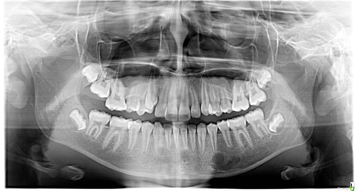
bullbull Опубликовано 17 ноября, 2015 Поделиться Опубликовано 17 ноября, 2015 При ОПТГ и последующей КТ обнаружена полость в кости с мягкотканным содержимым (300-400 HU). Клинических проявлений никаких. Пациентка 13 лет, планируется постановка брекетов.Что это может быть? Может стоит направить в ЧЛХ? Ссылка на комментарий
hemchik Опубликовано 17 ноября, 2015 Поделиться Опубликовано 17 ноября, 2015 Вроде там есть камерность , что характерно для амелобластомы. Если есть подозрение на опухоль нужно делать пункцию. Ссылка на комментарий
девять Опубликовано 23 ноября, 2015 Поделиться Опубликовано 23 ноября, 2015 Тень проецируется в области выхода 3-ей ветви, если бы было новообразование были бы явления сдавления нерва.По снимку муфтообразного утолщения нет.Нет ли гемангиом на лице.Наверно отправить на консультацию в члх. Ссылка на комментарий
bullbull Опубликовано 25 ноября, 2015 Автор Поделиться Опубликовано 25 ноября, 2015 Лицо не изменено, клинических проявлений ни со стороны зубов, ни со стороны лица нет.От консультации у ЧЛХ отказались. Без консультации мы, в свою очередь, отказались устанавливать брекеты. Ссылка на комментарий
Рекомендуемые сообщения
Для публикации сообщений создайте учётную запись или авторизуйтесь
Вы должны быть пользователем, чтобы оставить комментарий
Создать аккаунт
Зарегистрируйте новый аккаунт в нашем сообществе. Это очень просто!
Регистрация нового пользователяВойти
Уже есть аккаунт? Войти в систему.
Войти