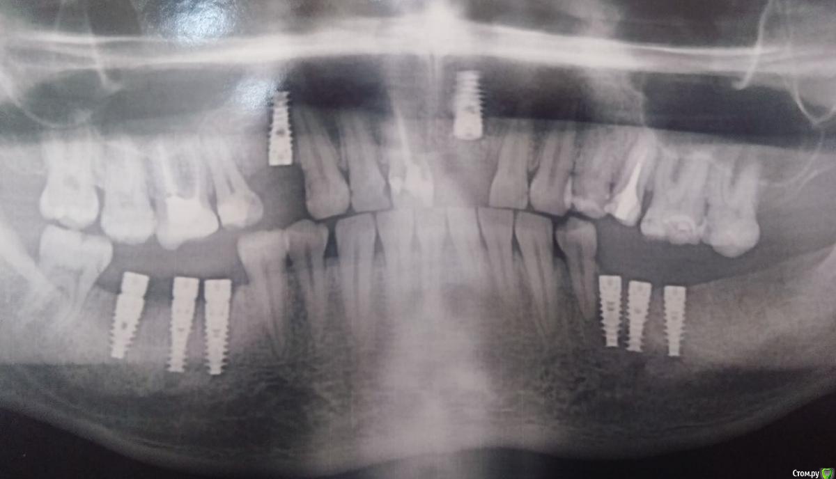
alezx Опубликовано 20 ноября, 2015 Поделиться Опубликовано 20 ноября, 2015 Всем доброго дня. Достаточно давно мне удалили 5 зубов. 9 ноября мне удалили ещё 4 зуба и поставили 8 имплантатов (альфа-био). Удаление и имплантирование прошло одномоментно. К сожалению, я ещё не делал снимок или КТ после имплантации, поэтому схематично могу показать что и где менялось на старых снимках + приложу фото там, где имплантаты видны.Комментарии к снимку:1. Удален зуб, установлен имплантат2. Удалены 2 зуба, установлены 3 имплантат с формирователями3. Удален зуб, установлен имптантат4. Установлены 3 имплантата без формирователя Все обычные последствия прошли достаточно быстро. Отек сошел к концу недели (через 5-6 дней). Болей как таковых не было, кроме первых дней и все казалось бы шло, как по маслу. Но примерно с 15 числа появилась глубокая (не знаю как верно это назвать, то есть она была не сильной и как будто где-то в глубине кости) боль с правой стороны нижней челюсти. Решив, что это просто часть последствий после тяжелой операции принял кетанов и постарался не обращать внимание. На следующий день все повторилось, к вечеру боль вернулась. И так начало повторяться каждый день.Вчера, 19 числа, я снимал швы (у другого врача) и решил проконсультироваться по поводу боли. Мне озвучили, что это вполне нормально и должно скоро пройти.Вечером кетанов решил, что хватит с меня и действовать перестал. Боль уже добралась звоном до уха. Ночь прошла интересно. В 5 утра я выпил нимесил и тогда смог уснуть. В это время боль уже отдавала в крайних нижних зубах при надавливании на них + немного побаливало с левой стороны челюсти (там уже все заросло десной и до этого времени не беспокоило). Разумеется судьба привела меня сюда и судя по прочитанному из других тем, боль на 10 день после операции - это совсем не нормально (успокойте меня, если ошибаюсь).Мысли тревожат вариантами "не прижились имплантаты" или "задет нерв", хотя второе сомнительно, ведь у меня не было онемения.. Хотелось бы услышать ваши мысли по поводу происходящего со мной. Так же уточню:1. Снимок сделаю, вопрос только в его срочности (бежать прямо сейчас с работы или можно подождать начала следующей недели?)2. К сожалению, наблюдаться дальше у того же хирурга, что делал операцию я не могу. Планировал протезироваться в одной из клиник города, но ещё не выбрал в какой. Вариант обращаться даже за переделкой сделаного в то же учреждение - крайний для меня.3. О состоянии 8-рки в курсе, стоматологию планировал после этой операции. (Опять же, на форуме прочел, что пишут об обратном (лечение-удаление-имплантация), но на момент косультации со стоматлогом было озвучено "Удаляй все, потом приходи". Только вот не знаю, приходить ли к нему...) Ссылка на комментарий
