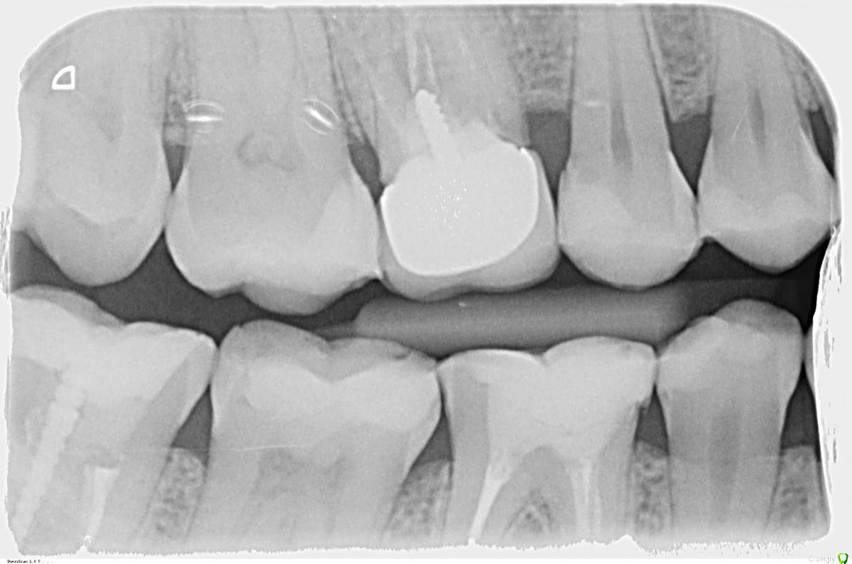
СветланаАндревна Опубликовано 26 октября, 2015 Поделиться Опубликовано 26 октября, 2015 (изменено) Здравствуйте! Сейчас нахожусь не в России, Великобритания.Кратко так. Речь о шестерке сверху справа. Где-то в 2000г депульпировали зуб, в 2005 поставили штифт и на нем слепили что-то похожее на зуб (по высоте был меньше, чем зубной ряд), в 2010 поставили коронку. Но как-то неудачно, в 2011 воспалилась десна, ее разрезали, почистили (налет?!), зашили, вроде более менее стоял. Последний год что-то не так с десной было, то ли чесалась, то ли что, какой-то дискомфорт, но толково врачу объяснить не смогла. Попросила на всякий случай рентген, посмотреть, не гниет ли под коронкой. Врач отказал, обосновав тем, что пока не снимем коронку не увидим что там. А десна немного воспалена, из-за того, что прилегающие 5 и 7 на контакте кариозные. Кариес пролечили, и я уехала в Британию. Через неделю десна воспалилась, и вылез гнойник. Пошли к местному стоматологу. Выписали антибиотик (амоксициллин?! вроде). Пропив, чуть полегчало, еще полоскала фурацилином. Приобрели ирригатор, с дуру еще им промывать стала. Опять вылезли гнойники. Сегодня наконец удалось опять к стоматологу попасть, говорит,раз антибиотик не помог, значит надо удалять. Попросила сделать рентген. Его и прилагаю. Плюс фото десны с гнойником Можно ли спасти зуб? Или все? Планирую ехать в Россию, попытаться спасти зуб, если это возможно. Сколько времени это может занять? пысы. Ситуация осложнена тем, что у меня ребенок маленький, придется оставить его папе на время поездки, а у него отпуск не резиновый. С собой брать не вариант, и дороже обойдется, и оставлять его в России некому пока я на прием к врачу ходить буду.. Изменено 26 октября, 2015 пользователем СветланаАндревна Ссылка на комментарий
krokomot Опубликовано 26 октября, 2015 Поделиться Опубликовано 26 октября, 2015 похоже на перфорацию корня, надо смотреть очно Ссылка на комментарий
DmitrySH Опубликовано 26 октября, 2015 Поделиться Опубликовано 26 октября, 2015 Скорее всего все решаемо. Но в таком авральном режиме, когда пациент приехал, но скоро уезжать обратно. Очень сложно заниматься лечением. Ссылка на комментарий
СветланаАндревна Опубликовано 26 октября, 2015 Автор Поделиться Опубликовано 26 октября, 2015 похоже на перфорацию корня, надо смотреть очноСпасибо, за ответ.Это значит, проще удалить За три недели не вылечить... Ссылка на комментарий
СветланаАндревна Опубликовано 26 октября, 2015 Автор Поделиться Опубликовано 26 октября, 2015 Скорее всего все решаемо. Но в таком авральном режиме, когда пациент приехал, но скоро уезжать обратно. Очень сложно заниматься лечением.Спасибо.У меня будет три недели. Мало? К какому специалисту то записаться? К хирургу? Ссылка на комментарий
СветланаАндревна Опубликовано 26 октября, 2015 Автор Поделиться Опубликовано 26 октября, 2015 Так дело не в десне? Из-за корня? Местный врач обмолвился, что может направить к ортодонту, он каналы перепломбирует, возможно, это может помочь. Но что-то отзывы о местных стоматологах в целом не вызывают доверия, к этому прибавить стоимость, и мысль о лечении на месте меня в уныние приводит. Ссылка на комментарий
DmitrySH Опубликовано 26 октября, 2015 Поделиться Опубликовано 26 октября, 2015 К эндодонтисту.Снять коронку, достать штифт, оценить состояние дна полости зуба, если все ок, то ревизия каналов. Дождаться закрытия "свища" и все в обратном порядке.А вот если выявятся проблемы с разрушением самого зуба ( что можно предположить по локализации очага воспаления) тогда уже по ситуации. 3 Ссылка на комментарий
СветланаАндревна Опубликовано 27 октября, 2015 Автор Поделиться Опубликовано 27 октября, 2015 К эндодонтисту.Снять коронку, достать штифт, оценить состояние дна полости зуба, если все ок, то ревизия каналов. Дождаться закрытия "свища" и все в обратном порядке.А вот если выявятся проблемы с разрушением самого зуба ( что можно предположить по локализации очага воспаления) тогда уже по ситуации.спасибо. Буду тогда искать врача на месте. Я так понимаю, никто заочно не угадает (да и очно тоже), как скоро свищ закроется. Вопрос тогда еще такой, надеюсь, что все обойдется, но все же. Если вырвут таки зуб, чтоб свищ зажил, воспаление ушло, нужно лечение какое-то? Или антибиотики и все лечение? Ссылка на комментарий
