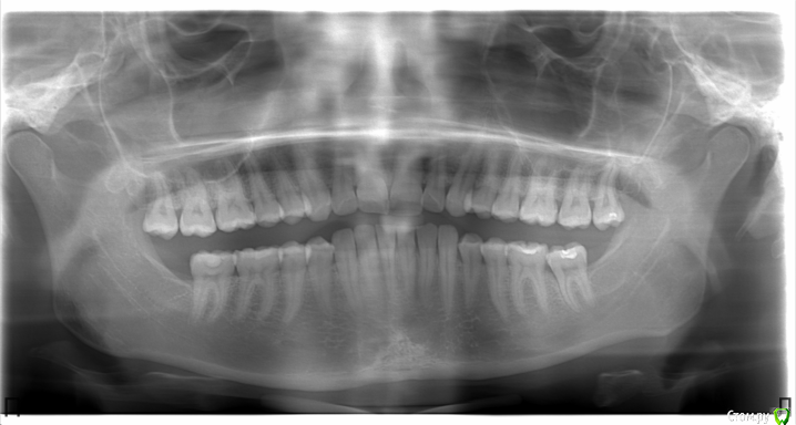
aleksandrovna_o Опубликовано 18 ноября, 2015 Поделиться Опубликовано 18 ноября, 2015 Здравствуйте.Мне 26 лет, дистальный глубокий прикус, на ВЧ скученность зубов. Все зубы свои, удалены 8-е на нижней челюсти.3 ортодонта сказали,что нужно удалять 4-ки, если их не удалить, то увеличится сагиттальная щель, челюсть ещё больше выдвинется вперёд, изменится профиль.4-е зубы не хочу удалять. Возможно ли в моей ситуации удалить 8-е на ВЧ и (или) сделать сепарацию, чтобы освободить место. Мне даже не нужно, чтобы зубы идеально встали в один ряд, просто хоть чуть-чуть исправить?Очень боюсь, что черты лица изменятся (впалые щёки, выраженные скулы). Очень рассчитываю на Ваш ответ. Снимки прилагаю. Ссылка на комментарий
faity Опубликовано 18 ноября, 2015 Поделиться Опубликовано 18 ноября, 2015 сносите восьмерки и будет вам счастье. оставьте четверки в покое.ТРГ ещё бы Ссылка на комментарий
red_butler Опубликовано 18 ноября, 2015 Поделиться Опубликовано 18 ноября, 2015 3 ортодонта сказали,что нужно удалять 4-ки Сходите к четвертому. А восьмые все равно удалять, т. к. отсутствуют антагонисты. Ссылка на комментарий
aleksandrovna_o Опубликовано 18 ноября, 2015 Автор Поделиться Опубликовано 18 ноября, 2015 Ок, понятно, уже решилась на удаление 8-х. Но у меня , как у человека без мед. образования, глупый, наверно, вопрос:как вообще можно выровнять зубы при скученности, при этом, чтоб они не стали выпирать вперёд? Если удалить промежуточные зубы, то тут понятно, проволока тянет передние зубы к задним, закрывая щель. А если не удалить, то можно ли это сделать? Ведь щели нет, как будут двигаться последние задние зубы, если их не к чему двигать, тяги-то нет? Спасибо, если вы это прочитали). Ссылка на комментарий
faity Опубликовано 20 ноября, 2015 Поделиться Опубликовано 20 ноября, 2015 есть такая специальная штука- ортоимплант, крутится на место 8-ок и тянется к нему Ссылка на комментарий
m.d.n Опубликовано 21 ноября, 2015 Поделиться Опубликовано 21 ноября, 2015 кроме 8 верхних ниче не удалять. найдите нормального доктора. техника Meaw вам может помочь Ссылка на комментарий
Caries Опубликовано 26 ноября, 2015 Поделиться Опубликовано 26 ноября, 2015 Удалить восьмые на вч, два микроимплантата на их место через полгода, дистализация моляров. При грамотном подходе профиль изменится в любом случае.Наклон резцов вч нужно исправлять Ссылка на комментарий
m.d.n Опубликовано 26 ноября, 2015 Поделиться Опубликовано 26 ноября, 2015 Зачем ждать, техник работы с TAD*S куча, особенно для дистализации Ссылка на комментарий
aleksandrovna_o Опубликовано 3 декабря, 2015 Автор Поделиться Опубликовано 3 декабря, 2015 Удалить восьмые на вч, два микроимплантата на их место через полгода, дистализация моляров. При грамотном подходе профиль изменится в любом случае.Наклон резцов вч нужно исправлятьЭто опечатка что ли "профиль изменится в любом случае" , вы имели в виду "НЕ изменится"? 1 Ссылка на комментарий
Yana guapa Опубликовано 22 декабря, 2015 Поделиться Опубликовано 22 декабря, 2015 Мне даже не нужно, чтобы зубы идеально встали в один ряд, просто хоть чуть-чуть исправить? так не бывает... Либо начинаете исправлять прикус полностью (делать правильную форму верхнего и нижнего зубных рядов, а затем постановка нижней челюсти в правильное положение), либо не делать ничего. Потому что при любом вмешательстве контакты межчелюстные изменятся, получится "ни два -ни полтора". профиль лица изменится в худшую сторону, если удалите 4-ки (а также усугубите ситуацию с суставом), удалять нельзяпрофиль лица измениться в лучшую сторону, когда нижняя челюсть станет чуть кпереди. (конечно, понятие "красоты" относительно и субъективно) 1 Ссылка на комментарий
aleksandrovna_o Опубликовано 25 января, 2016 Автор Поделиться Опубликовано 25 января, 2016 так не бывает... Либо начинаете исправлять прикус полностью (делать правильную форму верхнего и нижнего зубных рядов, а затем постановка нижней челюсти в правильное положение), либо не делать ничего. Потому что при любом вмешательстве контакты межчелюстные изменятся, получится "ни два -ни полтора". профиль лица изменится в худшую сторону, если удалите 4-ки (а также усугубите ситуацию с суставом), удалять нельзяпрофиль лица измениться в лучшую сторону, когда нижняя челюсть станет чуть кпереди. (конечно, понятие "красоты" относительно и субъективно)Спасибо большое, осталась при своих 4-х, только 8-е зубы удалили). 2 Ссылка на комментарий
Рекомендуемые сообщения
Для публикации сообщений создайте учётную запись или авторизуйтесь
Вы должны быть пользователем, чтобы оставить комментарий
Создать аккаунт
Зарегистрируйте новый аккаунт в нашем сообществе. Это очень просто!
Регистрация нового пользователяВойти
Уже есть аккаунт? Войти в систему.
Войти