Dr. Khurtsilava Опубликовано 25 октября, 2015 Поделиться Опубликовано 25 октября, 2015 Пациентка обратилась в клинику с жалобами на отсутствие коронки на имплантате 15 в течение года (ставила в другой клинике, клиника закрылась, «голый» Nobel CC остался во рту); наличие дефекта с щечной стороны.Объективно, с щечной стороны обнаруживается дефект альвеолярного гребня в/ч в области имплантата 15 в вестибулярно-язычном направлении; отсутствие коронки на имплантате 15.Манипуляции:1 – забор ССТ с неба конвертной методикой по Зуккелли (спасибо «Доктуру» за это).2 – ушивание непрерывным замыкающим швом Prolene 5-0; лоскут обезжирен – отдыхает в физ. р-ре.3 – в области имплантата внитрибороздковый разрез, ослоение, мобилизация лоскута, деэпителизация сосочков, установка Формирователя Десны, подшивание ССТ, фиксация, ушивание лоскута в области сосочков двойным петлевым швом Prolene 5-0.Рекомендации: гигиена полости рта, мягкая зубная щетка CuraProx 5460, полоскание Curasept 0,2%, солкосерил дентальная адгезивная паста в донорской зоне и зоне реципиента, найз 2т 2р/д утром и вечером 4 дня.На 7 сутки снятие швов, соблюдение рекомендаций.Пациентка по семейным обстоятельствам пропала на пол года, явилась вчера на продолжение лечения.Вот такой вот приятный десневой рекол с врем коронкой) 10 Ссылка на комментарий
АнтонТЛТ Опубликовано 25 октября, 2015 Поделиться Опубликовано 25 октября, 2015 А рентген будет? Ссылка на комментарий
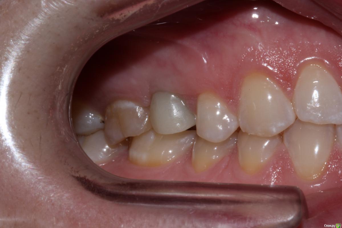
syrovovec Опубликовано 26 октября, 2015 Поделиться Опубликовано 26 октября, 2015 Немного вестибулярно, нет?и сст можно и одним швом фиксировать Ссылка на комментарий
Ст@ся Опубликовано 26 октября, 2015 Поделиться Опубликовано 26 октября, 2015 почему забор с неба?зачем солкосерил? 1 Ссылка на комментарий
OLG Опубликовано 26 октября, 2015 Поделиться Опубликовано 26 октября, 2015 почему забор с неба?зачем солкосерил?забор сст осуществлён в зоне постановки ФДМ под одной анестезией. сделано очень аккуратно. солкосерил для улучшения заживления используется как повязка. я люблю диплен-С поставить в зону забора.плюс пациенты могут пользоваться дома пастой солкосерил. она так приятно облепляет ранку и снимает неприятные очучения.. Ссылка на комментарий
diesel87 Опубликовано 26 октября, 2015 Поделиться Опубликовано 26 октября, 2015 забор сст осуществлён в зоне постановки ФДМ под одной анестезией. сделано очень аккуратно. солкосерил для улучшения заживления используется как повязка. я люблю диплен-С поставить в зону забора.плюс пациенты могут пользоваться дома пастой солкосерил. она так приятно облепляет ранку и снимает неприятные очучения..На сколько знаю солкосерил лучше с 4-5 дня пользовать Ссылка на комментарий
OLG Опубликовано 26 октября, 2015 Поделиться Опубликовано 26 октября, 2015 На сколько знаю солкосерил лучше с 4-5 дня пользоватьне путаете с кожными формами солкосерила для сухих ран?расскажите что Вы назначаете после десневых пластик. чем защищаете десну первые 4-5 дней местно? Ссылка на комментарий
diesel87 Опубликовано 26 октября, 2015 Поделиться Опубликовано 26 октября, 2015 не путаете с кожными формами солкосерила для сухих ран?расскажите что Вы назначаете после десневых пластик. чем защищаете десну первые 4-5 дней местно?Только ванночки/полоскания хг, мирамистин и все. Донорская зона, швы и каппа или просто швы. Ссылка на комментарий
