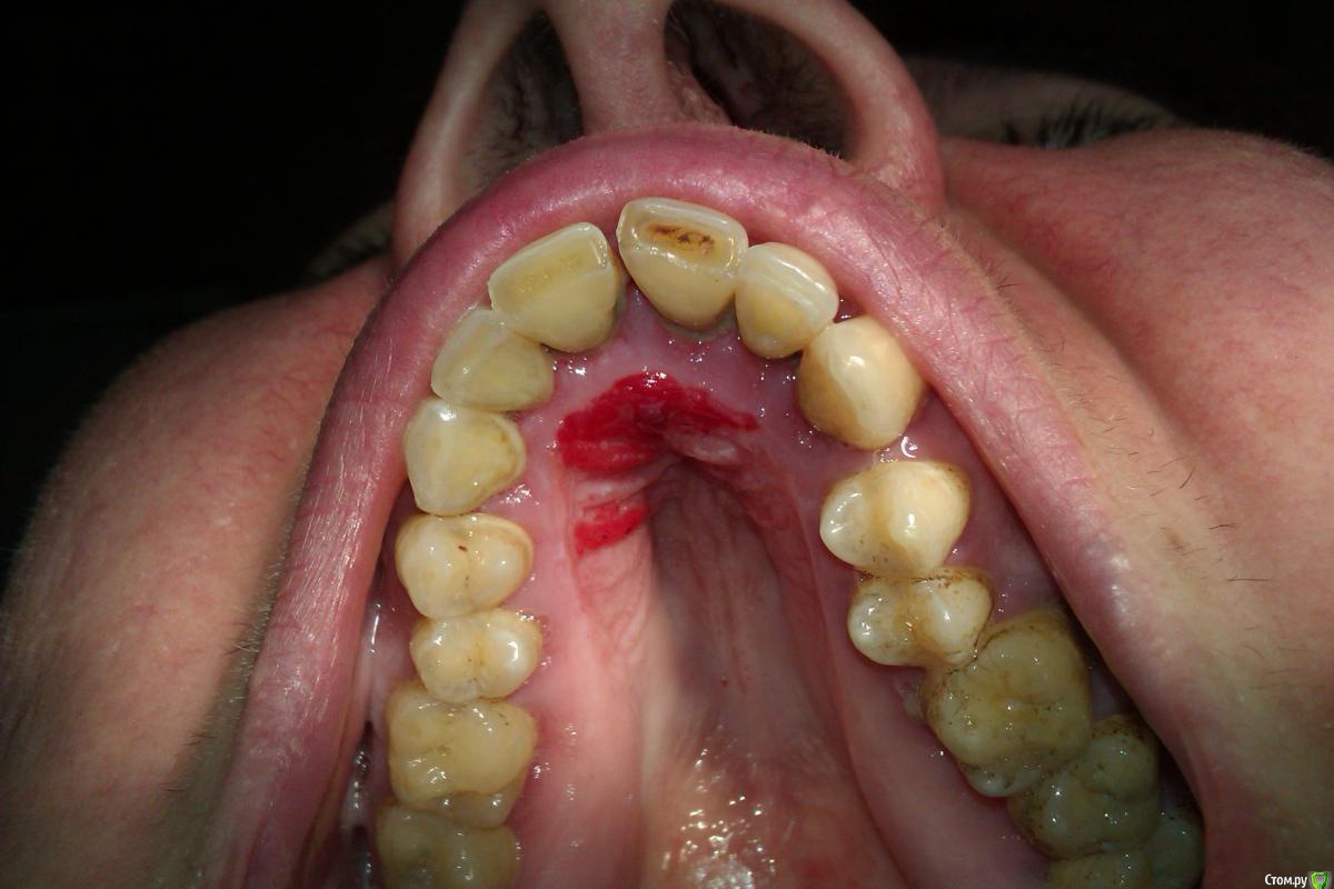
Iwan Опубликовано 25 октября, 2015 Поделиться Опубликовано 25 октября, 2015 Пациентке 50 лет. Никогда не обращала внимание на это образование. При пальпации оно мягкое безболезненное. Со слов женщины травмы не было.Придет в понедельник посмотрю в динамике. Что это может быть? Думаю отправить к онкологу на консультацию Ссылка на комментарий
gum Опубликовано 25 октября, 2015 Поделиться Опубликовано 25 октября, 2015 Мб это геморрагический васкулит или др проблема с сосудами, тк по фото на лице просвечивают сосуды и много, пососала конфету или просто создала в полости рта чрезмерное давление и в итоге "поломались" сосуды следовательно кровоизлияния. Как вариант? 1 Ссылка на комментарий
Iwan Опубликовано 25 октября, 2015 Автор Поделиться Опубликовано 25 октября, 2015 Как вариант принимается. Завтра она ко мне придет и проверим этот вариант. Если это простое провоизлияние картина должна будет измениться, все таки прошло 4 дня. Ссылка на комментарий
gum Опубликовано 26 октября, 2015 Поделиться Опубликовано 26 октября, 2015 Ок ждем Ссылка на комментарий
Iwan Опубликовано 26 октября, 2015 Автор Поделиться Опубликовано 26 октября, 2015 Мб это геморрагический васкулит или др проблема с сосудами, тк по фото на лице просвечивают сосуды и много, пососала конфету или просто создала в полости рта чрезмерное давление и в итоге "поломались" сосуды следовательно кровоизлияния. Как вариант?Спасибо, Вы оказались правы! Сегодня она пришла, слизистая как у младенца) как будто ничего и не было. Посоветовал обратиться к гематологу Ссылка на комментарий
gum Опубликовано 28 октября, 2015 Поделиться Опубликовано 28 октября, 2015 Супер вылечили больного ))) Ссылка на комментарий
Рекомендуемые сообщения
Для публикации сообщений создайте учётную запись или авторизуйтесь
Вы должны быть пользователем, чтобы оставить комментарий
Создать аккаунт
Зарегистрируйте новый аккаунт в нашем сообществе. Это очень просто!
Регистрация нового пользователяВойти
Уже есть аккаунт? Войти в систему.
Войти