Doc Опубликовано 25 октября, 2015 Автор Поделиться Опубликовано 25 октября, 2015 ну явно ведь 21 с композитом на вестибулярке!А 11 красавчик! Девушка довольна?Да она какая-то ушла в шоке, даже спасибо не сказала. Правда через 3-4 недели приходила на контроль очень даже довольная. 1 Ссылка на комментарий
Доктор Хаус Опубликовано 25 октября, 2015 Поделиться Опубликовано 25 октября, 2015 А что за каппа такая ? Она с каппой кушала? Ссылка на комментарий
Doc Опубликовано 25 октября, 2015 Автор Поделиться Опубликовано 25 октября, 2015 А что за каппа такая ? Она с каппой кушала?Да, она круглосуточного ношения. В вакуумформере делается за 5 минут, внутрь вставляется зуб нужно формы-размера с правильной формой шейки для формирования десны. После каждого приема пищи - вынимать, тщательно мыть, потом обратно вставлять. Для прикола можно посоветовать реминерализацией позаниматься, раз все равно каппу носит. 2 Ссылка на комментарий
Doc Опубликовано 25 октября, 2015 Автор Поделиться Опубликовано 25 октября, 2015 Вот, если кто не видел. Через полгода после начала ношения выглядит очень даже неплохо. 1 Ссылка на комментарий
руслан64 Опубликовано 26 октября, 2015 Поделиться Опубликовано 26 октября, 2015 Эмиль Гургенович, с каппой - это здорово! Надо внедрить, что-то раньше не встречал и сам не додумался,Подскажите "нужный" сегмент НЕ на приточке? Каппа на пару мм перекрывает зенит в обл. удаленного? На каком уровне спиливают удаляемый зуб на гипсе? Ссылка на комментарий
CRAZYDUCK Опубликовано 26 октября, 2015 Поделиться Опубликовано 26 октября, 2015 Эмиль Гургенович, а каппа жесткая , мягкая и толщина какая ( или в данной ситуации это не важно)? Спасибо! Ссылка на комментарий
Evikrol Опубликовано 26 октября, 2015 Поделиться Опубликовано 26 октября, 2015 И сколько зубов должна покрывать. А то я тоже вёл на каппе и через 4 месяца когда каппу сняли прикус изменился, появилась дизоклюзия во фронте, каппа с 15 по 25 Ссылка на комментарий
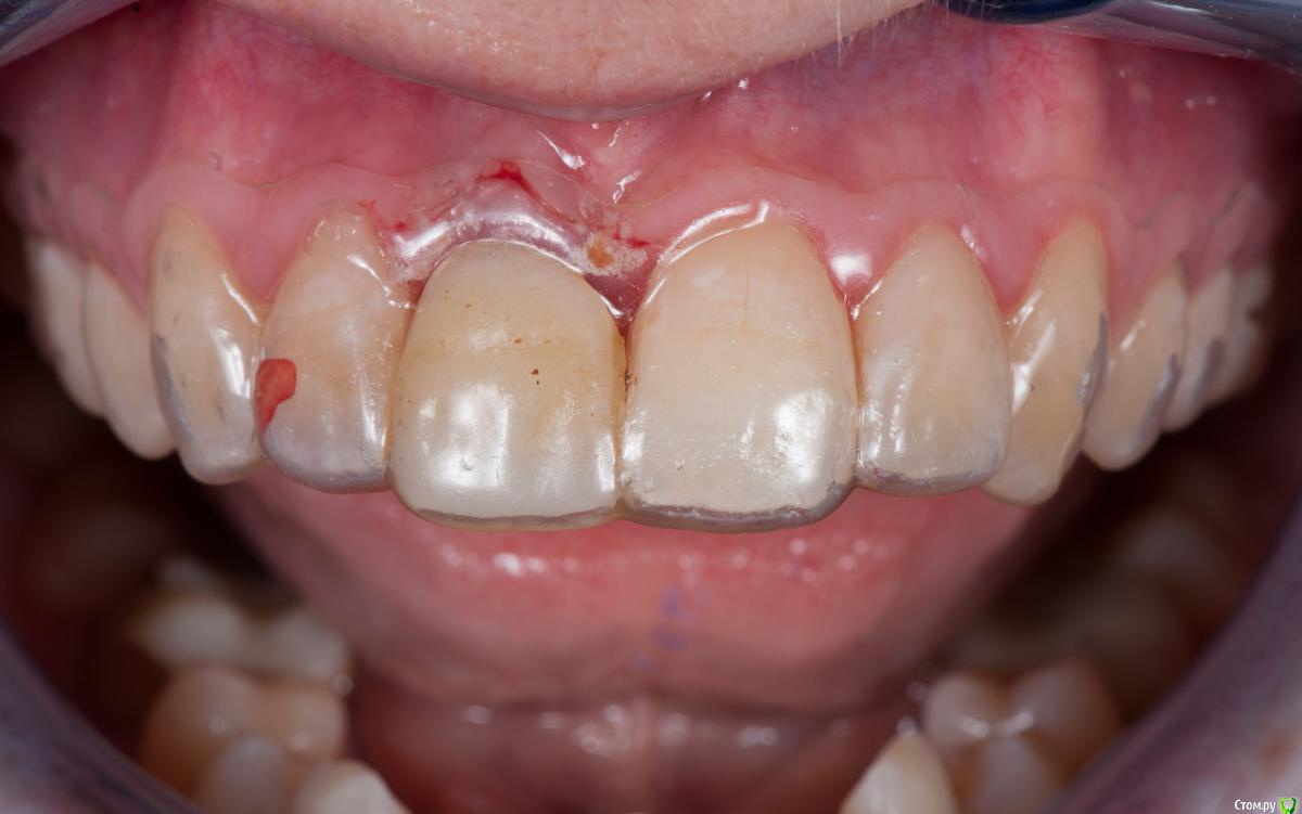
Doc Опубликовано 26 октября, 2015 Автор Поделиться Опубликовано 26 октября, 2015 Эмиль Гургенович, с каппой - это здорово! Надо внедрить, что-то раньше не встречал и сам не додумался,Подскажите "нужный" сегмент НЕ на приточке? Каппа на пару мм перекрывает зенит в обл. удаленного? На каком уровне спиливают удаляемый зуб на гипсе?Нужный сегмент должен создавать нужную форму десны, следовательно он ни в коем случае не на приточке. Там все очень индивидуально и зависит от конкретной ситуации. На фотографии видно края каппы, если присмотреться, да перекрывает. Удаляемый зуб обычно спиливается на один миллиметр ниже уровня десны, но в таких случаях это не имеет значения, т.к. тут пластика, а не просто удаление и форма гребня после удаления почти всегда индивидуальна и требует индивидуализации шейки искусственного зуба. Ссылка на комментарий
Doc Опубликовано 26 октября, 2015 Автор Поделиться Опубликовано 26 октября, 2015 Эмиль Гургенович, а каппа жесткая , мягкая и толщина какая ( или в данной ситуации это не важно)?Спасибо!В данном случае была жесткая, 0,75, кажется, или 1 мм. Но можно и мягкую. Толщина и мягкость зависят от сроков, на результат особо не влияют. На тонкой каппе уже через 2-3 месяца в области контактов дырки будут. 1 Ссылка на комментарий
