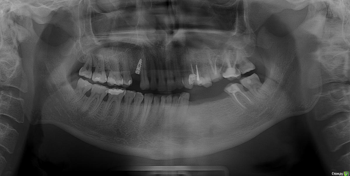
markanov Опубликовано 30 октября, 2015 Поделиться Опубликовано 30 октября, 2015 28.10.2015г. установили имплант.Врач говорит что всё будет нормально.Меня беспокоит клык, боль при надкусе и напряжение в зубе.Может его выкрутить? Меня отговаривают, говорят приживется.Проконсультируйте пожалуйста. Ссылка на комментарий
Павел7809 Опубликовано 30 октября, 2015 Поделиться Опубликовано 30 октября, 2015 несомненно приживется! Только что дальше с клыком будет большой вопрос. Ссылка на комментарий
Larnary Опубликовано 30 октября, 2015 Поделиться Опубликовано 30 октября, 2015 (изменено) Выкручивать. Приживется-то он приживется,а вот дальше сплошные проблемы ждут. Слепок нормальный вряд ли получится снять,тк трансфер нормально не установить и путь введения для будущей коронки может быть не найден.проще говоря высока вероятность,что коронка не встанет. А если и встанет с цементной фиксацией,то абатмент будет весь спилен техником и коронка будет постоянно слетать. Про клык вам сказали. Есть вероятность повреждения корня и если вдруг,не дай Бог,его придется удалить в будущем,то на место клыка имплантат нормально уже не поставить,только под таким же неправильным углом.В общем,оставив этот имплантат на месте,вас может ожидать цепочка проблем в будущем Изменено 30 октября, 2015 пользователем Larnary 3 Ссылка на комментарий
diesel87 Опубликовано 30 октября, 2015 Поделиться Опубликовано 30 октября, 2015 Можно выкрутить и сразу переставить в верной ортопедической позиции. Ссылка на комментарий
markanov Опубликовано 30 октября, 2015 Автор Поделиться Опубликовано 30 октября, 2015 Спасибо, буду выкручивать. Ссылка на комментарий
Рекомендуемые сообщения
Для публикации сообщений создайте учётную запись или авторизуйтесь
Вы должны быть пользователем, чтобы оставить комментарий
Создать аккаунт
Зарегистрируйте новый аккаунт в нашем сообществе. Это очень просто!
Регистрация нового пользователяВойти
Уже есть аккаунт? Войти в систему.
Войти