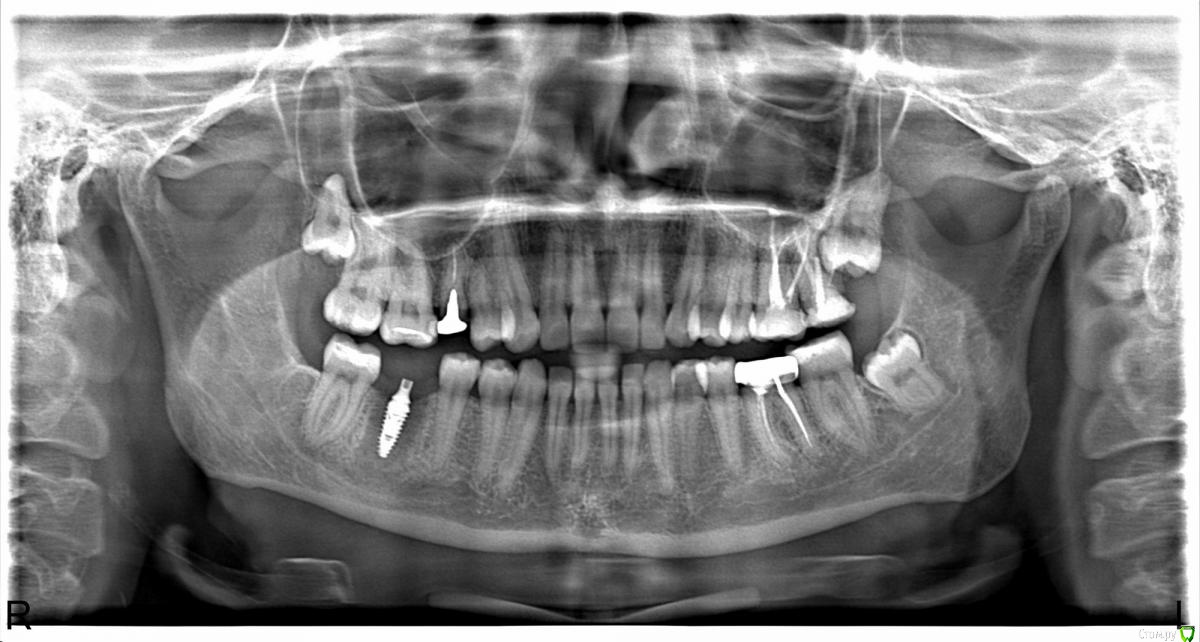
lepestochek Опубликовано 5 ноября, 2015 Поделиться Опубликовано 5 ноября, 2015 (изменено) Здравствуйте! Хотелось бы услышать профессиональную оценку по поводу жевательного зуба 36. Более 10 лет на нём стояла коронка. На снимке врач увидел воспаление у корня и предложил протезирование коронкой из диоксида циркония и, вероятно, вкладка( точно скажет на следующем приёме), предварительно пролечив каналы. После чего воспаление должно со временем исчезнуть. Коронку сняли( фото). На внутренней стороне нет стенки, поэтому хотелось бы знать надёжно ли будет предложенное лечение. А если и возможно, то нельзя ли металлокерамической коронкой накрыть? 15 зуб подготовили под культевую вкладку из кобальт хрома и коронки из диоксида циркония, так как металлокерамика сказали не будет держаться. И это немалые деньги. Ещё раз прошу, подскажите, стоит ли 36 зуб таких затрат? Спасибо. Изменено 5 ноября, 2015 пользователем lepestochek Ссылка на комментарий
anvladd Опубликовано 5 ноября, 2015 Поделиться Опубликовано 5 ноября, 2015 Странно что мк не будет держаться на 15. По поводу материала вообще без разницы. 36 я б сделал вкл и коронку. Ссылка на комментарий
Larnary Опубликовано 5 ноября, 2015 Поделиться Опубликовано 5 ноября, 2015 Коронки,что мк,что цирконий будут держаться одинаково. Алгоритм лечения 36 верен:лечение эндодонтическое(лечение каналов), восстановление культевой вкладкой и покрытие коронкой. Что касается коронки в вашем случае,то я однозначно за цирконий. Ссылка на комментарий
lepestochek Опубликовано 5 ноября, 2015 Автор Поделиться Опубликовано 5 ноября, 2015 Странно что мк не будет держаться на 15. По поводу материала вообще без разницы. 36 я б сделал вкл и коронку. Спасибо за ответ. У меня на 15 два раза стояла коронка обычная металлическая и каждый раз слетала. Врачи говорили, что металлокерамика и подавно не удержится, так как мало места. Тот, кто занялся сейчас моим зубом будет срезать немного десну сверху. Ссылка на комментарий
lepestochek Опубликовано 5 ноября, 2015 Автор Поделиться Опубликовано 5 ноября, 2015 Коронки,что мк,что цирконий будут держаться одинаково. Алгоритм лечения 36 верен:лечение эндодонтическое(лечение каналов), восстановление культевой вкладкой и покрытие коронкой. Что касается коронки в вашем случае,то я однозначно за цирконий. Спасибо! Скажите, если будут одинаково держаться, то почему в моём случае предпочтительнее цирконий? Из -за значительного разрушения? Ссылка на комментарий
Larnary Опубликовано 5 ноября, 2015 Поделиться Опубликовано 5 ноября, 2015 (изменено) Нет. Диоксид циркония-биоинертный материал, идеальное прилегание по уступу. Возможность сделать коронку более тонкой и как следствие меньше обтачивать зуб,высокая эстетика,высокая прочность Изменено 5 ноября, 2015 пользователем Larnary Ссылка на комментарий
lepestochek Опубликовано 5 ноября, 2015 Автор Поделиться Опубликовано 5 ноября, 2015 Нет. Диоксид циркония-биоинертный материал, идеальное прилегание по уступу. Возможность сделать коронку более тонкой и как следствие меньше обтачивать зуб,высокая эстетика,высокая прочность Понятно. Придётся выделить бюджет на качество. Я подумала, что зуб вообще не особо годен. Благодарю!) Ссылка на комментарий
IvanK Опубликовано 6 ноября, 2015 Поделиться Опубликовано 6 ноября, 2015 36 я бы удалил 4 Ссылка на комментарий
4ebstom Опубликовано 6 ноября, 2015 Поделиться Опубликовано 6 ноября, 2015 36-печально,что нет язычной стенки зуба.Если восстанавливать-я бы кхс вкладка+цельная цирк.коронка. Ссылка на комментарий
Larnary Опубликовано 6 ноября, 2015 Поделиться Опубликовано 6 ноября, 2015 Цельноциркон будет стачивать антагонисты. Я бы в данной ситуации выделил 2 главных момента:-на сколько глубоко под десну разрушена язычная стенка. По таким фото можно только гадать.-успешность эндодонтического лечения. Ссылка на комментарий
Рекомендуемые сообщения
Для публикации сообщений создайте учётную запись или авторизуйтесь
Вы должны быть пользователем, чтобы оставить комментарий
Создать аккаунт
Зарегистрируйте новый аккаунт в нашем сообществе. Это очень просто!
Регистрация нового пользователяВойти
Уже есть аккаунт? Войти в систему.
Войти