Перейти к содержанию
Стоматология для всех

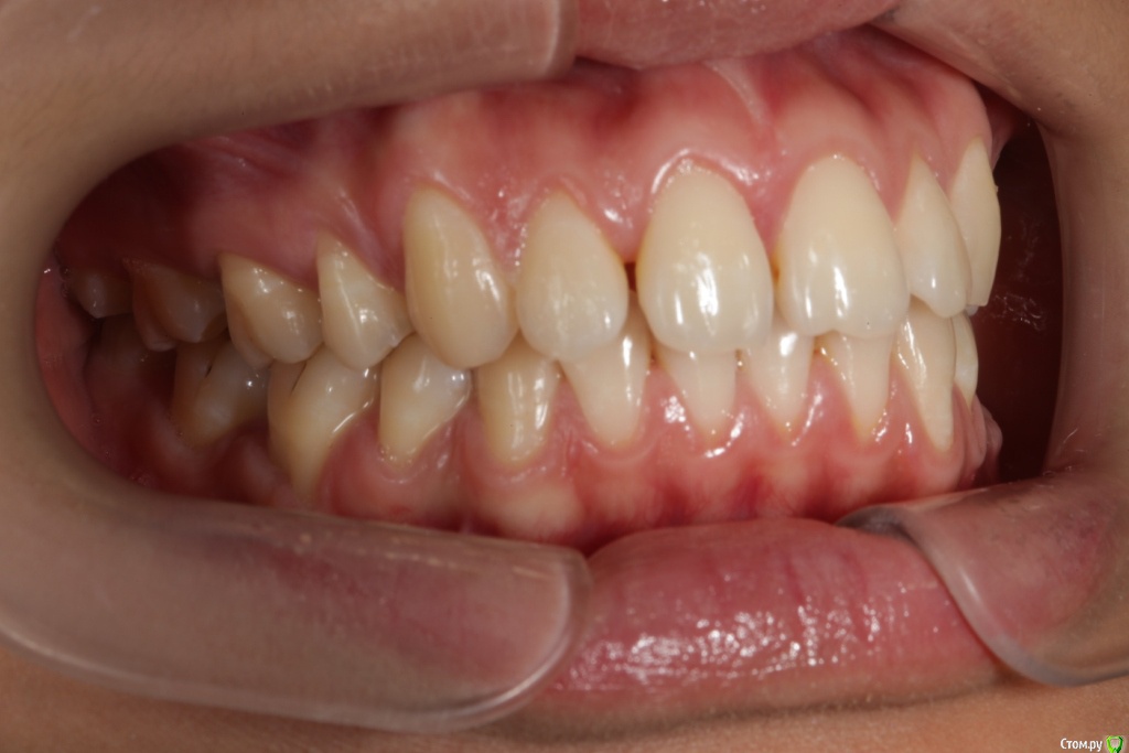
Головные боли, артроз ВНЧС, дистальный глубокий прикус, удалены 4ки на вч и 5 на нч


Parker

Рекомендуемые сообщения

Добрый день! 

 

Пожалуйста, прокомментируйте, мой случай.

 

Сейчас мне 25 лет. С детства был дистальный глубокий прикус, зубы на верхней челюсти выпирали вперед, на нижней челюсти присутствовала скученность, из-за чего была удалена "мешающая" 5ка. Вероятно, этот зуб стоило сохранить.