kladoffka Опубликовано 27 октября, 2015 Поделиться Опубликовано 27 октября, 2015 Я вообще донорскую зону ушиваю по возможности и все. Ну и мирамистин/хг в виде ванночек. Не заметил смысла в солкесериле никакого. Что с ним хорошо, что без него. Ссылка на комментарий
zzkz Опубликовано 27 октября, 2015 Поделиться Опубликовано 27 октября, 2015 иногда вообще без швов просто каппой на 4-5 дней все хорошо бывает 2 Ссылка на комментарий
syrovovec Опубликовано 27 октября, 2015 Поделиться Опубликовано 27 октября, 2015 Ни разу не делал каппу, хг обычно и все, нпвс еще Ссылка на комментарий
Dr.Sham Опубликовано 1 ноября, 2015 Поделиться Опубликовано 1 ноября, 2015 (изменено) почему забор с неба?1 вариант: видел на форуме2 вариант: чтобы с жирком3 вариант: не знаю=1 вариант зачем солкосерил?для дегидратации и увеличения шансов некротизации PS простите за флуд, не удержался после комментов-ответов на вопросы Изменено 1 ноября, 2015 пользователем Dr.Sham 3 Ссылка на комментарий
Ст@ся Опубликовано 1 ноября, 2015 Поделиться Опубликовано 1 ноября, 2015 1 вариант: видел на форуме2 вариант: чтобы с жирком3 вариант: не знаю=1 вариант для дегидратации и увеличения шансов некротизации PS простите за флуд, не удержался после комментов-ответов на вопросы Плюсую!Жирок особенно порадовал - "беременный" трансплантат (с) Зукелли 1 Ссылка на комментарий
Bier Опубликовано 1 ноября, 2015 Поделиться Опубликовано 1 ноября, 2015 Урбан берет с жиром трансплантат и не обрезает его. Тоже с результатами все ок 2 1 Ссылка на комментарий
carloss Опубликовано 1 ноября, 2015 Поделиться Опубликовано 1 ноября, 2015 (изменено) Урбан берет с жиром трансплантат и не обрезает его. Тоже с результатами все ок с жирком приживается лучше.. поскольку рыхло и быстрее кровоснабжается.. но, в отличии от богатой коллагеном, дает большую усадку.. ну всем вроде ясно.. да ну его.. неохота.. логика, как сказал Андрей, все равно тут лишняя)) Изменено 1 ноября, 2015 пользователем carloss 1 1 Ссылка на комментарий
Ст@ся Опубликовано 2 ноября, 2015 Поделиться Опубликовано 2 ноября, 2015 с жирком приживается лучше.. поскольку рыхло и быстрее кровоснабжается.. но, в отличии от богатой коллагеном, дает большую усадку.. ну всем вроде ясно.. да ну его.. неохота.. логика, как сказал Андрей, все равно тут лишняя)) Режьте с жирком - кто ж вам мешает-то? Всем же ясно - в очередной раз меня поддеть хочется? ))) Ссылка на комментарий
Ст@ся Опубликовано 2 ноября, 2015 Поделиться Опубликовано 2 ноября, 2015 Урбан берет с жиром трансплантат и не обрезает его. Тоже с результатами все окРежьте нёбо, пациент за "проленовый рот" будет благодарить))) 1 Ссылка на комментарий
carloss Опубликовано 2 ноября, 2015 Поделиться Опубликовано 2 ноября, 2015 Режьте с жирком - кто ж вам мешает-то? Всем же ясно - в очередной раз меня поддеть хочется? ))) Вы еще с крайнего(С) не оправились)) http://forum.stom.ru/topic/30616-vestibuliarnoe-polozhenie/ Это если только сильно заблуждаетесь.. стараюсь обходить ваш абсурдный узкотерминологический мирок стороной)) 1 1 Ссылка на комментарий
