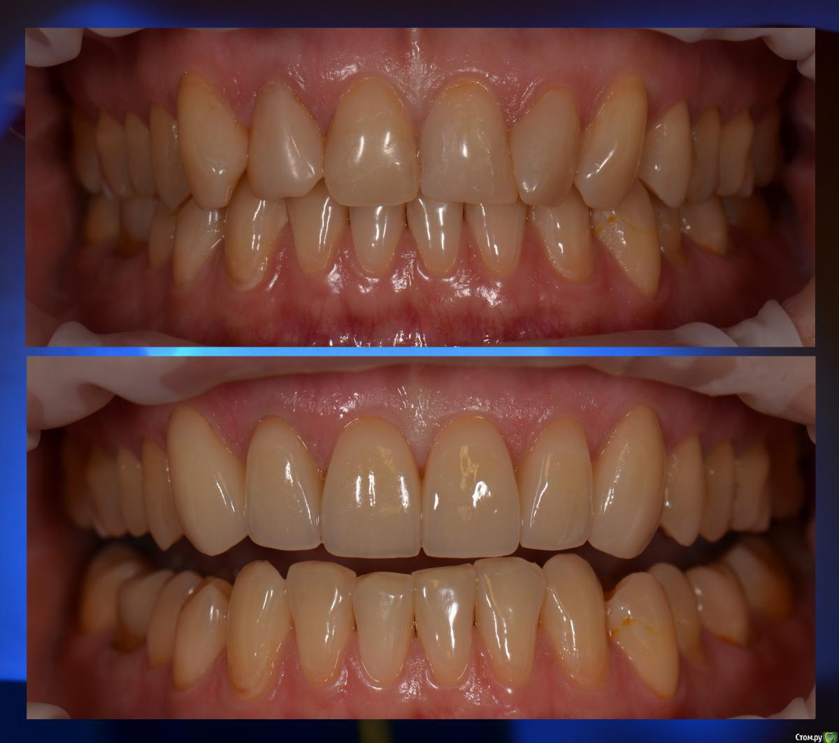
MenshikovDV Опубликовано 7 ноября, 2015 Поделиться Опубликовано 7 ноября, 2015 виниры и коронки в три четветри 6 Ссылка на комментарий
Evikrol Опубликовано 7 ноября, 2015 Поделиться Опубликовано 7 ноября, 2015 Дайте фото препа? Ссылка на комментарий
Сева северный Опубликовано 7 ноября, 2015 Поделиться Опубликовано 7 ноября, 2015 Есть .. фото с улыбкой после? Ссылка на комментарий
Alberto Опубликовано 8 ноября, 2015 Поделиться Опубликовано 8 ноября, 2015 На что фиксировали? хорошая работа, фото препа можно увидеть? На своих зубах клыки более живые , не сочтите за критику). Ссылка на комментарий
Рекомендуемые сообщения
Для публикации сообщений создайте учётную запись или авторизуйтесь
Вы должны быть пользователем, чтобы оставить комментарий
Создать аккаунт
Зарегистрируйте новый аккаунт в нашем сообществе. Это очень просто!
Регистрация нового пользователяВойти
Уже есть аккаунт? Войти в систему.
Войти