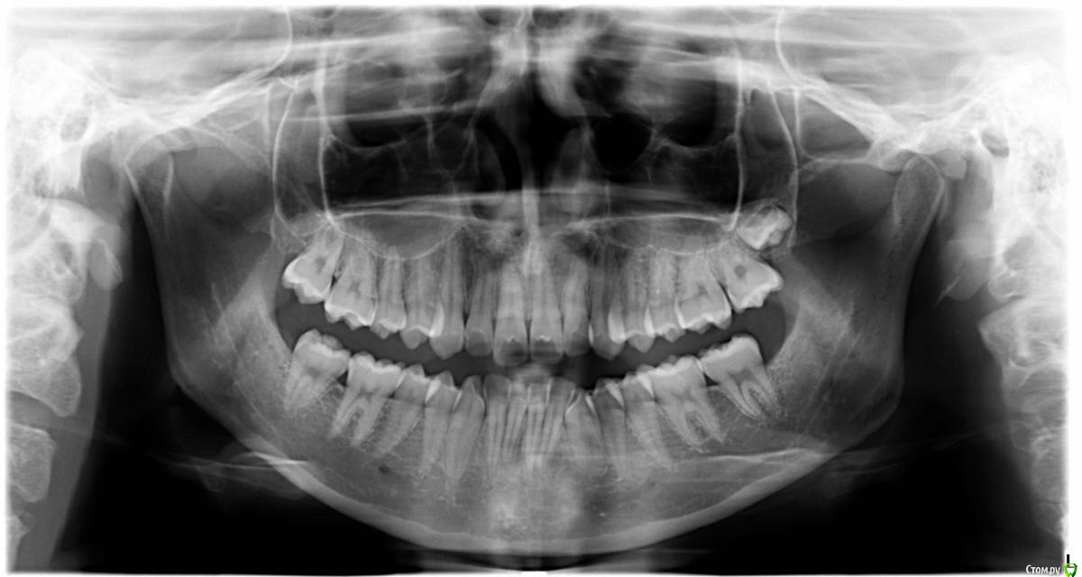
kamranchick Опубликовано 27 октября, 2015 Поделиться Опубликовано 27 октября, 2015 Попытался достать 2.8не получается, не видно зуба и все.Как вы думаете может стоит убрать 7ой зуб? так как он смотрит щечно? либо в стационар? либо руки-крюки?Разрез делал вертикальный от 6 зуба. Ссылка на комментарий
kladoffka Опубликовано 27 октября, 2015 Поделиться Опубликовано 27 октября, 2015 Думаю, я бы его все же амбулаторно взял. Потому что если ты его послали в стационар, то он мог опять на меня попасть) а в амбулатории у меня оснащение получше. 1 Ссылка на комментарий
АнтонТЛТ Опубликовано 27 октября, 2015 Поделиться Опубликовано 27 октября, 2015 Вообще нет проблем такой зуб удалить 3 Ссылка на комментарий
red_butler Опубликовано 27 октября, 2015 Поделиться Опубликовано 27 октября, 2015 Постоянно приходится такие удалять - ортодонты отправляют. Ссылка на комментарий
Shargik Опубликовано 27 октября, 2015 Поделиться Опубликовано 27 октября, 2015 Имхо, он под тонким слоем кости щёчно будет сидеть.. 1 Ссылка на комментарий
Чертков Александр Опубликовано 27 октября, 2015 Поделиться Опубликовано 27 октября, 2015 А чем он вообще мешал и кому? 7й то чем провинился?! Даже не вздумайте! 11 Ссылка на комментарий
diesel87 Опубликовано 27 октября, 2015 Поделиться Опубликовано 27 октября, 2015 А чем он вообще мешал и кому? 7й то чем провинился?! Даже не вздумайте!Как такое может вообще в голову прийти?! Удалить семерку?!?!? 1 Ссылка на комментарий
diesel87 Опубликовано 27 октября, 2015 Поделиться Опубликовано 27 октября, 2015 Если хочется лучше визуализировать, сделать сулькулярный от 7 зуба и даль по гребню в области бугра, отслоили, можно чуть бором поработать и все. 1 Ссылка на комментарий
kamranchick Опубликовано 27 октября, 2015 Автор Поделиться Опубликовано 27 октября, 2015 Не щёчно располагается, убрал косточку оттуда, и пусто)7ку хотел убрать так как не в прикусе и наклонена щечно, ничего не видно за ней... Ссылка на комментарий
Nazim_NV86 Опубликовано 27 октября, 2015 Поделиться Опубликовано 27 октября, 2015 Не надо ничего там визуализировать. На ощупь ....при полуоткрытом рте гнутым элеватором. Больше ничего не изобретай. Ссылка на комментарий
k.t.m. Опубликовано 27 октября, 2015 Поделиться Опубликовано 27 октября, 2015 скорее небно Ссылка на комментарий
johniola Опубликовано 27 октября, 2015 Поделиться Опубликовано 27 октября, 2015 его вообще трогать не надо,а для ортодонта больше на нижней челюсти удаляют Ссылка на комментарий
kamranchick Опубликовано 27 октября, 2015 Автор Поделиться Опубликовано 27 октября, 2015 Стреляющие боли в ухо. Раз в полгода Ссылка на комментарий
diesel87 Опубликовано 27 октября, 2015 Поделиться Опубликовано 27 октября, 2015 Стреляющие боли в ухо. Раз в полгода28 даже не в курсе что это он 3 Ссылка на комментарий