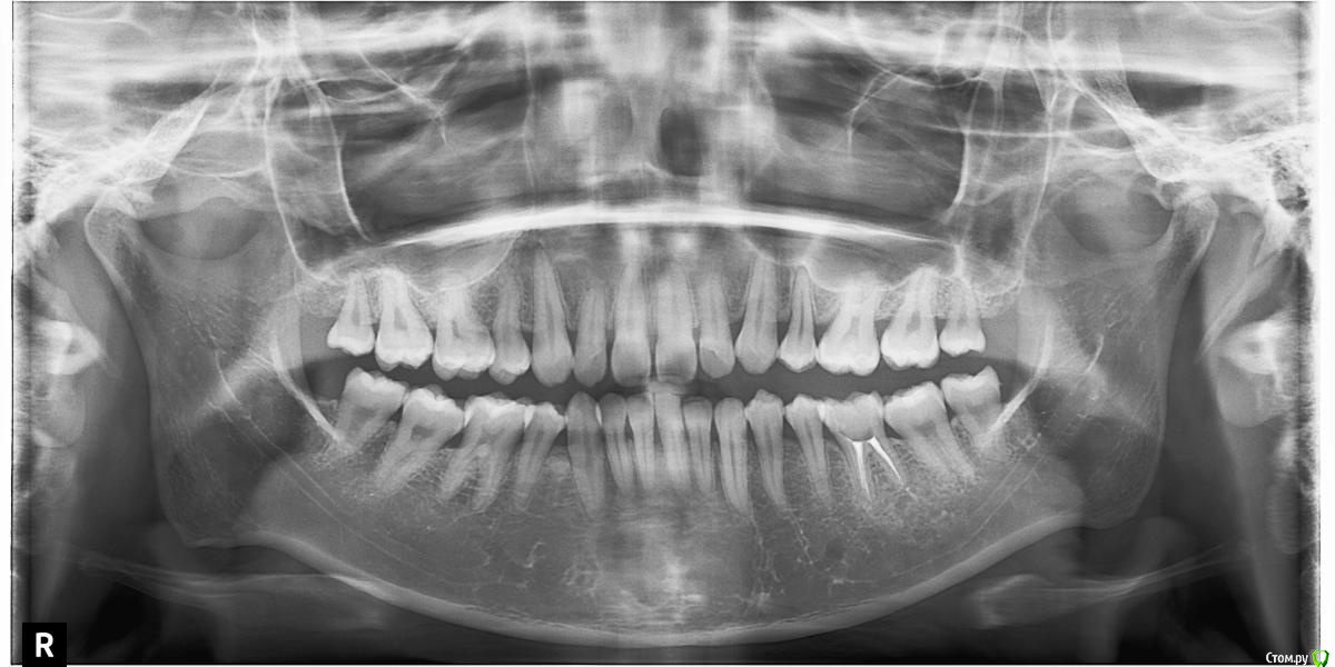
В 2007-2008 гг. проходила ортодонтическое лечение с удалением 4ок на верхней челюсти. Резцовые зубы были перемещены назад, эстетически результат был удовлетворительным. Однако, проблема неправильного прикуса решена не была.

 

Спустя 5 лет у меня начались головные боли, не сильные (4/10), но частые, почти постоянные, фоновые. Проходила разные обследования - голова, шея и т.д. Все в (относительной :) ) норме.

 

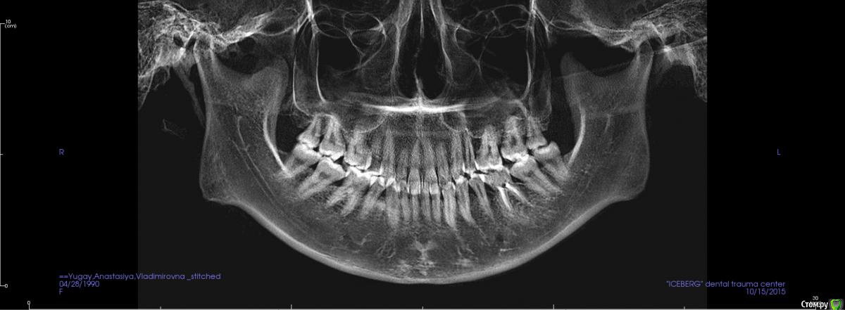
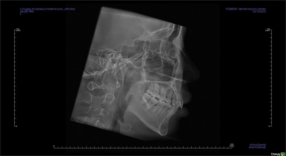
То, что эти боли могут быть следствием проблем с ВНЧС, узнала в последнюю очередь. МРТ показало, что у меня артроз суставов - 3 степени слева, полная вентрально-латерация дислокация суставного диска без репозиции; 1 степени справа, с репозицией, гипермобильность правого сустава. Асимметрии лица нет, однако рот открывается по S-образной траектории (почти не заметно), при широком открывании рта очень редко слышен щелчок, хрустов нет, слегка выпирает правый сустав. Заключение по МРТ с подробным описанием в приложении.

 

Была на консультации у ортопеда, который в качестве решения предложил выдвинуть нижнюю челюсть вперед с помощью ношения ортотика и брекет-системы. При этом перед началом и в ходе лечения указал на необходимость удаления 8ок (наверное, только на верхней челюсти) и "возвращения" 4ок за счет имплантов. Аргументировано это было тем, что премоляры играют важнейшую роль, в то время как 8ки вроде рудиментов; а ортодонтическое лечение с удалением 4ок устарело и в большинстве случаев не показано. 

