M@estro Опубликовано 13 ноября, 2015 Поделиться Опубликовано 13 ноября, 2015 А если это травма, в результате вида деятельностиБобёр что ли ? 3 Ссылка на комментарий
Beznika Опубликовано 13 ноября, 2015 Поделиться Опубликовано 13 ноября, 2015 химический некроз. вредные факторы на работе есть? Ссылка на комментарий
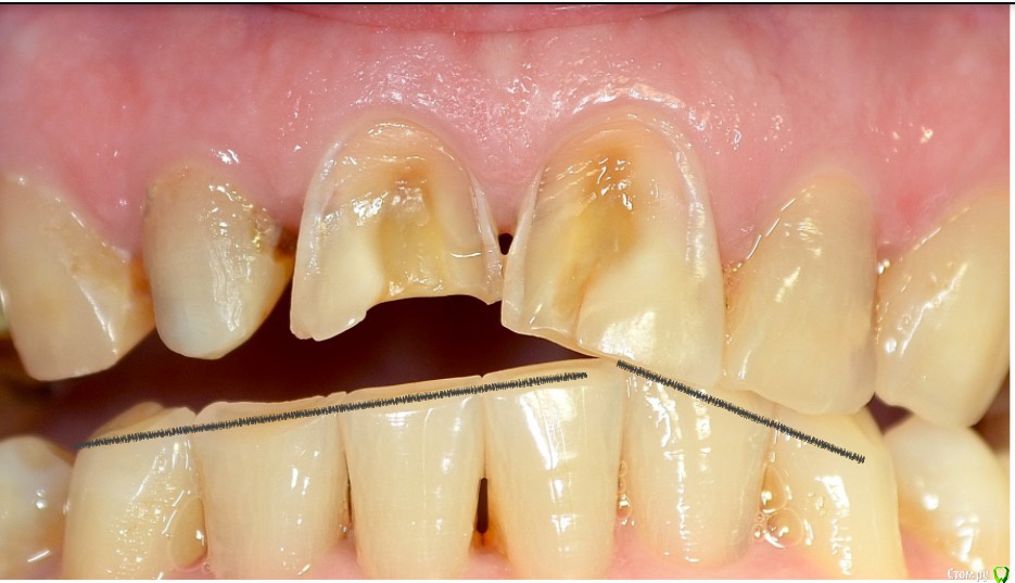
Большой Зеленый Опубликовано 13 ноября, 2015 Автор Поделиться Опубликовано 13 ноября, 2015 На лицо оклюзионная травма, функциональная диагностика помогла бы, но... работа сделана, по поводу пусть ломает - страшно, к Вам могут также отнестись врачи общей практики, в остальном без комментариев.Может тогда объясните почему нижние целые? 1 Ссылка на комментарий
Alexandr_doc Опубликовано 13 ноября, 2015 Поделиться Опубликовано 13 ноября, 2015 Нижние не особо целые, или целые здесь очень относительное понятие? Ссылка на комментарий
krokomot Опубликовано 13 ноября, 2015 Поделиться Опубликовано 13 ноября, 2015 Нижние не особо целые, или целые здесь очень относительное понятие?Исходя из закона относительности, силы действия рождает силу противодействия, таким образом окклюзионная травма вызвала бы сопоставимое разрушение нижних зуб, если конечно только они не из титана))) 1 Ссылка на комментарий
Карен Аванесов Опубликовано 13 ноября, 2015 Поделиться Опубликовано 13 ноября, 2015 Эй парни, с гнатологией поаккуратнее. добавляйте больше табака. Ссылка на комментарий
Alexandr_doc Опубликовано 13 ноября, 2015 Поделиться Опубликовано 13 ноября, 2015 Хроническая травма была до острой, проблема острой решена и хорошо. Но ведь процесс стираемости уже был. Это лишь рассуждения на тему, информации очень мало, вполне возможно это было единственное правильное решение) Ссылка на комментарий
MaxDok Опубликовано 16 ноября, 2015 Поделиться Опубликовано 16 ноября, 2015 А стераемость нижних все же не равномерная . Ссылка на комментарий
arsen147 Опубликовано 16 ноября, 2015 Поделиться Опубликовано 16 ноября, 2015 Играет на духовых инструментах много лет. Ссылка на комментарий
Рекомендуемые сообщения
Для публикации сообщений создайте учётную запись или авторизуйтесь
Вы должны быть пользователем, чтобы оставить комментарий
Создать аккаунт
Зарегистрируйте новый аккаунт в нашем сообществе. Это очень просто!
Регистрация нового пользователяВойти
Уже есть аккаунт? Войти в систему.
Войти