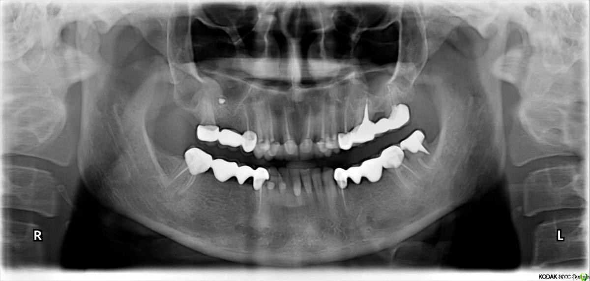
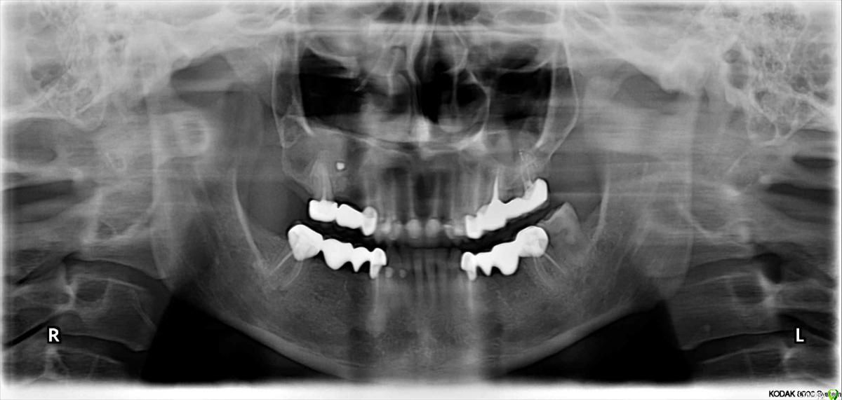
lazzal Опубликовано 29 октября, 2015 Поделиться Опубликовано 29 октября, 2015 Уважаемые хирурги-имплантологи, подскажите пожалуйста возможна ли в моем случае имплантация отсутствующих зубов верхней челюсти, какими имплантами (может мини?) и какая должна быть подготовка -может костная пластика? и возможна ли она? прилагаю 3 панорамных снимка - первый сделан в 2012 году сразу после протезирования всех зубов (делали одномоментно и верх и низ - половина зубов была абсолютно здорова, поднимали прикус таким образом, линия улыбки - безметалловая керамика), второй в апреле 2014г до удаления зуба на в.ч., третий в октябре 2015 (3 дня назад). От чего может быть такая убыль костной ткани? врач говорит, что теперь только бюгельный протез, может он с такими случаями не сталкивался? Возможно, опытные врачи на этом форуме увидят еще какие-то проблемы с зубами или деснами, на которые стоит обратить внимание. мне всего 32 года, я очень симпатичная внешне, очень хочется продлить жизнь своим зубам и не иметь проблем с жеванием. Заранее огромное спасибо всем откликнувшимся, буду Вам безмерно благодарна. Ссылка на комментарий
Bier Опубликовано 29 октября, 2015 Поделиться Опубликовано 29 октября, 2015 не вижу каких-то особых сложностей. Да потребуется нарастить кость, но случай вполне решаемый, особенно если пациентка "очень симпатичная внешне". С другими депульпированными зубами похоже тоже есть проблемы. Для более точной диагностики нужно КТ 2 Ссылка на комментарий
lazzal Опубликовано 29 октября, 2015 Автор Поделиться Опубликовано 29 октября, 2015 Bier, Вы в меня просто надежду вселили! Мой ортопед сказал, что у меня там все очень плохо, костной ткани нет совсем, да и по всей челюсти костная ткань очень бледного рисунка, т.е. слабая, хрупкая. сказал не ранее чем через 3 года при усиленном питании кальцием и желеобразующими и жирными продуктами и несколько курсов витаминов, возможно и можно будет подсадить, а так она не приживется. смысла в этом нет. ни один имплант по длине не подойдет, даже мини, тем более там гайморовая пазуха. еще сказал, какие тебе импланты, смотри, как бы все зубы не повыпадали, т.к. десны очень бледные. я в шоке была, конечно. так это можно начинать уже сейчас или все-таки кальций+ усиленное питание и укрепление десен? про кт - это надо именно этой области или обоих челюстей? Ссылка на комментарий
Bier Опубликовано 29 октября, 2015 Поделиться Опубликовано 29 октября, 2015 Bier, Вы в меня просто надежду вселили! Мой ортопед сказал, что у меня там все очень плохо, костной ткани нет совсем, да и по всей челюсти костная ткань очень бледного рисунка, т.е. слабая, хрупкая. сказал не ранее чем через 3 года при усиленном питании кальцием и желеобразующими и жирными продуктами и несколько курсов витаминов, возможно и можно будет подсадить, а так она не приживется. смысла в этом нет. ни один имплант по длине не подойдет, даже мини, тем более там гайморовая пазуха. еще сказал, какие тебе импланты, смотри, как бы все зубы не повыпадали, т.к. десны очень бледные. я в шоке была, конечно. так это можно начинать уже сейчас или все-таки кальций+ усиленное питание и укрепление десен? про кт - это надо именно этой области или обоих челюстей?