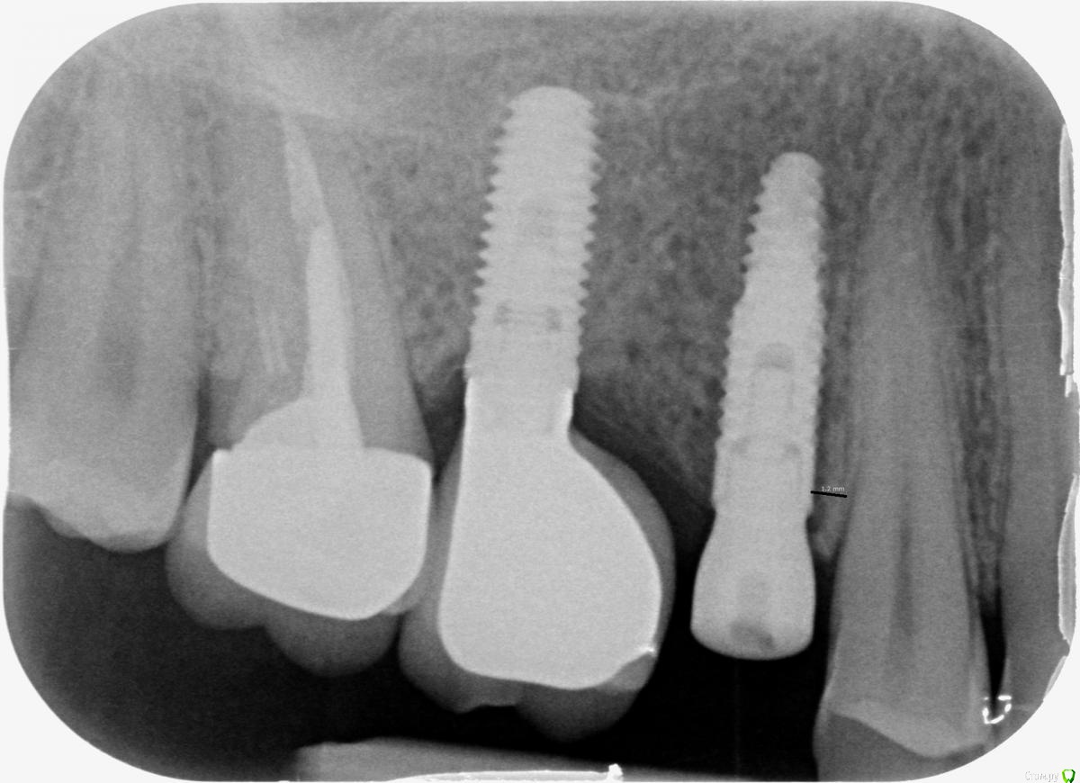
Галина Лазарева Опубликовано 9 ноября, 2015 Поделиться Опубликовано 9 ноября, 2015 Добрый день!06.11.15 врач поставил имплант фирмы "Semados" на верхнюю пятерку справа (1.5). Прописал Амоксиклав 1000 мг раз в сутки.На следующий день соседний зуб (1.4.) выдвинулся чуть вниз и при надавливании болит, при смыкании рта в прикусе чувствуется только этот зуб (1.4.).09.11.15 г сделали рентген.Врач предложил два варианта:1. подшлифовать здоровый зуб (1.4.) и подождать, пока спадет отек костной ткани.Я наобрез отказалась, т.к. трогать здоровый зуб считаю неправильным, и после спадения отека подшлифованный зуб выйдет из прикуса.2. подождать еще 2-3 дня, пока спадет отек, принимать неделю Амоксиклав 1000 мг 2 раза в сутки в течение недели, чтобы исключить возможное воспаление, которого сейчас нет. Для врача не проблема вынуть сейчас имплант и через полгода поставить его заново, но уже по центру, как надо.Вопрос в том, что врач считает, что имплант стоит нормально. В то же время, врач не исключает, что можно потерять из-за травмы (в результате близко посаженного импланта) свой живой соседний зуб (1.4).Если вынуть имплант сейчас, живой зуб, скорее всего, быстро прийдет в норму и не погибнет. Подскажите, пожалуйста, как поступить? Уж очень хочу сохранить свой живой зуб. Расстояние в 1 мм от соседнего зуба для импланта - это не мало? Может, не рисковать и не мучать себя антибиотиками, а вынуть имплант и поставить все через полгода по нормальному? Ссылка на комментарий
Большой Зеленый Опубликовано 9 ноября, 2015 Поделиться Опубликовано 9 ноября, 2015 Нормально стоит .Надо просто поменять формирователь десны на потоньше. Прищемляет немного.. 6 Ссылка на комментарий
doca Опубликовано 9 ноября, 2015 Поделиться Опубликовано 9 ноября, 2015 по снимку все нормально, принимайте антибиотики, как рекомендовал доктор. Ссылка на комментарий
Галина Лазарева Опубликовано 10 ноября, 2015 Автор Поделиться Опубликовано 10 ноября, 2015 Спасибо за комментарии всем откликнувшимся!Проблема в том, что челюсть до конца не смыкается из-за образовавшегося суперконтакта 1.4. зуба.Полностью жую на левой стороне.Причем даже ночью невозможно найти такое положение, когда язык сбоку не прикасался бы к зубу. Даже при боковом прикосновении зуб чувствителен.Подскажите, пожалуйста, сколько времени обычно требуется для восстановления соседнего зуба при близко посаженном импланте? Ссылка на комментарий
gum Опубликовано 10 ноября, 2015 Поделиться Опубликовано 10 ноября, 2015 На антогонисте пломбы нет? так как можно его пришлифовать Ссылка на комментарий
Галина Лазарева Опубликовано 10 ноября, 2015 Автор Поделиться Опубликовано 10 ноября, 2015 нет, на нижней челюсти нет ни единой пломбы Ссылка на комментарий
gum Опубликовано 12 ноября, 2015 Поделиться Опубликовано 12 ноября, 2015 Галина как дела на сегодняшний день? Ссылка на комментарий
Рекомендуемые сообщения
Для публикации сообщений создайте учётную запись или авторизуйтесь
Вы должны быть пользователем, чтобы оставить комментарий
Создать аккаунт
Зарегистрируйте новый аккаунт в нашем сообществе. Это очень просто!
Регистрация нового пользователяВойти
Уже есть аккаунт? Войти в систему.
Войти