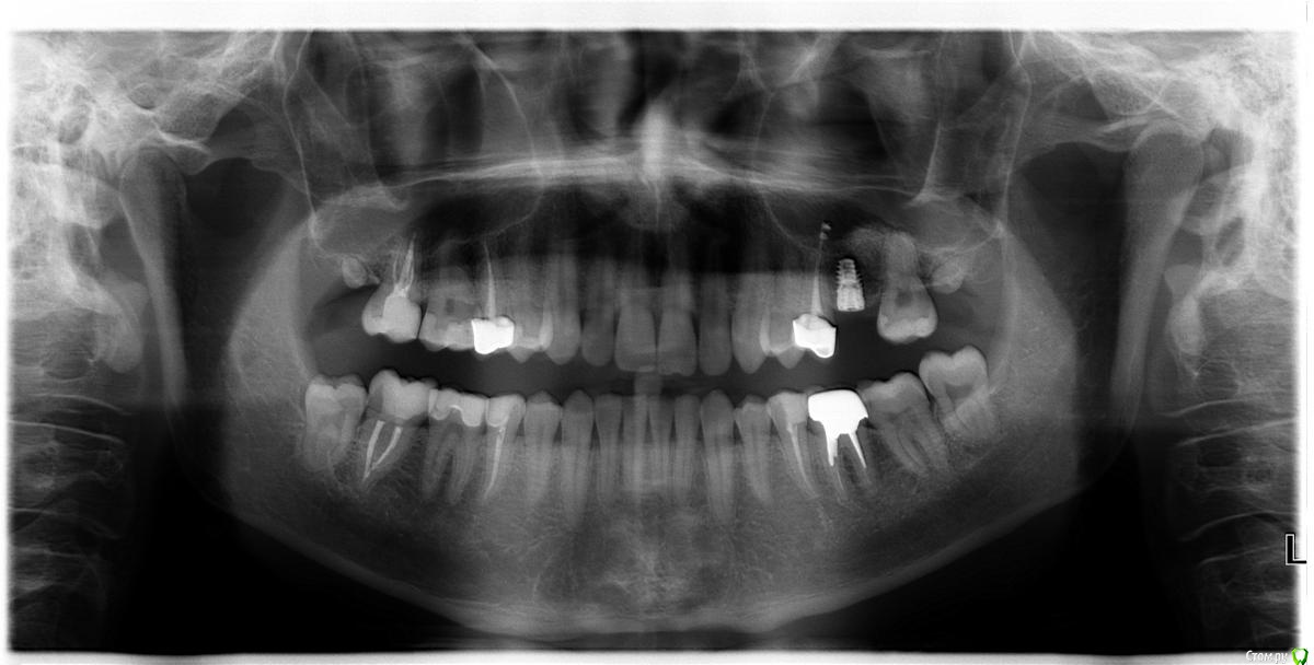
Rusty Опубликовано 26 октября, 2015 Поделиться Опубликовано 26 октября, 2015 Добрый вечер. Коллеги, подскажите что за винт. Устанавливался 1,5 года назад в Москве, бюджет около 35т.р. Ссылка на комментарий
kladoffka Опубликовано 27 октября, 2015 Поделиться Опубликовано 27 октября, 2015 Имхо, копать в сторону Израиля. Ссылка на комментарий
TemTeam Опубликовано 27 октября, 2015 Поделиться Опубликовано 27 октября, 2015 Имхо, копать в сторону Израиля.согласен! похоже на Израиль Ссылка на комментарий
zzkz Опубликовано 27 октября, 2015 Поделиться Опубликовано 27 октября, 2015 очень похоже на израиль либо 4.2, либо с широкой платформой 5.0 Ссылка на комментарий
Рекомендуемые сообщения
Для публикации сообщений создайте учётную запись или авторизуйтесь
Вы должны быть пользователем, чтобы оставить комментарий
Создать аккаунт
Зарегистрируйте новый аккаунт в нашем сообществе. Это очень просто!
Регистрация нового пользователяВойти
Уже есть аккаунт? Войти в систему.
Войти