Укрепление десен - это какая-то ерунда ну а кальций+здоровое питание не повредят конечно. Хотя кальций в таблетках я бы не рекомендовал, толку от него не много. К тому же думаю, что у Вас с ним все ок. Начинать можно уже сейчас. Возможно нужно провести проф. гигиену, возможно что-то полечить, ну и все, можно оперироваться. КТ нужно обеих челюстей. В каком вы городе? Ссылка на комментарий
lazzal Опубликовано 29 октября, 2015 Автор Поделиться Опубликовано 29 октября, 2015 Я в Серпухове, 80 км от Москвы. Очень нужен хороший имплантолог, кто сделает все качественно и без дальнейших неприятностей. Помогите мне советом, к кому обратиться, пожалуйста Ссылка на комментарий
Larnary Опубликовано 29 октября, 2015 Поделиться Опубликовано 29 октября, 2015 (изменено) Bier не только вселяет надежду,но и является классным хирургом! Нужен совет?Вы уже с ним общаетесь )) Изменено 29 октября, 2015 пользователем Larnary 1 Ссылка на комментарий
Павел7809 Опубликовано 29 октября, 2015 Поделиться Опубликовано 29 октября, 2015 Мой ортопед сказал, что у меня там все очень плохо, костной ткани нет совсем, да и по всей челюсти костная ткань очень бледного рисунка, т.е. слабая, хрупкая. сказал не ранее чем через 3 года при усиленном питании кальцием и желеобразующими и жирными продуктами и несколько курсов витаминов, возможно и можно будет подсадить, а так она не приживется. смысла в этом нет. ни один имплант по длине не подойдет, даже мини, тем более там гайморовая пазуха. еще сказал, какие тебе импланты, смотри, как бы все зубы не повыпадали, т.к. десны очень бледные. Я знаю что это наверное не смешно но тем не менее улыбнуло Видно ортопЭд большой специалист(по штампованным коронкам). 1 Ссылка на комментарий
kladoffka Опубликовано 29 октября, 2015 Поделиться Опубликовано 29 октября, 2015 Уважаемые хирурги-имплантологи, подскажите пожалуйста возможна ли в моем случае имплантация отсутствующих зубов верхней челюсти, какими имплантами (может мини?) и какая должна быть подготовка -может костная пластика? и возможна ли она? прилагаю 3 панорамных снимка - первый сделан в 2012 году сразу после протезирования всех зубов (делали одномоментно и верх и низ - половина зубов была абсолютно здорова, поднимали прикус таким образом, линия улыбки - безметалловая керамика), второй в апреле 2014г до удаления зуба на в.ч., третий в октябре 2015 (3 дня назад). От чего может быть такая убыль костной ткани? врач говорит, что теперь только бюгельный протез, может он с такими случаями не сталкивался? Возможно, опытные врачи на этом форуме увидят еще какие-то проблемы с зубами или деснами, на которые стоит обратить внимание. мне всего 32 года, я очень симпатичная внешне, очень хочется продлить жизнь своим зубам и не иметь проблем с жеванием. Заранее огромное спасибо всем откликнувшимся, буду Вам безмерно благодарна.Если не секрет, то сколько лет вашему ортопеду? PS по поводу Bier'a -согласен, замечательный хирург, скатайтесь в Питер к нему Ссылка на комментарий