Fibez Опубликовано 27 октября, 2015 Поделиться Опубликовано 27 октября, 2015 Автору топика. Вы ошибаетесь с причинами болей. Этот зуб вообще трогать не надо, кроме как если ортодонт укажет. Причем адекватный и с мозгами 2 Ссылка на комментарий
doca Опубликовано 27 октября, 2015 Поделиться Опубликовано 27 октября, 2015 Как такое может вообще в голову прийти?! Удалить семерку?!?!?ну а как до 8-го то добраться?))) Ссылка на комментарий
koreandr Опубликовано 27 октября, 2015 Поделиться Опубликовано 27 октября, 2015 http://m.youtube.com/watch?v=6EIk47h0A3Q#Простите, не удержался.Может поможет встать(сесть) с другой стороны, пациенту рот открыть на ширину пальца, использовать зеркало. Случай не стационарный по-моему. Ссылка на комментарий
major Опубликовано 27 октября, 2015 Поделиться Опубликовано 27 октября, 2015 ну а как до 8-го то добраться?)))Либо как Паниковский, но не терять самообладания. Либо доступ ширепысы: без удаления 7 Ссылка на комментарий
diesel87 Опубликовано 27 октября, 2015 Поделиться Опубликовано 27 октября, 2015 ну а как до 8-го то добраться?)))Тогда уж с единички начинать)) Ссылка на комментарий
kamranchick Опубликовано 28 октября, 2015 Автор Поделиться Опубликовано 28 октября, 2015 Автору топика. Вы ошибаетесь с причинами болей. Этот зуб вообще трогать не надо, кроме как если ортодонт укажет. Причем адекватный и с мозгамии отчего у нее болевые ощущения тогда в этой области? и раз в полгода отеки? как Вы думаете? Ссылка на комментарий
alexstoma Опубликовано 28 октября, 2015 Поделиться Опубликовано 28 октября, 2015 так удалил 28 или нет? Ссылка на комментарий
kamranchick Опубликовано 28 октября, 2015 Автор Поделиться Опубликовано 28 октября, 2015 так удалил 28 или нет?нет, не смог, отправил на консультацию к лору, сказал пазуха маленькая и зуб большой, требуется оперативное вмешательство под э/т наркозом. Ссылка на комментарий
АнтонТЛТ Опубликовано 28 октября, 2015 Поделиться Опубликовано 28 октября, 2015 Зачем к лору? Зачем наркоз?Убрать под инфильтацией и не парится 2 Ссылка на комментарий
kamranchick Опубликовано 28 октября, 2015 Автор Поделиться Опубликовано 28 октября, 2015 Зачем к лору? Зачем наркоз?Убрать под инфильтацией и не паритсяЗуб в пазухе находится, попытался вытащить пылесосом не получилось, катается туда сюда, а обзора из-за 7 го зуба ничего не видно. из наклона, возможно просто опыта мало в таких ретенциях. Ссылка на комментарий
kladoffka Опубликовано 28 октября, 2015 Поделиться Опубликовано 28 октября, 2015 Все равно не понял зачем лор? Если сами не можете, то тогда уж в члх . Ссылка на комментарий
Рекомендуемые сообщения
Для публикации сообщений создайте учётную запись или авторизуйтесь
Вы должны быть пользователем, чтобы оставить комментарий
Создать аккаунт
Зарегистрируйте новый аккаунт в нашем сообществе. Это очень просто!
Регистрация нового пользователяВойти
Уже есть аккаунт? Войти в систему.
Войти