shishok Опубликовано 27 октября, 2015 Поделиться Опубликовано 27 октября, 2015 После удаления-максимум это антибиотики,а иногда и без них всё проходит. Ссылка на комментарий
СветланаАндревна Опубликовано 27 октября, 2015 Автор Поделиться Опубликовано 27 октября, 2015 Благодарю за ответПосле удаления-максимум это антибиотики,а иногда и без них всё проходит. Ссылка на комментарий
СветланаАндревна Опубликовано 29 октября, 2015 Автор Поделиться Опубликовано 29 октября, 2015 Никто в Питере не хочет взяться за этот зуб? Приезжаю на месяца 2. Надеюсь хватит этого времени... 1 Ссылка на комментарий
СветланаАндревна Опубликовано 7 ноября, 2015 Автор Поделиться Опубликовано 7 ноября, 2015 Здравствуйте.Сходила я на консультацию к двум стомотологам в Питере.Первый врач сказал предворительно(еще не видел еще томографию), что если лечить, то минимум полгода. То есть раз в месяц придется приезжать менять лекарство в корнях. Но его совет, не мучаться, а удалить и ставить имплант. Второй сразу сказал, удалять, не посмотрев снимки. Аргументируя тем, что раз свищ, то и киста должно быть большая, и воспалению не год, а лет 8, и мороки с зубом будет много, а вот получиться спасти зуб, под большим вопросом. Кстати сказать, первый врач эндодонт, второй - ортопед.оВопрос, что реально это полгода лечить зуб? Врач сказал, что свищ то быстро затянется, а воспление не скоро пройдет. И ортопед говорит, что хирург будет вырывать зуб, а потом чистить еще. Мне казалось, просто выдрать достаточно будет... Ссылка на комментарий
x3m Опубликовано 7 ноября, 2015 Поделиться Опубликовано 7 ноября, 2015 ищите третьего стоматолога Полгода в каналах лечить нечего.Как Вам и отвечали, надо снять коронку, весь композит, извлечь штифт и оценить объем оставшихся тканей зуба, целостность дна (область зуба между каналами), отсутствие перфорации/трещины. Итого, вскрытие покажет:1. Зуб лечибелен (есть запас тканей, дно зуба целое, перфорации и трещины нет) - нашли все 4 канала, их перепломбировали, установили ВКВ и коронку. За недели 2 (+ / -) управитесь.2. Зуб нелечибелен (кариес глубоко под десной, трещина/перфорация, разрушено дно, невозможно перелечить каналы)- удалили и через 1-1,5 мес (если не сразу) установили имплантат. П.С. Что там чистить будут, кода "выдерут" - неважно, главное - чтоб чисто 3 Ссылка на комментарий
DmitrySH Опубликовано 7 ноября, 2015 Поделиться Опубликовано 7 ноября, 2015 За 2 недели, с коронкой, может и нет. Тут очень много факторов. Но в остальном полностью поддерживаю. Ссылка на комментарий
СветланаАндревна Опубликовано 8 ноября, 2015 Автор Поделиться Опубликовано 8 ноября, 2015 Спасибо за ответы. Честно говоря, я уже на удаление настроилась. Теперь опять в поиске стоматолога.Забыла добавить. На томографии ортопед увидел гранулему зуба и кисту(откуда этот свищ и идет). Но я так понимаю, на "план по вскрытию" от x3m это никак не влияет. Ссылка на комментарий
Shaid Опубликовано 9 ноября, 2015 Поделиться Опубликовано 9 ноября, 2015 Гранулема/киста заживает при адекватном лечении(благоприятный прогноз ~70% по литературе и исследованиям) Ссылка на комментарий
СветланаАндревна Опубликовано 9 ноября, 2015 Автор Поделиться Опубликовано 9 ноября, 2015 Гранулема/киста заживает при адекватном лечении(благоприятный прогноз ~70% по литературе и исследованиям)Спасибо за ответ. Ссылка на комментарий
red_butler Опубликовано 12 ноября, 2015 Поделиться Опубликовано 12 ноября, 2015 Здравствуйте. Сходила я на консультацию к двум стомотологам в Питере. Успели что то сделать? Ссылка на комментарий
СветланаАндревна Опубликовано 18 ноября, 2015 Автор Поделиться Опубликовано 18 ноября, 2015 Успели что то сделать? Да. Удалила таки вчера... Теперь меня на 1 зуб меньше.Нашла таки двух еще врачей ( один из них с форума по томографии проконсультировал), они готовы были порассматривать зуб под микроскопом, но киста между корнями, которую видно на томограмме, и это все 4 врача + вчерашний хирург, говорят, скоре всего перфорация. Не стала я тратить деньги и время на этот зуб, ибо по томограмме воспалены еще 2 зуба с другой стороны. Буду их лечить. А в место этого имплант через полгода. Думаю, можно закрыть тему. Всем откликнувшимся, большое спасибо. Ссылка на комментарий
Рекомендуемые сообщения