Doc Опубликовано 25 октября, 2015 Поделиться Опубликовано 25 октября, 2015 Собсно сабж. 4 Ссылка на комментарий
Doc Опубликовано 25 октября, 2015 Автор Поделиться Опубликовано 25 октября, 2015 Что, никто не хочет поиграть в угадайку?Не на деньги же! Ссылка на комментарий
carloss Опубликовано 25 октября, 2015 Поделиться Опубликовано 25 октября, 2015 а вопрос какой.. я хочу на $$)) Ссылка на комментарий
chervoncevdaniil Опубликовано 25 октября, 2015 Поделиться Опубликовано 25 октября, 2015 Угадываем где коронка или что? Ссылка на комментарий
Doc Опубликовано 25 октября, 2015 Автор Поделиться Опубликовано 25 октября, 2015 а вопрос какой.. я хочу на $$))На деньги у Вас с Биром год назад была заруба, до сих пор не выяснили кто кому должен. Так что я на интерес )) Ссылка на комментарий
Doc Опубликовано 25 октября, 2015 Автор Поделиться Опубликовано 25 октября, 2015 Угадываем где коронка или что? Ну хотя бы. Ссылка на комментарий
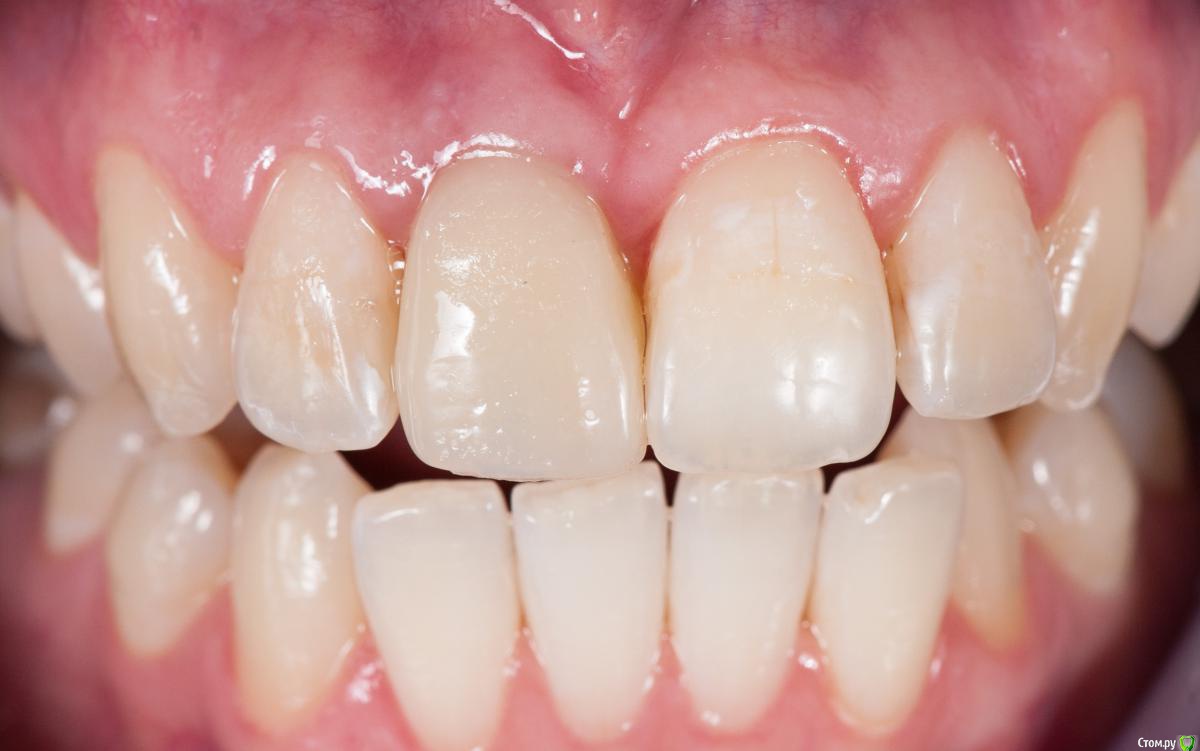
chervoncevdaniil Опубликовано 25 октября, 2015 Поделиться Опубликовано 25 октября, 2015 Сложно Ну я бы на 21 поставил,emax коронка.В любом случае работа супер Ссылка на комментарий
chervoncevdaniil Опубликовано 25 октября, 2015 Поделиться Опубликовано 25 октября, 2015 Это на 105 Nikkor макрообъектив фото сделано? Ссылка на комментарий
Гарриевич Опубликовано 25 октября, 2015 Поделиться Опубликовано 25 октября, 2015 (изменено) за послденее время я такого нагляделся, что предположу тут сьемника чО, не на деньги же)) хотя пузырьки между 11 и 12 говорят что я не прав Изменено 25 октября, 2015 пользователем Гарриевич 3 Ссылка на комментарий
Большой Зеленый Опубликовано 25 октября, 2015 Поделиться Опубликовано 25 октября, 2015 Рискну предположить что была травма .11 поменяли на имплант с Емах .21 просто отреставрировали композитом потому что отломился наполовину. 3 Ссылка на комментарий
M@estro Опубликовано 25 октября, 2015 Поделиться Опубликовано 25 октября, 2015 на 100 % согласен с Зелёным, такой же вариант. Специально ответы не читал, подумал. Рубцы видно в области 1.1 Ссылка на комментарий
carloss Опубликовано 25 октября, 2015 Поделиться Опубликовано 25 октября, 2015 (изменено) 11 имлантат... полоска керат десны другая Изменено 25 октября, 2015 пользователем carloss 2 Ссылка на комментарий
M@estro Опубликовано 25 октября, 2015 Поделиться Опубликовано 25 октября, 2015 P.s. хорошая работа!! Ссылка на комментарий
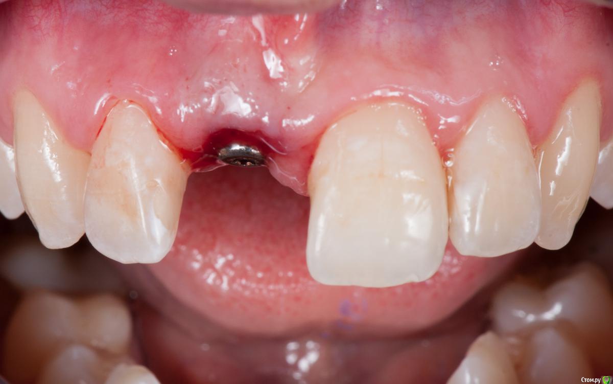
Doc Опубликовано 25 октября, 2015 Автор Поделиться Опубликовано 25 октября, 2015 Блин, даже неудобно как-то и говорить, что тут банальная времянка на имплант 11, поставленный 30 апреля 2015 года. )) Ну просто удачная вроде времянка-то получилась. )) Ссылка на комментарий
