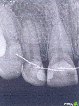
Shatalova Опубликовано 10 ноября, 2015 Поделиться Опубликовано 10 ноября, 2015 Уважаемые специалисты, прошу вашего совета в диагностике и определении дальнейшей судьбы зуба.Проблема с правым верхним резцом.Около года назад появилась чувствительность зуба на холодный воздух. Спустя некоторое время были замечены болезненные ощущения при надавливании на десну над зубом. Вне воздействия ничего не болит.Вердикт терапевта: проблема не очевидна, следить за динамикой в течение полугода.Спустя полгода.Ощущения те же: чувствительность на холод, боль при надавливании на десну.На снимке ничего нового. ЭОД:11: более 130 мка12: 2мка21: 2 мка.По словам врача, зуб мертв, его нужно вскрывать и вычищать. В прикорневой части уже воспаление, поэтому болит при надавливании. На мой вопрос, как может мертвый зуб продолжать чувствовать, врач сказал, что это есть чувствительность соседних зубов. Но это не так!Что с зубом? Что с ним дальше делать?Заранее огромное спасибо.(Снимок в приложении) Ссылка на комментарий
red_butler Опубликовано 10 ноября, 2015 Поделиться Опубликовано 10 ноября, 2015 Эод в вашем случае может врать из за ретейнера, нужно провести термопробы хладагентом 4 Ссылка на комментарий
Гарриевич Опубликовано 10 ноября, 2015 Поделиться Опубликовано 10 ноября, 2015 Эод в вашем случае может врать из за ретейнера, нужно провести термопробы хладагентомПлюсую за холод, по снимку в данном случае не определить Ссылка на комментарий
DmitrySH Опубликовано 10 ноября, 2015 Поделиться Опубликовано 10 ноября, 2015 (изменено) А соседей надо изолировать, чтоб не реагировали на хладагент Изменено 10 ноября, 2015 пользователем DmitrySH Ссылка на комментарий
carloss Опубликовано 10 ноября, 2015 Поделиться Опубликовано 10 ноября, 2015 (изменено) в редких случаях даже тест на холод может давать положительную реакцию - некоторые нервные волокна могут долго сохранять чувствительность даже при мертвом зубе.. но навряд ли у вас этот случай, скорей всего верхушка корня выдвинулась вестибулярно через кость, после ортодонтии Изменено 10 ноября, 2015 пользователем carloss Ссылка на комментарий
Shatalova Опубликовано 11 ноября, 2015 Автор Поделиться Опубликовано 11 ноября, 2015 Огромное спасибо за ответы. Про хладагент поняла."Верхушка корня выдвинулась вестибулярно через кость" - в переводе на обывательский это что означает? И что показано в данном случае? Ссылка на комментарий
carloss Опубликовано 11 ноября, 2015 Поделиться Опубликовано 11 ноября, 2015 "Верхушка корня выдвинулась вестибулярно через кость" - в переводе на обывательский это что означает? И что показано в данном случае?Ничего страшного не означает, тактика выжидательная - в редких случаях может привести тоже к депульпированию(удалению нерва). Это одна из возможных причин, которую стоит исключить или подтвердить, чтобы поставить правильный диагноз. КТ может помочь. Ссылка на комментарий
Рекомендуемые сообщения
Для публикации сообщений создайте учётную запись или авторизуйтесь
Вы должны быть пользователем, чтобы оставить комментарий
Создать аккаунт
Зарегистрируйте новый аккаунт в нашем сообществе. Это очень просто!
Регистрация нового пользователяВойти
Уже есть аккаунт? Войти в систему.
Войти