lazzal Опубликовано 29 октября, 2015 Автор Поделиться Опубликовано 29 октября, 2015 ему 42 года, посоветовала мне его знакомая, которая работает зубным техником у него, говорит он врач от бога. я видела у него на стене пару сертификатов, тем более работает он в поликлинике РОСИМУЩЕСТВА, я повелась на это, дура и даже больше не с кем не консультировалась. Депульпировали все абсолютно здоровые зубы верхней челюсти и половину здоровых зубов нижней чтоб поднять прикус и навести "голливудскую улыбку" о чем я с детства мечтала, лицезрея в зеркале природное отсутствие обоих двоек. Я ИДИОТКА, МНЕ ЖУТКО НЕ ПОВЕЗЛО!!! Я ПРОСТО УБИТА! им всего 5 лет службы. и все надо переделывать и верх и низ. http://forum.stom.ru/topic/30827-bezmetalovaia-keramika-na-linii-ulybki-ne-nad/Я НЕ ВЕРЮ! ТАК НЕ БЫВАЕТ! Ссылка на комментарий
lazzal Опубликовано 29 октября, 2015 Автор Поделиться Опубликовано 29 октября, 2015 Bier, будьте добры, загляните в мою тему http://forum.stom.ru/topic/30827-bezmetalovaia-keramika-na-linii-ulybki-ne-nad/, напишите свое мнение, Вы согласны со всеми высказавшимися? моя ситуация не безнадежна? можно ли привести в порядок весь этот ужас? Ссылка на комментарий
DmitrySH Опубликовано 29 октября, 2015 Поделиться Опубликовано 29 октября, 2015 Не хочу огорчать, но кроме хирургии и ортопедии еще немного эндодонтии потребуется. Ссылка на комментарий
lazzal Опубликовано 29 октября, 2015 Автор Поделиться Опубликовано 29 октября, 2015 А что такое ЭНДОДОНТИЯ? Ссылка на комментарий
DmitrySH Опубликовано 29 октября, 2015 Поделиться Опубликовано 29 октября, 2015 А что такое ЭНДОДОНТИЯ? В вашем случае: повторная ревизия каналов у зубов 26, 47. (28, 38 - вопрос в целесообразности сохранения) Возможно какие-то зубы во фронте, по ОПТГ непонятно Ссылка на комментарий
Bier Опубликовано 29 октября, 2015 Поделиться Опубликовано 29 октября, 2015 В целом согласен, тут комплексный, тотальный план перепротезирования нужен. В Москве Вам было бы ближе конечно, в Питер не наездитесь с таким объемом работы. Ссылка на комментарий
lazzal Опубликовано 29 октября, 2015 Автор Поделиться Опубликовано 29 октября, 2015 В целом согласен, тут комплексный, тотальный план перепротезирования нужен. В Москве Вам было бы ближе конечно, в Питер не наездитесь с таким объемом работы. Скажите, сколько примерно это будет мне стоить у Вас в клинике? чтоб весь этот ужас привести в порядок? хотя бы в личку. хотя бы примерно, к чему готовиться. вопрос с пребыванием в питере я буду решать в штатном порядке. Либо посоветуйте кого-нибудь к кому мне можно обратиться в Москве, не из премиум сегмента, а из среднего. возможно Вы кого-то знаете, кто СПРАВИТСЯ. Ясама никого не найду. я уже боюсь наобум, а по отзывам в интернете тоже не поймешь, знакомых, кто бы посоветовал нету. А ОЧЕНЬ НУЖНО!!!! Буду Вам очень благодарна! Ссылка на комментарий
Bier Опубликовано 29 октября, 2015 Поделиться Опубликовано 29 октября, 2015 Я написал в личку уже москвских коллег Ссылка на комментарий
Рекомендуемые сообщения
Для публикации сообщений создайте учётную запись или авторизуйтесь
Вы должны быть пользователем, чтобы оставить комментарий
Создать аккаунт
Зарегистрируйте новый аккаунт в нашем сообществе. Это очень просто!
Регистрация нового пользователяВойти
Уже есть аккаунт? Войти в систему.
Войти