Sergiosse Опубликовано 23 ноября, 2015 Поделиться Опубликовано 23 ноября, 2015 Планируется имплантация в обл 45 корня. Вестибулярная стенка альвеолы отсутствует на 1\2 высоты.Имплант 12х4.2 установить сразу после удаления или ждать 2 мес.?Ps. Планирую пройти продвинутый курс по синус лифтингу и костной пластике в Дентал гуру у Хабиева. Какие отзывы? Ссылка на комментарий
diesel87 Опубликовано 23 ноября, 2015 Поделиться Опубликовано 23 ноября, 2015 Вестибулярная скорее на 2/3 сохранена, можно одномоментно, взял бы длину 13,5, в зависимости от прохождения нижнего луночкового. Диаметр норм, в щель между имплантом и вестибуляркой положите ксенографт и сразу можно сст и фдм. 1 Ссылка на комментарий
syrovovec Опубликовано 23 ноября, 2015 Поделиться Опубликовано 23 ноября, 2015 Длинну взял бы больше чтоб точно зацепиться, стараться формик сразу, сст полюбэ,графт в зависимости от диаметра 2 Ссылка на комментарий
Доктор Дмитрий Опубликовано 24 ноября, 2015 Поделиться Опубликовано 24 ноября, 2015 Не самая простая одномоментная имплантация и курс не самый лучший. Ссылка на комментарий
Доктор Дмитрий Опубликовано 24 ноября, 2015 Поделиться Опубликовано 24 ноября, 2015 А что за систему используете, могут буть вопросы по первичной стабильности импланта. Временная коронка предполагается? 1 Ссылка на комментарий
syrovovec Опубликовано 24 ноября, 2015 Поделиться Опубликовано 24 ноября, 2015 курс не самый лучший.Согласен Ссылка на комментарий
Abuk Опубликовано 25 ноября, 2015 Поделиться Опубликовано 25 ноября, 2015 Планируется имплантация в обл 45 корня. Вестибулярная стенка альвеолы отсутствует на 1\2 высоты.Имплант 12х4.2 установить сразу после удаления или ждать 2 мес.?Ps. Планирую пройти продвинутый курс по синус лифтингу и костной пластике в Дентал гуру у Хабиева. Какие отзывы?С имплантацией проблем не вижу,все как выше сказано. С костью проблем то же нет. Только с удалениемочень внимательно . Ссылка на комментарий
Kovalov Igor Опубликовано 13 мая, 2016 Поделиться Опубликовано 13 мая, 2016 Не самая простая одномоментная имплантация и курс не самый лучший.СогласенА какой Вы бы посоветовали продвинутый курс ? Ссылка на комментарий