 

Подскажите, пожалуйста, как в моем случае должно проходить лечение. На удаление 4ок в свое время было решиться сложно, насколько это решение было ошибочным? Необходимо ли удаление 8ок? Есть ли варианты лечения без удаления 8ок и/или возвращения 4ок? 

 

P.S: необходимо ли закрывать рецессии до начала лечения? или лучше сделать это после окончания лечения? 

 

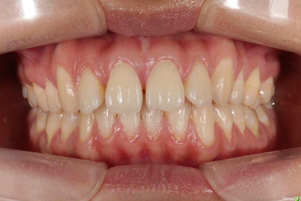
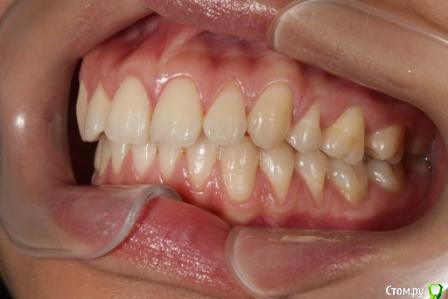
Заключение по МРТ, ОПТГ, цефалограмма в боковой проекции (справа и слева) и фото зубов - в приложении.

Все снимки по результатам КЛКТ (5 мб) можно скачать по ссылке https://www.dropbox.com/s/4c026r3ewd8zz0l/KLKT.zip?dl=0

 

Заранее спасибо за ответы! 

post-45141-0-19174500-1445604089_thumb.jpg

post-45141-0-10307700-1445606906_thumb.jpg

post-45141-0-99061300-1445606916_thumb.jpg

post-45141-0-65168300-1445606926_thumb.jpg

post-45141-0-33257600-1445606934_thumb.jpg

post-45141-0-96393300-1445606960_thumb.jpg

post-45141-0-24072500-1445606965_thumb.jpg

post-45141-0-10703400-1445607160_thumb.jpg

Изменено пользователем Parker
Ссылка на комментарий

Вам дали хорошие рекомендации. 

При заднем положении Нижней Челюсти , часто встречаются проявления (щелчки, хруст, боль)  и при необходимости  поставить НЧ в правильное положение (кпереди), придется вернуть Верхней Челюсти  должный размер (а значит поставить два импланта). 

"Сколько врачей, столько мнений", но многие врачи склоняются к мнению, что 8-ки препятствуют правильному смыканию и правильным движениям НЧ, поэтому их удаляют. 

Будете Вы перелечиваться или нет - зависит от степени, насколько Вас беспокоит эта проблема. Многие пролечены  по такому же протоколу (с удалением 4-ок наверху и оставлением НЧ в заднем положении), но их организм скомпенсировал проблемы, и жалоб такие пациенты не предъявляют.  Поэтому выбор остается за Вами 

  • Поддерживаю 1
Ссылка на комментарий

Вы должны осознавать, что если в суставе произошли структурные изменения, то новый сустав Вам уже не сделают, а значит гарантий никаких дать не могут. 

Ссылка на комментарий

Вы должны осознавать, что если в суставе произошли структурные изменения, то новый сустав Вам уже не сделают, а значит гарантий никаких дать не могут. 

 

Яна, спасибо за оперативный ответ!

 

О каких гарантиях идет речь?

Может ли повторное ортодонтическое лечение усугубить ситуацию с ВНЧС? Врач-рентгенолог сказал, что правый сустав "еще можно спасти". Подскажите, пожалуйста, что он имел в виду? 

 

Насчет 8ок вопрос, по-видимому, действительно неоднозначный. Другой врач предложил удалить 8ки только снизу, сообщив, что верхние можно будет оставить.. 

Ссылка на комментарий

Также забыла упомянуть, что один из врачей предложил помимо лечения брекетами и каппой/ортотиком, привлечь нейромышечного стоматолога. 

 

Объясните, пожалуйста, роль нейромышечного стоматолога. В каком случае такой специалист необходим? 

Ссылка на комментарий

Для публикации сообщений создайте учётную запись или авторизуйтесь

Вы должны быть пользователем, чтобы оставить комментарий

Создать аккаунт

Зарегистрируйте новый аккаунт в нашем сообществе. Это очень просто!

Регистрация нового пользователя

Войти

Уже есть аккаунт? Войти в систему.

Войти
×
×
  • Создать...
Вверх