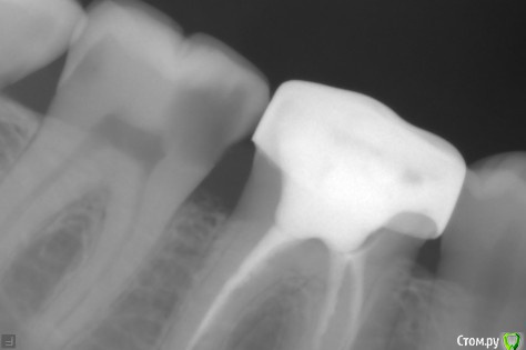
Иван_maa Опубликовано 30 октября, 2015 Поделиться Опубликовано 30 октября, 2015 В начале месяца зафиксировал кариес коренного зуба.Сегодня сходил на консультацию, сделал снимок, сказали, сто пульпит. Есть вероятность, что не будет, но очень малая. Есть клиники и врачи, которые могут вылечить без пульпита в Москве и Подмосковье ? За умеренную цену. фото прилагается. Ссылка на комментарий
Гарриевич Опубликовано 30 октября, 2015 Поделиться Опубликовано 30 октября, 2015 Дело в том, что пульпит это не от врача зависит, это не способ леченияНужно посмотреть с помощью холодоыыого теста жив ли нерв или уже нет и от этого исходить Ссылка на комментарий
krokomot Опубликовано 30 октября, 2015 Поделиться Опубликовано 30 октября, 2015 скорее всего живой, может быть!! его удастся вылечить не затронув нерв, но не кто вам такую гарантию не даст, в любом случае этоможно будет увидеть только начав лечение 2 Ссылка на комментарий
red_butler Опубликовано 30 октября, 2015 Поделиться Опубликовано 30 октября, 2015 99.9% за пульпит 5 Ссылка на комментарий
sydnik Опубликовано 30 октября, 2015 Поделиться Опубликовано 30 октября, 2015 100000000000000000% пульпит, и не каких других диагнозов 1 Ссылка на комментарий
red_butler Опубликовано 30 октября, 2015 Поделиться Опубликовано 30 октября, 2015 Самое интересное, что найти врачей которые полечат зуб как хочет автор темы можно. Но потом в лучшем случае лечить периодонтит за "неумеренные" деньги. В худшем удалять зуб. Ссылка на комментарий
red_butler Опубликовано 30 октября, 2015 Поделиться Опубликовано 30 октября, 2015 Самое интересное, что найти врачей которые полечат зуб как хочет автор темы можно. Но потом в лучшем случае лечить периодонтит за "неумеренные" деньги. В худшем удалять зуб. Ссылка на комментарий
Иван_maa Опубликовано 31 октября, 2015 Автор Поделиться Опубликовано 31 октября, 2015 Самое интересное, что найти врачей которые полечат зуб как хочет автор темы можно. Но потом в лучшем случае лечить периодонтит за "неумеренные" деньги. В худшем удалять зуб.Всем спасибо за ответы!Был похожий случай, как говорил врач, зуб "просвечивает нерв", но до нерва не доходило.Тот зуб в порядке уже около 12 лет. Ещё к одному врачу схожу и запишусь на лечение. Ссылка на комментарий
red_butler Опубликовано 31 октября, 2015 Поделиться Опубликовано 31 октября, 2015 Ещё к одному врачу схожу и запишусь на лечение. Попробуйте найти врача на форуме - http://forum.stom.ru/topic/4752-posovetujte-terapevta-v-gorode-n/ Ссылка на комментарий
Ker Опубликовано 27 ноября, 2015 Поделиться Опубликовано 27 ноября, 2015 Пульпит там, и еще полость средняя на дисталке. Ссылка на комментарий
Рекомендуемые сообщения
Для публикации сообщений создайте учётную запись или авторизуйтесь
Вы должны быть пользователем, чтобы оставить комментарий
Создать аккаунт
Зарегистрируйте новый аккаунт в нашем сообществе. Это очень просто!
Регистрация нового пользователяВойти
Уже есть аккаунт? Войти в систему.
Войти