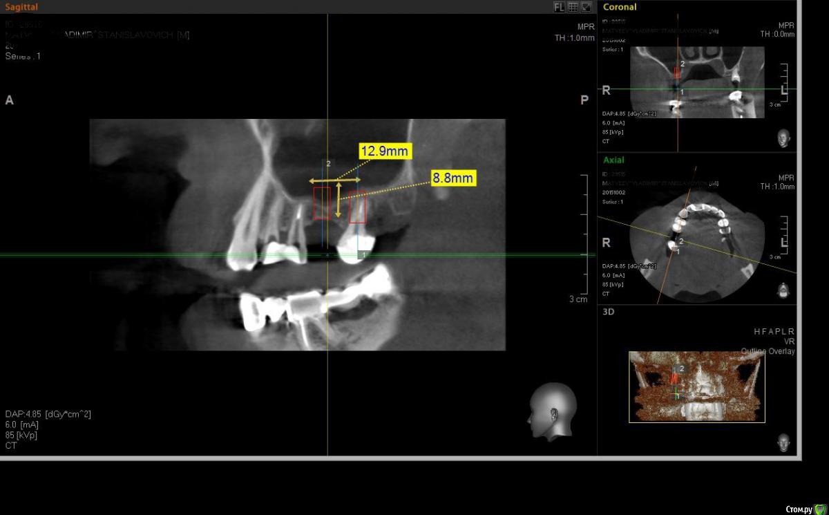
Павел7809 Опубликовано 17 ноября, 2015 Поделиться Опубликовано 17 ноября, 2015 (изменено) Собственно вот я и дошел до полностью самостоятельного открытого с одномоментной установкой 2 имплантиумов. Обращаюсь к Гуру форума так как есть незначительные, но тем не менее важные вопросы не дают покоя....1. Объем графта. Планируется взять 2 мл МП3 хватит ли этого в данной ситуации?2.На срезах четко виднеется сосудик в стенке пазухи на высоте 13 мм. Стоит ли его боятся? И что делать если таки поврежу (просто передавить шипцами чтоли?)3.обязательно ли перекрывать шнейдерову без перфораций мембраной? (в наличии эволюшн тонкая).17 зуба уже нет 2 месЗаранее спасибо! Изменено 17 ноября, 2015 пользователем Павел7809 Ссылка на комментарий
Bier Опубликовано 17 ноября, 2015 Поделиться Опубликовано 17 ноября, 2015 я бы не рекомендовал делать первый синус одновременно с удалением зуба. Графта хватит, если перфорации нет, мембрана не обязательна. Сосуд высоко, не парьтесь. Если что заткните его графтом или стружкой или ткните туда раскаленным штопфером. Ссылка на комментарий
Павел7809 Опубликовано 17 ноября, 2015 Автор Поделиться Опубликовано 17 ноября, 2015 я бы не рекомендовал делать первый синус одновременно с удалением зуба. Графта хватит, если перфорации нет, мембрана не обязательна. Сосуд высоко, не парьтесь. Если что заткните его графтом или стружкой или ткните туда раскаленным штопфером.Извиняюсь, забыл добавить,17 зуба с нами уже нет.... Ссылка на комментарий
Рекомендуемые сообщения
Для публикации сообщений создайте учётную запись или авторизуйтесь
Вы должны быть пользователем, чтобы оставить комментарий
Создать аккаунт
Зарегистрируйте новый аккаунт в нашем сообществе. Это очень просто!
Регистрация нового пользователяВойти
Уже есть аккаунт? Войти в систему.
Войти