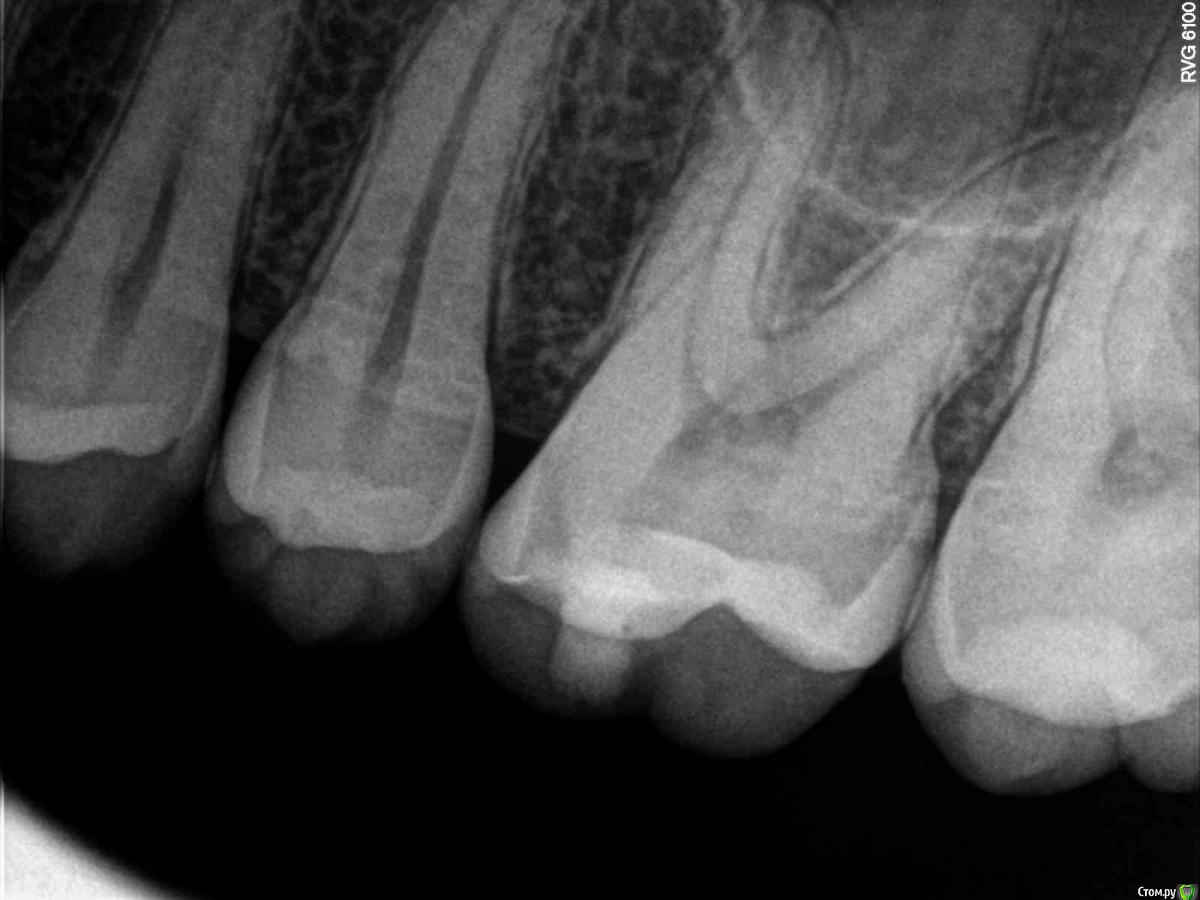
SolnceSamara Опубликовано 24 октября, 2015 Поделиться Опубликовано 24 октября, 2015 почернела старая пломба в давно пролеченной шестерке (сверху). Врач заменила пломбу но зуб болел при надавливании, заменили пломбу повторно-все равно осталась боль, сменила врача-снова сменили пломбу-снова болит, решили депульпировать-снова вынули пломбу, поставили временную-неделю проходила с временной-через неделю окончательно депульпировали, поставили постоянную. Сначало поболело 3 дня, и вроде прошло, хотя остался дискомфорт при надавливании. Прошло 3 недели, боль усилилась, теперь болит не только при надавливании иногда просто звеняще-ноющее ощущение нарастает. Пью нимесил. Посоветуйте что делать-что не так? Снимки прилагаю-делали на протяжении всйх операций (до и после).Разьяснение по снимкам :R1-29/08/15R2,R3-25/09/15R4-R7-28/09/15 Ссылка на комментарий
red_butler Опубликовано 24 октября, 2015 Поделиться Опубликовано 24 октября, 2015 Коллеги поправят, но выглядит как пломбирование одиночным штифтом. Возможно пропущен четвертый канал. Нужна ревизия корневых каналов. 2 Ссылка на комментарий
SolnceSamara Опубликовано 24 октября, 2015 Автор Поделиться Опубликовано 24 октября, 2015 Ревизия как проводится обычно? Зуб опять вскрывать необходимо? Ссылка на комментарий
red_butler Опубликовано 24 октября, 2015 Поделиться Опубликовано 24 октября, 2015 Зуб опять вскрывать необходимо?да К своему врачу обращались? Ссылка на комментарий
DmitrySH Опубликовано 24 октября, 2015 Поделиться Опубликовано 24 октября, 2015 Коллеги поправят, но выглядит как пломбирование одиночным штифтом. Возможно пропущен четвертый канал. Нужна ревизия корневых каналов. Все верно. Ссылка на комментарий
SolnceSamara Опубликовано 24 октября, 2015 Автор Поделиться Опубликовано 24 октября, 2015 (изменено) да К своему врачу обращались?Она предпредила что если вернется боль-нужно 3д снимок зуба делать. Я и решила перед снимком проконсультироваться на форуме, т.к. уже не знаю в чем причина-в зубе, во враче? Мало ли врачебная ошибка, а врач не признается просто. Я то не специалист- в снимках не разбираюсь... А по данным снимкам 4ый канал не видно? Боюсь потерять зуб... 5ый раз рассверливать...если не 6й будут((( Изменено 24 октября, 2015 пользователем SolnceSamara Ссылка на комментарий
red_butler Опубликовано 24 октября, 2015 Поделиться Опубликовано 24 октября, 2015 Кт неплохо бы сделать, но все равно нужно лечит. Ссылка на комментарий
Рекомендуемые сообщения
Для публикации сообщений создайте учётную запись или авторизуйтесь
Вы должны быть пользователем, чтобы оставить комментарий
Создать аккаунт
Зарегистрируйте новый аккаунт в нашем сообществе. Это очень просто!
Регистрация нового пользователяВойти
Уже есть аккаунт? Войти в систему.
Войти