Doc Опубликовано 26 октября, 2015 Автор Поделиться Опубликовано 26 октября, 2015 И сколько зубов должна покрывать. А то я тоже вёл на каппе и через 4 месяца когда каппу сняли прикус изменился, появилась дизоклюзия во фронте, каппа с 15 по 25Каппа покрывает весь зубной ряд, тогда не будет изменений в прикусе. Ссылка на комментарий
zubovolok Опубликовано 26 октября, 2015 Поделиться Опубликовано 26 октября, 2015 Каппа покрывает весь зубной ряд, тогда не будет изменений в прикусе. а зуб то как там появляется? Пластмасса заливается и отжимается? 1 Ссылка на комментарий
Evikrol Опубликовано 26 октября, 2015 Поделиться Опубликовано 26 октября, 2015 Можно гарнитурный зуб вставить, а можно и просто жидким композитом залить и овоид сформировать. 1 Ссылка на комментарий
Bobby Опубликовано 26 октября, 2015 Поделиться Опубликовано 26 октября, 2015 Отлично! 1 Ссылка на комментарий
zubovolok Опубликовано 27 октября, 2015 Поделиться Опубликовано 27 октября, 2015 Можно гарнитурный зуб вставить, а можно и просто жидким композитом залить и овоид сформировать.спасибо Ссылка на комментарий
Doc Опубликовано 27 октября, 2015 Автор Поделиться Опубликовано 27 октября, 2015 а зуб то как там появляется? Пластмасса заливается и отжимается?Обычно гарнитурный вставляется, потом пластмассой обжимается, а шейка уже в кресле жидкотекучим формируется.А вот тот временный на импланте, с которого тема началась, сделан из композита. Ссылка на комментарий
руслан64 Опубликовано 27 октября, 2015 Поделиться Опубликовано 27 октября, 2015 Зуб получается съё...)), т.е, вытаскиваемым из каппы? чтоб сформировать контур, или прямо в каппе? Как клеится ж/т композит к акрилу, норм? Ссылка на комментарий
Doc Опубликовано 27 октября, 2015 Автор Поделиться Опубликовано 27 октября, 2015 Зуб получается съё...)), т.е, вытаскиваемым из каппы? чтоб сформировать контур, или прямо в каппе? Как клеится ж/т композит к акрилу, норм?Нормально. Если плохо держится, то делаете дырки-полоски, пропилы, будет насмерть стоять. Там же никакой нагрузки нет. Еще и отполировать можно вынуть и вставить на место. 1 Ссылка на комментарий
Evikrol Опубликовано 27 октября, 2015 Поделиться Опубликовано 27 октября, 2015 Пациент как то потерял этот самый гарнитурный зуб из каппы Ссылка на комментарий
Ibulat_1986 Опубликовано 30 октября, 2015 Поделиться Опубликовано 30 октября, 2015 замечательно. еще один вариант это временная коронка на ортодонтической дуге, клеящаяся адгезивно с небной стороны на несколько зубов с разных сторон Ссылка на комментарий
Doc Опубликовано 30 октября, 2015 Автор Поделиться Опубликовано 30 октября, 2015 замечательно. еще один вариант это временная коронка на ортодонтической дуге, клеящаяся адгезивно с небной стороны на несколько зубов с разных сторонНу, это старый вариант, но он имеет ряд недостатков. Во-первых, его можно применить только у пациентов, у которых стоят брекеты (не будешь же из-за одной времянки все зубы ему замками обклеивать!), во-вторых, эта коронка на дуге крепится очень нестабильно, все время норовит не только сдвинуться, но и прокрутиться вокруг дуги. Лет десять назад один раз попробовал, все проклял и забыл этот метод! Не наше оно! 1 Ссылка на комментарий
