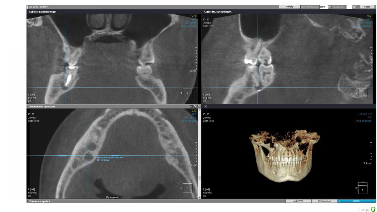
isubru Опубликовано 31 октября, 2015 Поделиться Опубликовано 31 октября, 2015 (изменено) Здравствуйте, Депульпировали зуб, потом он болел где-то с год. Больно было сильно надкусывать, потом боль прошла. "Смеркалось". Через какое-то время на десне сформировался "гноепровод". Постоянно что-то течет. Зуб предлагают удалять (должен сказать, что эта процедура настолько тут в ходу, что на неё всех поголовно отправляют). Сделал КТ. Под 47 действительно 2 кисты, но что интересно на дне полостей какие-то плотные нитевидные "обломки" в 2.5-2.8мм длинной и 1мм в диаметре. Буду очень признателен совету, как мне избавится от этой напасти. Зуб, видимо, уже не спасити?31 ноября 2015 Чуть менее годом ранее. Изменено 31 октября, 2015 пользователем isubru Ссылка на комментарий
DmitrySH Опубликовано 31 октября, 2015 Поделиться Опубликовано 31 октября, 2015 Если только на основании данного КТ, то есть шансы и спасти.На КТ фрагментов инструмента не увидел. Есть какие-то точки. Но надо понимать, что пломбировочным материал, инструменты и тп в каналах сильно "фонят" на КТ. Прицельные снимки есть? Ссылка на комментарий
isubru Опубликовано 31 октября, 2015 Автор Поделиться Опубликовано 31 октября, 2015 (изменено) Да, был. Нужно поискать. Только там в принципе тоже самое. Одна киста, что между 46 и 47 слабо различима в той проекции, хорошо видно только ту, что под другим корнем. PS. Прикрепил в 1й пост. Относительно точек, вряд ли это артефакт (только 2 специфических места на всей CT). Да и на прицельном снимке они есть. Какова вероятность, что они могли быть причиной образования кист(к примеру, механическое повреждение ими при надкусывании на этом зубе)? Изменено 31 октября, 2015 пользователем isubru Ссылка на комментарий
isubru Опубликовано 1 ноября, 2015 Автор Поделиться Опубликовано 1 ноября, 2015 Фото многострадального зуба. Видно потемнение коронки и свищ на десне. Ссылка на комментарий
Гарриевич Опубликовано 1 ноября, 2015 Поделиться Опубликовано 1 ноября, 2015 Вам необходима очная консультация хорошего специалиста, есть вероятность что зуб возможно спасти от удаления, но нужна точная диагностика Ссылка на комментарий
Гарриевич Опубликовано 1 ноября, 2015 Поделиться Опубликовано 1 ноября, 2015 Следуйте за медвежонком)) 4 Ссылка на комментарий
DmitrySH Опубликовано 1 ноября, 2015 Поделиться Опубликовано 1 ноября, 2015 Я бы на эти точки вообще внимания не обращал. При благоприятном исходе они покроются капсулой и можно про них забыть. 1 Ссылка на комментарий
Рекомендуемые сообщения
Для публикации сообщений создайте учётную запись или авторизуйтесь
Вы должны быть пользователем, чтобы оставить комментарий
Создать аккаунт
Зарегистрируйте новый аккаунт в нашем сообществе. Это очень просто!
Регистрация нового пользователяВойти
Уже есть аккаунт? Войти в систему.
Войти