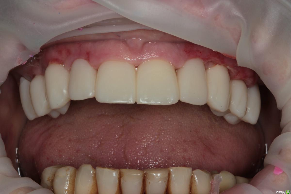
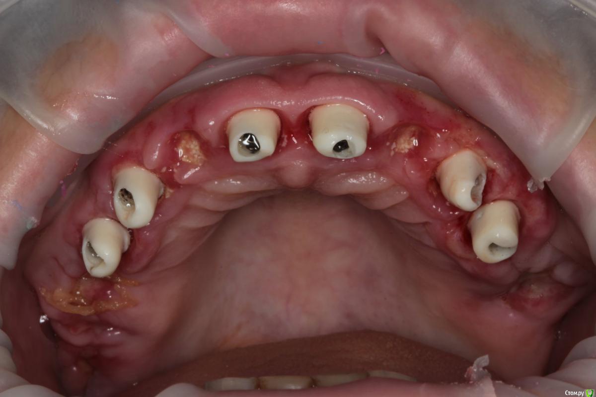
Популярный пост Abuk Опубликовано 24 ноября, 2015 Популярный пост Поделиться Опубликовано 24 ноября, 2015 Планировали 8 имплантатов.Буду рад конструктивной критике.Фото с мокап.Через 6 днейДалее хотели поставить 6 ки, она отказалась (не хотели синусы)и решили все по-другому .Через 2мес пришла с отколотыми консолями )Прошу прощения ,что ортопедию выложил не в том разделе), не хотел делить. 26 1 Ссылка на комментарий
anvladd Опубликовано 24 ноября, 2015 Поделиться Опубликовано 24 ноября, 2015 Снимки не могли бы показать? Ссылка на комментарий
Neilrus Опубликовано 24 ноября, 2015 Поделиться Опубликовано 24 ноября, 2015 Радикально Вы. Что оставили ей после имплантации-это инд аббатменты? На них мокап одели и нагрузили сразу? У всех был торк хороший? Или это временные абб? Что за систему использовали? В планах консоль назад, правильно я понимаю?Спасибо. Ссылка на комментарий
zzkz Опубликовано 24 ноября, 2015 Поделиться Опубликовано 24 ноября, 2015 Вы лунки тоже аугментиовали?Хирургия понравилась Ссылка на комментарий
Abuk Опубликовано 24 ноября, 2015 Автор Поделиться Опубликовано 24 ноября, 2015 Снимки не могли бы показать? .все что есть готовое. Ссылка на комментарий
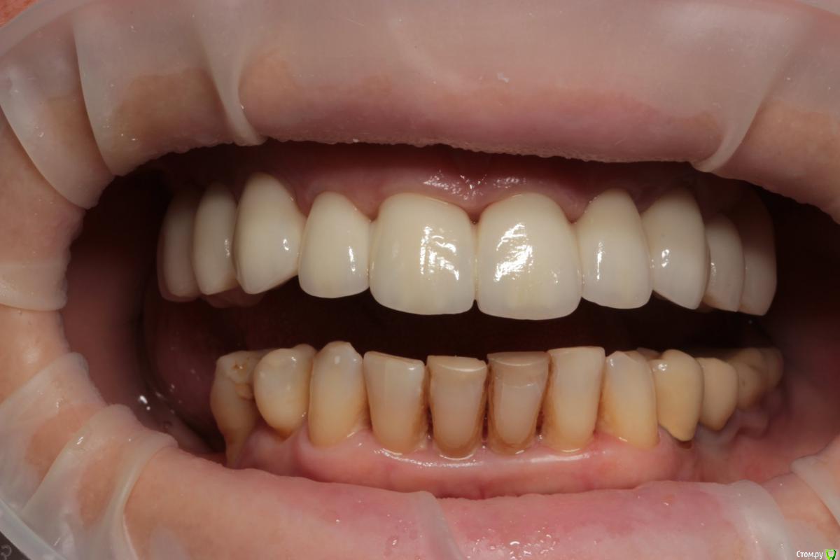
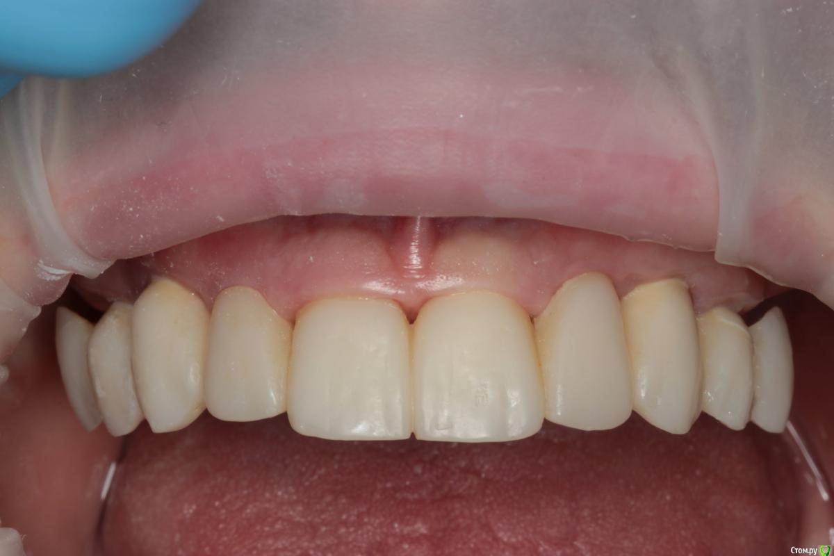
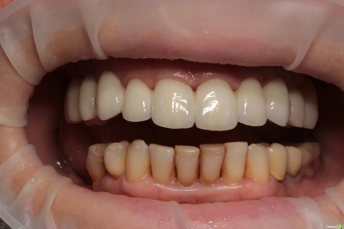
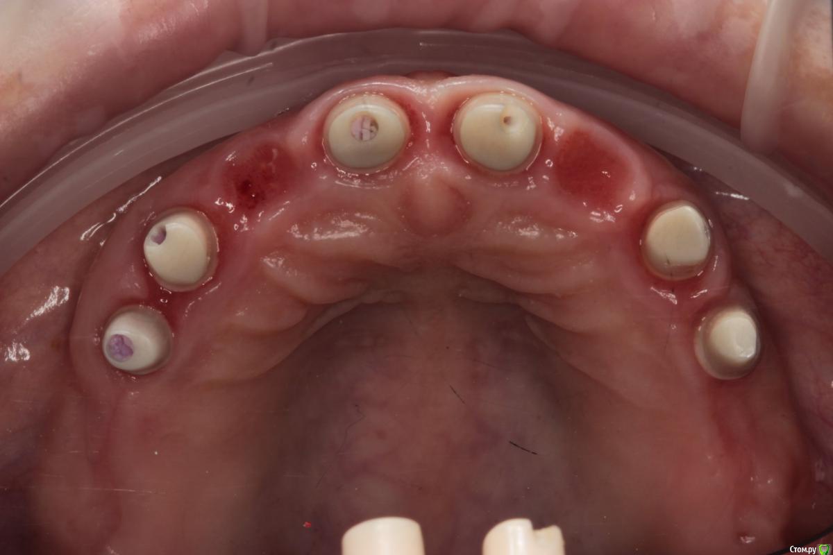
