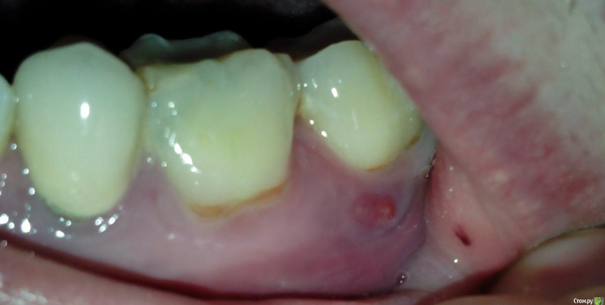
Чебурек Опубликовано 5 ноября, 2015 Поделиться Опубликовано 5 ноября, 2015 (изменено) Вылез свищ снизу слева под 37 зубом(на рентгене посередине). Три недели идет гной. Болей нет. Врач говорит что 36 зуб(на рентгене слева) тоже выглядит не молодцом. Подскажите как действовать. Изменено 5 ноября, 2015 пользователем Чебурек Ссылка на комментарий
Паращук Роман Опубликовано 5 ноября, 2015 Поделиться Опубликовано 5 ноября, 2015 (изменено) Вставить в свищ гуттаперчевый штифт,сделать рентгенографию и выяснить какой зуб причина,от того и плясать. Изменено 5 ноября, 2015 пользователем Паращук Роман Ссылка на комментарий
Чебурек Опубликовано 5 ноября, 2015 Автор Поделиться Опубликовано 5 ноября, 2015 еще такой есть снимок. Ссылка на комментарий
IvanK Опубликовано 5 ноября, 2015 Поделиться Опубликовано 5 ноября, 2015 Лечение 36Восстановление контактного пункта 36, 37 Ищите терапевта 3 Ссылка на комментарий
Чебурек Опубликовано 6 ноября, 2015 Автор Поделиться Опубликовано 6 ноября, 2015 Лечение 36Восстановление контактного пункта 36, 37 Ищите терапевта Врач говорит, что шанс на успешное лечение меньше 50%. Как считаете? Ссылка на комментарий
IvanK Опубликовано 6 ноября, 2015 Поделиться Опубликовано 6 ноября, 2015 Врач говорит, что шанс на успешное лечение меньше 50%. Как считаете?сходите еще на пару консультаций 100% успех Вам никто не предложит.. 1 Ссылка на комментарий
Рекомендуемые сообщения
Для публикации сообщений создайте учётную запись или авторизуйтесь
Вы должны быть пользователем, чтобы оставить комментарий
Создать аккаунт
Зарегистрируйте новый аккаунт в нашем сообществе. Это очень просто!
Регистрация нового пользователяВойти
Уже есть аккаунт? Войти в систему.
Войти