Ст@ся Опубликовано 2 ноября, 2015 Поделиться Опубликовано 2 ноября, 2015 Вы еще с крайнего(С) не оправились)) http://forum.stom.ru/topic/30616-vestibuliarnoe-polozhenie/ Это если только сильно заблуждаетесь.. стараюсь обходить ваш абсурдный узкотерминологический мирок стороной))Откуда вам известно, отчего я оправилась, а отчего нет? Или тоже слухи собирать горазды, как ваш коллега-модератор? Стараетесь обходить - обходите, не задерживайтесь ))) 1 Ссылка на комментарий
Bier Опубликовано 2 ноября, 2015 Поделиться Опубликовано 2 ноября, 2015 Режьте с жирком - кто ж вам мешает-то? Всем же ясно - в очередной раз меня поддеть хочется? ))) Настя, наш мир вращается вокруг Солнца, а не вокруг тебя. Чтобы не было недопонимания, поясню : если кто-то, что-то сказал, то это вовсе не потому, что в мире есть Настя, которая всем жить спокойно не дает, и ее надо поддеть. 3 Ссылка на комментарий
Ст@ся Опубликовано 3 ноября, 2015 Поделиться Опубликовано 3 ноября, 2015 Настя, наш мир вращается вокруг Солнца, а не вокруг тебя. Чтобы не было недопонимания, поясню : если кто-то, что-то сказал, то это вовсе не потому, что в мире есть Настя, которая всем жить спокойно не дает, и ее надо поддеть.Олег, ты буквально открыл мне глаза на происходящее!Оказывается, уже потертые сообщения - это просто художественный свист в виртуальное пространство, а не переход на личности. За сим оффтопик заканчиваю - мое мнение останется моим мнением, каким бы "абсурдным узкоспециализированным" оно не казалось великим специалистам мира сего. Ссылка на комментарий
carloss Опубликовано 3 ноября, 2015 Поделиться Опубликовано 3 ноября, 2015 Мое участие в этой ветке было продиктовано исключительно обостренным чувством справедливости и неспособностью пройти мимо наглой(по форме) и необоснованной(по сути) критике. Редактирование же искомого сообщения имело целью избежать технического разбора очередной вашей чуши. Поскольку "термины от звезд" дают вам индульгенцию от логики и аргументов, то "срач"(С) навряд ли как -то повлияет на ваше(в общем смысле, судя по лайкам) мнение. Простите что помешал. Если же у кого есть возражение по уместности термина чушь, использованного выше, прошу в новой ветке. Но желательно в закрытом и без "дам".. не в смысле валетов и карт)) Ссылка на комментарий
Ст@ся Опубликовано 3 ноября, 2015 Поделиться Опубликовано 3 ноября, 2015 Даже если после этого месседжа этот аккаунт будет забанен и удален с форума - идите лесом, "дорогой" товарищ. Флаг вам в руки и электричку навстречу (с) 1 1 Ссылка на комментарий
lonely_jack Опубликовано 3 ноября, 2015 Поделиться Опубликовано 3 ноября, 2015 (изменено) Стася, солнышко, мне, по вашим выложенным кейсам до Вас далеко, у Вас отличные результаты, тоже так хочу. Но на этом форуме, вы, по-моему просто хвалитесь, в отличии от остальных (которые не без этого...ну а как без этого?), которые, хотя бы на вопросы отвечают, что и как. Работы Ваши - красота, но толку от них никакого нам. Можете меня тоже лесом слать. Изменено 3 ноября, 2015 пользователем lonely_jack 6 Ссылка на комментарий
diesel87 Опубликовано 3 ноября, 2015 Поделиться Опубликовано 3 ноября, 2015 Модераторы, закрывайте тему уже! Ссылка на комментарий
Рекомендуемые сообщения
Для публикации сообщений создайте учётную запись или авторизуйтесь
Вы должны быть пользователем, чтобы оставить комментарий
Создать аккаунт
Зарегистрируйте новый аккаунт в нашем сообществе. Это очень просто!
Регистрация нового пользователяВойти
Уже есть аккаунт? Войти в систему.
Войти