Abuk Опубликовано 24 ноября, 2015 Автор Поделиться Опубликовано 24 ноября, 2015 (изменено) Радикально Вы. Что оставили ей после имплантации-это инд аббатменты? На них мокап одели и нагрузили сразу? У всех был торк хороший? Или это временные абб? Что за систему использовали? В планах консоль назад, правильно я понимаю?Спасибо.увидев такую работу,сам так же подумал бы). Но там подвижность 2-3 ст. ближе к 3. Мосты болтались ,2 ки в хлам. 1 ки только стабильны. Снимал мосты,проводил кюретаж. Решил дернуть.Абатманы временные, тех. сделал на них коронки. Система анкилоз. Работа,на посл. фото, постоянная . Имплы в области 4 и по одному моляру ,консоли. Мок ап был до имплантации . По нему шаблон. Стабильность 15 -20 на 23 , остальное больше 30. Изменено 24 ноября, 2015 пользователем Abuk 1 Ссылка на комментарий
Abuk Опубликовано 24 ноября, 2015 Автор Поделиться Опубликовано 24 ноября, 2015 Вы лунки тоже аугментиовали?Хирургия понравиласьДа, спасибо. Если не сложно, напишите что вам не понравилось в ортопедии.Техничка мне самому не очень , хотя многим ,включая пациента, понравилась Ссылка на комментарий
anvladd Опубликовано 24 ноября, 2015 Поделиться Опубликовано 24 ноября, 2015 Спасибо. Фотографировали чем? Ссылка на комментарий
Abuk Опубликовано 24 ноября, 2015 Автор Поделиться Опубликовано 24 ноября, 2015 Спасибо. Фотографировали чем?Фотки до канон д600и обычный объектив .после фотик тот же, объектив макро 100,и круговая китайская вспышка. Ссылка на комментарий
Рекомендуемые сообщения
Для публикации сообщений создайте учётную запись или авторизуйтесь
Вы должны быть пользователем, чтобы оставить комментарий
Создать аккаунт
Зарегистрируйте новый аккаунт в нашем сообществе. Это очень просто!
Регистрация нового пользователяВойти
Уже есть аккаунт? Войти в систему.
Войти