KatKy Опубликовано 25 октября, 2015 Поделиться Опубликовано 25 октября, 2015 (изменено) Здравствуйте, помогите пожалуйста, т.к. сил больше нет.Болит 6-ка справа, один врач говорит удалять, второй сказал, что сохраним и пролечил каналы(3 месяца назад), боль(ноющая) не ушла болит так же при надавливании.Снимок прилагаюНедел уже пью найз и амоксицилин Изменено 25 октября, 2015 пользователем KatKy Ссылка на комментарий
Гарриевич Опубликовано 25 октября, 2015 Поделиться Опубликовано 25 октября, 2015 (изменено) Сделайте прицельный снимок этого зубаВ идеале КТ Изменено 25 октября, 2015 пользователем Гарриевич Ссылка на комментарий
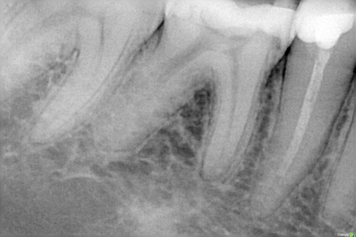
KatKy Опубликовано 25 октября, 2015 Автор Поделиться Опубликовано 25 октября, 2015 К сожалению нет сейчас денег на КТЕсть снимок до пломбировки каналовСтоматолог говорит, что это постпломбировачные боли...спустя 3 месяца Ссылка на комментарий
Гарриевич Опубликовано 25 октября, 2015 Поделиться Опубликовано 25 октября, 2015 Тогда просто прине по ней снимок выложите, Вам же наверняка по ок пломбировки его сделали Ссылка на комментарий
KatKy Опубликовано 25 октября, 2015 Автор Поделиться Опубликовано 25 октября, 2015 (изменено) Нет после пломбировки контрольный рентген не делали, стоматолог сказал не нужноА на что вообще похоже? Что может болеть, я не понимаю есть там воспаление или нет Есть вот такой рентген, на фотоаппарат сама сфоталаА по ОТПГ совсем ничего не видно? Изменено 25 октября, 2015 пользователем KatKy Ссылка на комментарий
Гарриевич Опубликовано 25 октября, 2015 Поделиться Опубликовано 25 октября, 2015 Значит нужно сделать прицельный снимок 1 Ссылка на комментарий
KatKy Опубликовано 25 октября, 2015 Автор Поделиться Опубликовано 25 октября, 2015 Я просто не понимаю, что может болеть и насколько это страшно Ссылка на комментарий
KatKy Опубликовано 26 октября, 2015 Автор Поделиться Опубликовано 26 октября, 2015 Может кто еще что подскажет? Ссылка на комментарий
IvanK Опубликовано 27 октября, 2015 Поделиться Опубликовано 27 октября, 2015 Здравствуйте, сходите на очную консультацию к терапевту Ссылка на комментарий
Рекомендуемые сообщения
Для публикации сообщений создайте учётную запись или авторизуйтесь
Вы должны быть пользователем, чтобы оставить комментарий
Создать аккаунт
Зарегистрируйте новый аккаунт в нашем сообществе. Это очень просто!
Регистрация нового пользователяВойти
Уже есть аккаунт? Войти в систему.
Войти