Перейти к содержанию
Стоматология для всех

Соглашаться ли на удаление всех четверок?


oliry

Рекомендуемые сообщения

Здравствуйте!

 

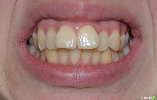
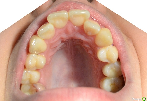
Мне 22 года, планирую исправить проблемы с прикусом, сейчас ищу информацию, рассматриваю варианты.
Очень нужен совет - действительно ли в моем случае лучшим выбором будет удаление 4ок на обеих челюстях?
Консультировалась у двух ортодонтов, оба сказали: без вариантов, зубы крупные, места не хватает.

Второй врач пугал, что если и возможно не удалять и как-нибудь "натянуть" зубы в более-менее правильное положение, то все равно стоит только снять брекеты, как прикус тут же вернется в исходное состояние и вообще будет повышенная нагрузка на челюсти.

 

А я никак не могу решиться. Особенно почитав этот форум, где у многих людей после удаления возникают проблемы с эстетикой лица и суставами. Кроме того, я боюсь, что без четверок на ВЧ зубы провалятся слишком далеко назад. Да, передние резцы сравняются с остальными, но мне бы не хотелось, чтобы все челюсти в общем, а за ними и губы сильно сдвинулись "вглубь", это еще больше испортит лицо.

 

Если все же удалять, то вопрос - обязательно ли по два на каждой челюсти? Я читала, что иногда удаляют и по одному, главная проблема в таком случае, вроде бы, это угроза асимметрии, но у меня она и без того очень заметна) Вопрос - может быть, если удалить по одному зубу с левой стороны, то будет легче как-то скорректировать асимметрию?

 

 

В общем, прилагаю фото, подскажите, пожалуйста, что можно с этим сделать.

Буду очень благодарна за любую помощь!

 

П.С. Само собой, я буду удалять лежащий на боку зуб мудрости) И правую нижнюю 8ку, скорее всего, тоже.

 

http://static1.keep4u.ru/2015/11/18/c78e43bbb49513ff56f5da56dd7269bd.th.jpghttp://static2.keep4u.ru/2015/11/18/24d039fdb32bfc0dececb0231c13e9b9.th.jpghttp://static1.keep4u.ru/2015/11/18/093550a9b60f38c2e8ab938711b7f39b.th.jpghttp://static2.keep4u.ru/2015/11/18/260539ae0797ea368b4db23de43bb709.th.jpghttp://static2.keep4u.ru/2015/11/18/66b018a623ce3ebfe40d1670eabff3c0.th.jpg

post-45417-0-36912400-1447867379_thumb.jpg

post-45417-0-02092500-1447867388_thumb.jpg

post-45417-0-41543800-1447867441_thumb.jpg

post-45417-0-24370500-1447867456_thumb.jpg

post-45417-0-13256700-1447867482_thumb.jpg

post-45417-0-58260400-1447867500_thumb.jpg

Изменено пользователем oliry
Ссылка на комментарий

Для публикации сообщений создайте учётную запись или авторизуйтесь

Вы должны быть пользователем, чтобы оставить комментарий

Создать аккаунт

Зарегистрируйте новый аккаунт в нашем сообществе. Это очень просто!

Регистрация нового пользователя

Войти

Уже есть аккаунт? Войти в систему.

Войти
×
×
  • Создать...
Вверх