Doc Опубликовано 25 октября, 2015 Автор Поделиться Опубликовано 25 октября, 2015 Это на 105 Nikkor макрообъектив фото сделано?Да, на него самого. Никон D700. Настройки давать? Ссылка на комментарий
Большой Зеленый Опубликовано 25 октября, 2015 Поделиться Опубликовано 25 октября, 2015 Удачная времянка. Можно оставить в качестве постоянной..)) Ссылка на комментарий
Doc Опубликовано 25 октября, 2015 Автор Поделиться Опубликовано 25 октября, 2015 Рискну предположить что была травма .11 поменяли на имплант с Емах .21 просто отреставрировали композитом потому что отломился наполовину.Не, не травма. Гораздо хуже. Со школьных времен лечили зуб, залечили насмерть. Там итак девушка весом килограммов 40, тонкий биотип сказать - это будет комплимент. Так еще и свищами вся передняя стенка ушла напрочь. Кости там просто не было. Пришлось ставить имплантат без нагрузки, кроить-добавлять-резать-шить, ждали 5 месяцев, потом раскрытие, потом времянка и вот теперь вот так оно выглядит. А чо, неплохо для исходной ситуации. Ссылка на комментарий
Doc Опубликовано 25 октября, 2015 Автор Поделиться Опубликовано 25 октября, 2015 Доказательства, что времянка и что на импланте. Ссылка на комментарий
Большой Зеленый Опубликовано 25 октября, 2015 Поделиться Опубликовано 25 октября, 2015 Ну на 21 то реставрация Ссылка на комментарий
Doc Опубликовано 25 октября, 2015 Автор Поделиться Опубликовано 25 октября, 2015 Ну на 21 то реставрация Не, свой интактный. Я тут не при чем. Ссылка на комментарий
Bier Опубликовано 25 октября, 2015 Поделиться Опубликовано 25 октября, 2015 Хирург Дима Амириди? Ссылка на комментарий
Doc Опубликовано 25 октября, 2015 Автор Поделиться Опубликовано 25 октября, 2015 за послденее время я такого нагляделся, что предположу тут сьемника чО, не на деньги же)) хотя пузырьки между 11 и 12 говорят что я не прав Ассистенты у меня два новых, никак не научу дуть, чтобы пузырьков не было. Не видят ничего. Ссылка на комментарий
Doc Опубликовано 25 октября, 2015 Автор Поделиться Опубликовано 25 октября, 2015 Хирург Дима Амириди? Да, он самый. Техник Дима Малания. Ссылка на комментарий
Zlata-doctor Опубликовано 25 октября, 2015 Поделиться Опубликовано 25 октября, 2015 ну явно ведь 21 с композитом на вестибулярке!А 11 красавчик! Девушка довольна? Ссылка на комментарий
Doc Опубликовано 25 октября, 2015 Автор Поделиться Опубликовано 25 октября, 2015 Вот с такой каппой она ходила пять месяцев, чтобы съемник не делать и весь фарш не погубить. Ну а потом раскрылись И вот теперь вот такая ходит. Дальше коронка ASC и все. 8 Ссылка на комментарий
Рекомендуемые сообщения
Для публикации сообщений создайте учётную запись или авторизуйтесь
Вы должны быть пользователем, чтобы оставить комментарий
Создать аккаунт
Зарегистрируйте новый аккаунт в нашем сообществе. Это очень просто!
Регистрация нового пользователяВойти
Уже есть аккаунт? Войти в систему.
Войти