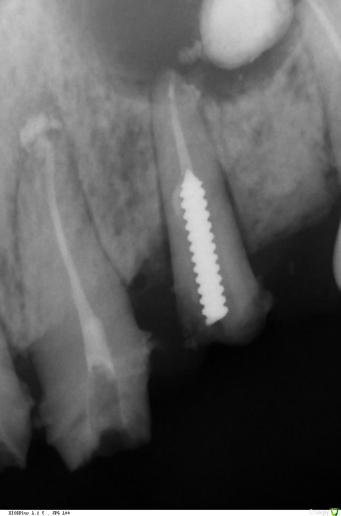
Ponchik Опубликовано 17 ноября, 2015 Поделиться Опубликовано 17 ноября, 2015 (изменено) Пациента ничего не беспокоит. В анамнезе травма 2 сегмента 7 лет назад. Пришел с целью протезирования. Ортопед удалили 22 и направил кисту убрать. Сделали прицельный.Потом захотелось КТ. КТ вышло не очень, но общее представление составить можно. Появились вопросы. На сколько велика вероятность встречи с синусом? Стоит делать амбулаторно? Опыт до этого - цистэктомии в пределах 1-2 зубов. Думаю куда направить. Изменено 17 ноября, 2015 пользователем Ponchik Ссылка на комментарий
Kostoprav Опубликовано 17 ноября, 2015 Поделиться Опубликовано 17 ноября, 2015 если есть сомнения отправьте в стационар. 5 Ссылка на комментарий
rivezico Опубликовано 17 ноября, 2015 Поделиться Опубликовано 17 ноября, 2015 стационар. Ссылка на комментарий
Ponchik Опубликовано 18 ноября, 2015 Автор Поделиться Опубликовано 18 ноября, 2015 (изменено) если есть сомнения отправьте в стационар. Так и поступлю. Только осталось придумать куда. Москва-то большая.Не подскажете куда лучше? Бюджетный вариант. Если можно в личку. Изменено 18 ноября, 2015 пользователем Ponchik Ссылка на комментарий
andrey_1965 Опубликовано 2 декабря, 2015 Поделиться Опубликовано 2 декабря, 2015 Так и поступлю. Только осталось придумать куда. Москва-то большая.Не подскажете куда лучше? Бюджетный вариант. Если можно в личку.Если совсем бюджет-то только в институт на кафедру,оформлять как "учебный процесс".Совсем без оплаты не обойдется,но это будет самая минимальная стоимость.Свяжитесь с кафедрами Ломакина или Дробышева-лучше самому поехать с ОПТГ,КТ.Пообщайтесь,может получится включить в учебный план. Ссылка на комментарий
Рекомендуемые сообщения
Для публикации сообщений создайте учётную запись или авторизуйтесь
Вы должны быть пользователем, чтобы оставить комментарий
Создать аккаунт
Зарегистрируйте новый аккаунт в нашем сообществе. Это очень просто!
Регистрация нового пользователяВойти
Уже есть аккаунт? Войти в систему.
Войти