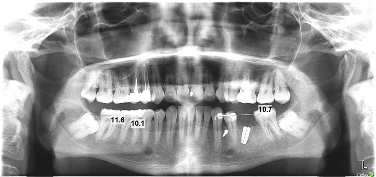
vadimanf Опубликовано 23 октября, 2015 Поделиться Опубликовано 23 октября, 2015 Здравствуйте! Около 5-ти месяцев назад установил имплант. На этой неделе сделали снимок и визуально видно что он стоит криво. Врач говорит, что угол в пределах нормы. Какие возможны негативные последствия при таком угле на жевательном зубе? Ссылка на комментарий
faity Опубликовано 23 октября, 2015 Поделиться Опубликовано 23 октября, 2015 все решается индивидуальными аббатментами, проблемы нет 2 Ссылка на комментарий
Evikrol Опубликовано 23 октября, 2015 Поделиться Опубликовано 23 октября, 2015 Без проблем Ссылка на комментарий
Рекомендуемые сообщения
Для публикации сообщений создайте учётную запись или авторизуйтесь
Вы должны быть пользователем, чтобы оставить комментарий
Создать аккаунт
Зарегистрируйте новый аккаунт в нашем сообществе. Это очень просто!
Регистрация нового пользователяВойти
Уже есть аккаунт? Войти в систему.
Войти