Jurai Опубликовано 20 ноября, 2015 Поделиться Опубликовано 20 ноября, 2015 А не пульпит ли в восьмерке дал обострение? Боли сильнее утром, днем, вечером или ночью? 1 Ссылка на комментарий
red_butler Опубликовано 20 ноября, 2015 Поделиться Опубликовано 20 ноября, 2015 Сделайте прицельный или панорамный снимок. 1 Ссылка на комментарий
alezx Опубликовано 20 ноября, 2015 Автор Поделиться Опубликовано 20 ноября, 2015 Боли сильнее вечером-ночью. Снимок сделаю завтра (или сегодня, если успею). Восьмерка совсем не беспокоит.На данный момент боли нет совсем, только странное ощущение в челюсти с правой стороны. Очага боли не ощущалось даже ночью, ныла просто вся челюсть. Ещё забавный момент. Во вторую ночью после операции было онемение правой ноги (чего ранее не случалось) и сейчас при прощупывании легкое ощущение в бедре, будто я ногу отлежал. Но это же не может быть связано? Ссылка на комментарий
alezx Опубликовано 25 ноября, 2015 Автор Поделиться Опубликовано 25 ноября, 2015 Сделал снимок. Надеюсь качество удобоваримое. Про боли - продолжаются, ближе к вечеру. Не регулярно. За все дни только вчера не выдержал и принял кетанов, до этого было терпимо, хоть и дискомфортно. Есть мысль о том, что это из-за еды. Может быть зря я перешел на относительно твердую пищу (картофельное пюре, супы с овощами) и нужно было продолжать детское питание и йогурты из трубочки? Десна все ещё не зажила со стороны, где имплантаты с формирователями, между ними небольшая бороздка (попадание горячего-холодного-любого в неё могло спровоцировать?) Ссылка на комментарий
major Опубликовано 26 ноября, 2015 Поделиться Опубликовано 26 ноября, 2015 Ваше состояние лучше оценивать непосредственно на приеме. Запишитесь на консультацию к хирургу-стоматологу. Желательно с опытом в имплантологии. 1 Ссылка на комментарий
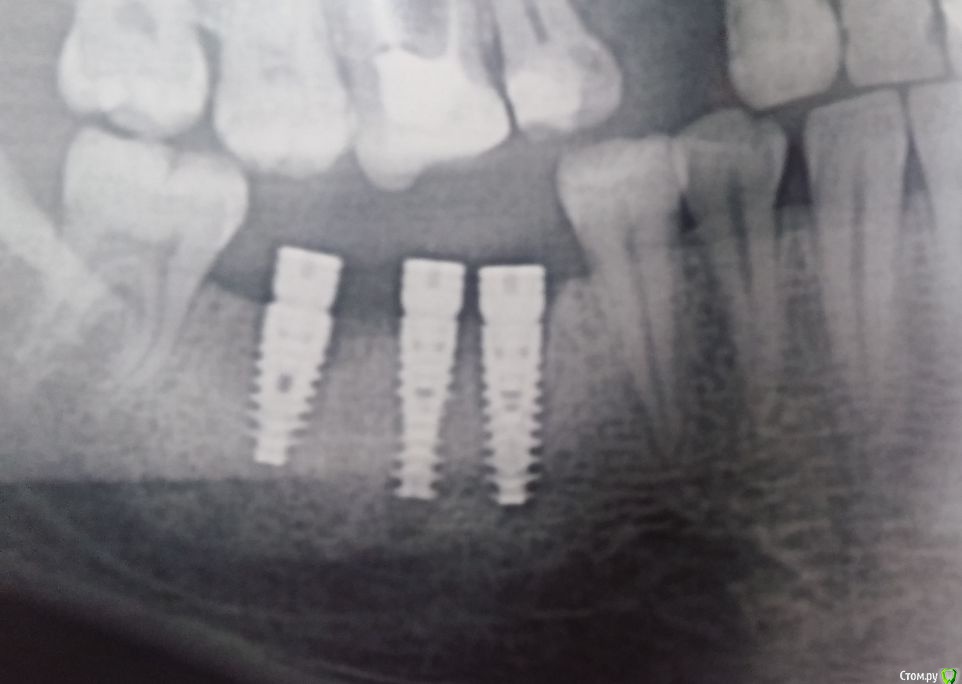
Vitasem Опубликовано 28 ноября, 2015 Поделиться Опубликовано 28 ноября, 2015 Вполне возможно пульпит в 8ке - на первом снимке видна под эмалью полость, хотя на двух других не очень видна.Да и по смптомам(боли ночью) больше смахивает на пульпитВизуальный осмотр, препарирование 8го для исключения его как источника боли.Может еще и формирователь в 1м импланте в области 46 поджимать кость.Пока по теперешним рекомендациям пополощите рот р-ром хлоргексидина 0,5%.Почистили зубы и набрали 1 стол ложку и 2-3 минуты пополоскали.ПС. Через месяц - два - нежно будет проверить жизнеспособность 13, если нерв погиб - эндодонтия. (верхушка импланта рядом с верхушкой 13. Ссылка на комментарий
alezx Опубликовано 29 ноября, 2015 Автор Поделиться Опубликовано 29 ноября, 2015 С возможными причинами боли разобрались (8рку лечу, если прижата десна/кость - терплю и жду).Vitasem отдельное спасибо и за советы и за лечение. Тему можно закрывать. Ссылка на комментарий
Рекомендуемые сообщения