alekszander Опубликовано 30 октября, 2015 Поделиться Опубликовано 30 октября, 2015 Ну, это старый вариант, но он имеет ряд недостатков. Во-первых, его можно применить только у пациентов, у которых стоят брекеты (не будешь же из-за одной времянки все зубы ему замками обклеивать!), во-вторых, эта коронка на дуге крепится очень нестабильно, все время норовит не только сдвинуться, но и прокрутиться вокруг дуги. Лет десять назад один раз попробовал, все проклял и забыл этот метод! Не наше оно! Делал раз пять на брекетах, из них три удачно. По поводу каппы, нахлест 1.5-2 мм специально сделан? просто на жесткой каппе не будет ли травмировать слизистую? Делал так пока один раз на мягкой: до удаления слепок, техник сделал каппу, удалил, внутрь с небной стороны два зацепа, композит прямым методом, коррекция по десне.Из нюансов: каппа мягкая, вровень с шейками(-0.1 тире 0.3 мм). Носить только по эстетическим показаниям (ночью отдыхала))) В помощь была паста космонавтов))) Ссылка на комментарий
Evikrol Опубликовано 30 октября, 2015 Поделиться Опубликовано 30 октября, 2015 Паста космонавтов? Ссылка на комментарий
alekszander Опубликовано 31 октября, 2015 Поделиться Опубликовано 31 октября, 2015 Паста космонавтов?. Без рекламы - remars. Ссылка на комментарий
Doc Опубликовано 31 октября, 2015 Автор Поделиться Опубликовано 31 октября, 2015 Делал раз пять на брекетах, из них три удачно. По поводу каппы, нахлест 1.5-2 мм специально сделан? просто на жесткой каппе не будет ли травмировать слизистую? Делал так пока один раз на мягкой: до удаления слепок, техник сделал каппу, удалил, внутрь с небной стороны два зацепа, композит прямым методом, коррекция по десне.Из нюансов: каппа мягкая, вровень с шейками(-0.1 тире 0.3 мм). Носить только по эстетическим показаниям (ночью отдыхала))) В помощь была паста космонавтов)))Возможно у Вас были другие задачи, а когда нужно получить идеальный овоид в переднем отделе, любые подвижные конструкции не катят. Даже каппа для меня подвижна, но тут не было другого выхода. Нахлест сделан специально, именно чтобы не травмировала шейку. За полгода ношения ни одной жалобы не поступило. Ссылка на комментарий
DoctorT Опубликовано 4 ноября, 2015 Поделиться Опубликовано 4 ноября, 2015 Каппа покрывает весь зубной ряд, тогда не будет изменений в прикусе. Уважаемый Doc, я немного не понял, ведь при дезоклюзии на 0,75 в боковых отделах в переднем мы получим около 1 - 1,25, тк челюсть смыкается не линейно, если я не прав - поправьте. Если прав - то не получим ли мы через 3-5 мес проблему с прикусом. И как решить этот вопрос. Ссылка на комментарий
Рекомендуемые сообщения
Для публикации сообщений создайте учётную запись или авторизуйтесь
Вы должны быть пользователем, чтобы оставить комментарий
Создать аккаунт
Зарегистрируйте новый аккаунт в нашем сообществе. Это очень просто!
Регистрация нового пользователяВойти
Уже есть аккаунт? Войти в систему.
Войти