Доктор Дмитрий Опубликовано 13 мая, 2016 Поделиться Опубликовано 13 мая, 2016 В Уфе есть хорошие хирурги, в вашем городе тоже. Попроситесь на операцию, заодно и Поговорите. Ссылка на комментарий
Kovalov Igor Опубликовано 14 мая, 2016 Поделиться Опубликовано 14 мая, 2016 В Уфе есть хорошие хирурги, в вашем городе тоже. Попроситесь на операцию, заодно и Поговорите.Про Уфу я в курсе ) А кто тут форумчанин с Омска ? Буду признателен за наводку ))) Ссылка на комментарий
Nazim_NV86 Опубликовано 14 мая, 2016 Поделиться Опубликовано 14 мая, 2016 Вестибулярная скорее на 2/3 сохранена, можно одномоментно, взял бы длину 13,5, в зависимости от прохождения нижнего луночкового. Диаметр норм, в щель между имплантом и вестибуляркой положите ксенографт и сразу можно сст и фдм.абсолютно согласен. именнно так и делаю. Ссылка на комментарий
Mane Опубликовано 14 мая, 2016 Поделиться Опубликовано 14 мая, 2016 Удаление, имплантация, сст с бугра вестибулярно, графт в щель, фдм, слепок, временная коронка с правильным поддесневым дизайном через пару дней. Все в один этап. Ссылка на комментарий
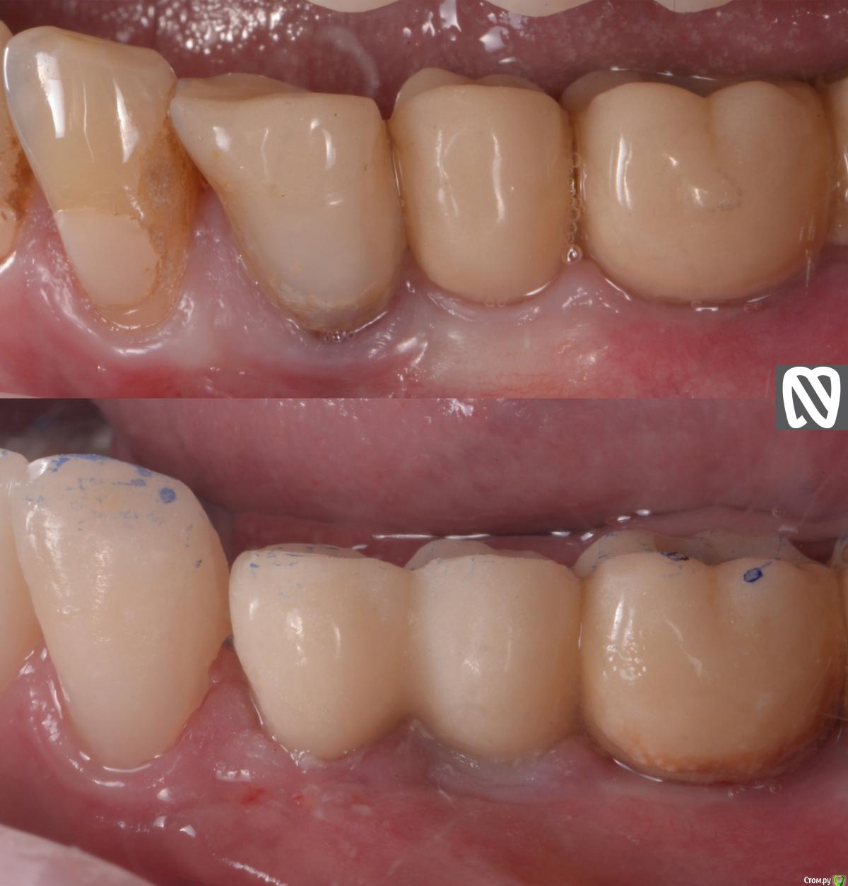
Mane Опубликовано 14 мая, 2016 Поделиться Опубликовано 14 мая, 2016 Разница между фото 1,5 суток 2 Ссылка на комментарий
Доктор Хаус Опубликовано 16 мая, 2016 Поделиться Опубликовано 16 мая, 2016 При одномоментный имплантации с времянкой . Очень важно что бы торк был 35 - 40. И здесь торк может " пиковый" , то есть имплантат клинится в 1-2 мм кости. Или торк достигается фиксацией имплантата в 4-6 мм. Для меня это важно. Из за близости нерва , наверно там не будет 4-6 мм. Имплантат интегрируется только при хорошей первичной стабильности. Если нету опыта то дополнительно бы рисковать не стал. Главное окончательный результат. Чем больше манипуляций в одну операцию - тем больше рисков осложнений от каждой манипуляции. А если так требуется временный зуб то отбредет вам в помощь. 1 Ссылка на комментарий
Рекомендуемые сообщения
Для публикации сообщений создайте учётную запись или авторизуйтесь
Вы должны быть пользователем, чтобы оставить комментарий
Создать аккаунт
Зарегистрируйте новый аккаунт в нашем сообществе. Это очень просто!
Регистрация нового пользователяВойти
Уже есть аккаунт? Войти в систему.
Войти