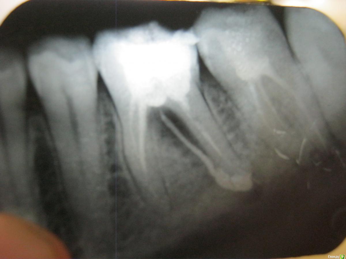
Евгения82 Опубликовано 17 ноября, 2015 Поделиться Опубликовано 17 ноября, 2015 В начале зимы 2014 г. мне пролечили зуб с удалением нерва. Он начал меня беспокоить и как оказалось в нем плохо были запломбированы каналы и остался обломок иголки (на фото в канале справа). На последнем снимке видно воспаление и какое-то образование посредине.Знакомая врач не говорит правду, чтобы меня не расстраивать. Подскажите чем это грозит в дальнейшем.Прикрепляю последний снимок с уже перезапломбироваными каналами Ссылка на комментарий
AlexanderGudkov Опубликовано 17 ноября, 2015 Поделиться Опубликовано 17 ноября, 2015 Грозит удалением зуба 2 Ссылка на комментарий
Чертков Александр Опубликовано 17 ноября, 2015 Поделиться Опубликовано 17 ноября, 2015 Зуб на "выход"...перелечивание бессмысленно 1 Ссылка на комментарий
red_butler Опубликовано 17 ноября, 2015 Поделиться Опубликовано 17 ноября, 2015 Соседний зуб, тоже знакомая лечила? Ссылка на комментарий
Евгения82 Опубликовано 18 ноября, 2015 Автор Поделиться Опубликовано 18 ноября, 2015 Соседний зуб, тоже знакомая лечила?А что с соседним зубом? Ссылка на комментарий
Евгения82 Опубликовано 18 ноября, 2015 Автор Поделиться Опубликовано 18 ноября, 2015 Зуб на "выход"...перелечивание бессмысленноЕсли зуб не удалить, то что будет? Ссылка на комментарий
kozloff Опубликовано 18 ноября, 2015 Поделиться Опубликовано 18 ноября, 2015 Острый гнойный периостит будет. Ссылка на комментарий
Гарриевич Опубликовано 18 ноября, 2015 Поделиться Опубликовано 18 ноября, 2015 Зуб на удаление, сосед справа на перелечивание Ссылка на комментарий
Евгения82 Опубликовано 18 ноября, 2015 Автор Поделиться Опубликовано 18 ноября, 2015 Зуб на удаление, сосед справа на перелечиваниеСам снимок поцарапанный, что именно перелечивать? Зуб лечила зав. терапевт. отделением городской поликлиники областного центра, такого еще в жизни не было, чтобы после неё пришлось что-то перелечивать Ссылка на комментарий
St. Опубликовано 18 ноября, 2015 Поделиться Опубликовано 18 ноября, 2015 Увы, высокая должность и научная степень - не всегда показатель качества.. 2 Ссылка на комментарий
Гарриевич Опубликовано 18 ноября, 2015 Поделиться Опубликовано 18 ноября, 2015 Сам снимок поцарапанный, что именно перелечивать? Зуб лечила зав. терапевт. отделением городской поликлиники областного центра, такого еще в жизни не было, чтобы после неё пришлось что-то перелечиватьканалы зуба мы Вам даем максимально объективную картину происходящего Ссылка на комментарий
Евгения82 Опубликовано 19 ноября, 2015 Автор Поделиться Опубликовано 19 ноября, 2015 Спасибо большое всем за ответы, я прислушаюсь к ним Ссылка на комментарий
Рекомендуемые сообщения
Для публикации сообщений создайте учётную запись или авторизуйтесь
Вы должны быть пользователем, чтобы оставить комментарий
Создать аккаунт
Зарегистрируйте новый аккаунт в нашем сообществе. Это очень просто!
Регистрация нового пользователяВойти
Уже есть аккаунт? Войти в систему.
Войти