.Скол угла 1.1 -частично, на скорую руку восстановлен композитом.Рефрактор - форма зуба понравилась, а вот с цветом- беда.... редактируем...Установлена композитная коронка и адгезивно приклеена жидкотекучим к 11 и 2.2 (попытка шинировать)Дома, при просмотре фото выявлена трещина 1.1 в придесневой области и поперечная трещина 2.2 с небной стороны.Озадачен.... Отпрепарировать и покрыть винирами(коронками) проблем нет, волнуюсь за долгосрочный прогноз и подвижность 2.1 Да, и еще- поделитесь пожалуйста Сывороткой правды. Что-то мне подсказывает, пациентка не все мне рассказала =) Ну не падают так, синяков и ушибов нет Ссылка на комментарий
Antonio Maganov Опубликовано 29 ноября, 2015 Автор Поделиться Опубликовано 29 ноября, 2015 Ссылка на комментарий
Antonio Maganov Опубликовано 29 ноября, 2015 Автор Поделиться Опубликовано 29 ноября, 2015 Ссылка на комментарий
Карен Аванесов Опубликовано 29 ноября, 2015 Поделиться Опубликовано 29 ноября, 2015 Непростая работа, техник фотографии зубов видел? Ссылка на комментарий
Abuk Опубликовано 29 ноября, 2015 Поделиться Опубликовано 29 ноября, 2015 Извиняюсь что пропал на неделю. В самом начале забыл указать одну не маловажную вещь- приличная подвижность 2.1 в вестибуло-оральном направлении... Сразу вопрос- как сделать качественное фото трещины, особенно если просвечиваем изнутри?Пытался менять режимы вспышки, отключал ее, играл с выдержкой, но что-то муть какая-то получилась =(Далее, учитывая тот факт, что только учимся делать рефрактор- решили девушку взять в роли "подопытного кролика" =)Сделана временная композитная коронка и рефрактор.Скол угла 1.1 -частично, на скорую руку восстановлен композитом.Рефрактор - форма зуба понравилась, а вот с цветом- беда.... редактируем...Установлена композитная коронка и адгезивно приклеена жидкотекучим к 11 и 2.2 (попытка шинировать)Дома, при просмотре фото выявлена трещина 1.1 в придесневой области и поперечная трещина 2.2 с небной стороны.Озадачен.... Отпрепарировать и покрыть винирами(коронками) проблем нет, волнуюсь за долгосрочный прогноз и подвижность 2.1 Да, и еще- поделитесь пожалуйста Сывороткой правды. Что-то мне подсказывает, пациентка не все мне рассказала =) Ну не падают так, синяков и ушибов нет 1.Зуб переточили на мой взгляд.2.Прицельны кт не помешает3.Найдите эндодонтиста с микроскопом,пусть посмотрит канал изнутри, за одно и восстановит свш. Далее ортодонт.Если без ортодонта ,не советую начинать пока подвижность не уйдет. Ссылка на комментарий
Antonio Maganov Опубликовано 29 ноября, 2015 Автор Поделиться Опубликовано 29 ноября, 2015 Непростая работа, техник фотографии зубов видел?Всегда смотрит фото работ, видимо перемудрил по какой-то причине... 1.Зуб переточили на мой взгляд.2.Прицельны кт не помешает3.Найдите эндодонтиста с микроскопом,пусть посмотрит канал изнутри, за одно и восстановит свш. Далее ортодонт.Если без ортодонта ,не советую начинать пока подвижность не уйдет. 1. Знаю, виноват.2. Думал об этом, кт сделать всегда успеем, в первую очередь необходимо постараться вернуть девушке улыбку3. А смысл? Придет время- сделаем кт, а там, возможно и микроскоп не понадобится а толковый хирург =(4. В любом случае у ортодонта уже лежат продублированные гипсовые модели и он заранее озадачен .. Ссылка на комментарий
Сева северный Опубликовано 29 ноября, 2015 Поделиться Опубликовано 29 ноября, 2015 если пациент пойдет через ортодонтию...ситуация у вас под полным контролем.._ За время это время и 11 ..себя проявит. .. и имплантацию если , что успеете.По отличию цвета зубов и рефрактора... тут чисто техничка.( Из чего делали?)... Что тут называют оверпрепом... Вполне сответствует инструкции ивокляра под дисиликат ( Правда считается немного не феншуйно) 1 Ссылка на комментарий
Сева северный Опубликовано 29 ноября, 2015 Поделиться Опубликовано 29 ноября, 2015 Как то, не купил вот такую штуку.....думаю здесь бы помогла.... Ссылка на комментарий
Antonio Maganov Опубликовано 30 ноября, 2015 Автор Поделиться Опубликовано 30 ноября, 2015 если пациент пойдет через ортодонтию...ситуация у вас под полным контролем.._ За время это время и 11 ..себя проявит. .. и имплантацию если , что успеете.По отличию цвета зубов и рефрактора... тут чисто техничка.( Из чего делали?)... Что тут называют оверпрепом... Вполне сответствует инструкции ивокляра под дисиликат ( Правда считается немного не феншуйно)На ортодонтию девушка то пойдет, никуда не денется.... просто хочется постараться заранее все спрогнозировать и знать о подводных камнях и способах ухода от них. Не очень хочется приговаривать 21 летнюю девушку к прощанию с центральным резцом.По поводу технички- я туда не лезу, мне главное результат ( но все-равно потом поинтересуюсь).Видимо, оверпреп тут связан с тем, что я сильно углубился, и ушел за пределы эмали. Но, я же сразу предупредил- что у меня были развязаны руки, да и смысл "эмалевого клапана" теряется при депульпированном зубе, на сколько я знаю. Ссылка на комментарий
Рекомендуемые сообщения
Для публикации сообщений создайте учётную запись или авторизуйтесь
Вы должны быть пользователем, чтобы оставить комментарий
Создать аккаунт
Зарегистрируйте новый аккаунт в нашем сообществе. Это очень просто!
Регистрация нового пользователяВойти
Уже есть аккаунт? Войти в систему.
Войти