витаХА Опубликовано 23 октября, 2015 Поделиться Опубликовано 23 октября, 2015 Добрый день всем! Что то у меня всё не слава богу идёт с имплантами. То одно,то другое,а теперь вот третье.С некоторых пор начал замечать болезненность между двумя имплантами при чистке ирригатором. Временами очень ощутимую.Обратился к врачу с этим вопросом на что получил ответ пока не пользоваться ирригатором, а просто выполаскивать эти места водой после еды. По его мнению видимо ирригатор травмирует слизистую. При всём при этом при чистки этих мест ирригатором чувствуется неприятный запах из них и если я буду их просто выполаскивать водой боюсь проблема с запахом ещё больше усугубится. Уже после посещения решил сделать ортопонаграму и проконсультироваться в другом месте и здесь. Может кто что посоветует как быть. В одной клинике сказали что это забивается пища в десны вокруг имплантов и травмирует слизистую и даже вроде как уходит кость с импланта. Вердикт - переделывать всё протезирование. Выкладываю снимок в котором я не очень разбираюсь, может кто подскажет какой ни будь выход или хотя бы в каком направлении идти. Ссылка на комментарий
kozloff Опубликовано 23 октября, 2015 Поделиться Опубликовано 23 октября, 2015 (изменено) Сделайте фото этих зубов в полости рта, должны быть видны коронки и десна Изменено 23 октября, 2015 пользователем kozloff 2 Ссылка на комментарий
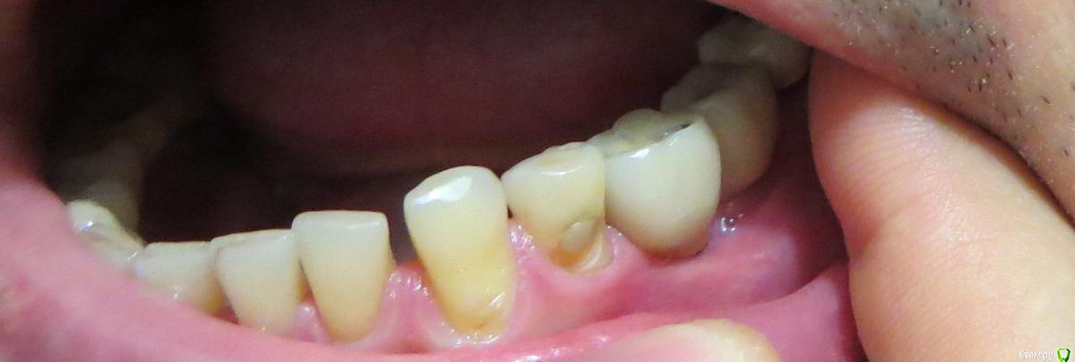
витаХА Опубликовано 27 октября, 2015 Автор Поделиться Опубликовано 27 октября, 2015 Сделайте фото этих зубов в полости рта, должны быть видны коронки и деснаСделал фото но не знаю насколько качественно получилось. Поэтому дам небольшие пояснения. На снимке эти коронки вторая и третья, если считать справа. У третьей внизу около края десны видно темноё пятно(это видимо светится метал от коронки).Мне вообще кажется что десна не закрывает полностью коронку у этого импланта и край утолщения коронки(это даже видно на фото) находится сильно над десной.Врач который делал протезирование говорит что десна поднимется со временем и обхватит эту коронку. Ссылка на комментарий
kozloff Опубликовано 27 октября, 2015 Поделиться Опубликовано 27 октября, 2015 Нужно лечить перимиплантит.Подсадить десну.Новые коронки с адекватным профилем появления. Ссылка на комментарий
IvanK Опубликовано 27 октября, 2015 Поделиться Опубликовано 27 октября, 2015 Не затягивайте Ищите Врача Ссылка на комментарий
витаХА Опубликовано 28 октября, 2015 Автор Поделиться Опубликовано 28 октября, 2015 Нужно лечить перимиплантит.Подсадить десну.Новые коронки с адекватным профилем появления.С первыми двумя пунктами более менее понятно.А что такое коронки с адекватным профилем появления???Если я правильно понял то протезирование выполнено неправильно??? Ссылка на комментарий
витаХА Опубликовано 28 октября, 2015 Автор Поделиться Опубликовано 28 октября, 2015 Не затягивайте Ищите ВрачаЕсли я правильно Вас понял то разговаривать с протезистом о переделке коронок бессмысленно и нужно искать другого врача. Возможно Вы правы и я обязательно последую Вашему совету,но прежде мне бы хотелось хотя бы объяснится с этим врачом и сделать это аргументировано. Ведь потрачены средства и если сделано криво,то врач наверное должен либо переделать это грамотно,либо вернуть деньги,что бы другой специалист исправил эти ошибки.Вы можете сказать что сделано не так??? И как найти хорошего врача?Ведь этот врач показался мне довольно грамотным спецом,а ища нового врача можно потратить долгие годы. Ссылка на комментарий
red_butler Опубликовано 28 октября, 2015 Поделиться Опубликовано 28 октября, 2015 И как найти хорошего врача?Ведь этот врач показался мне довольно грамотным спецом,а ища нового врача можно потратить долгие годы. http://forum.stom.ru/topic/8621-kak-vybrat-vracha-kak-poniat-kto-profi-a-kto-stu/ Ссылка на комментарий
kozloff Опубликовано 28 октября, 2015 Поделиться Опубликовано 28 октября, 2015 разговаривать с протезистом о переделке коронок бессмысленно Почему же, когда делали? Какую установили гарантию? Договориться можно всегда. Ссылка на комментарий
витаХА Опубликовано 28 октября, 2015 Автор Поделиться Опубликовано 28 октября, 2015 Почему же, когда делали? Какую установили гарантию? Договориться можно всегда.Делал протезирование в мае этого года.По поводу гарантии не знаю - надо будет посмотреть в договоре.Вроде ни каких особенных гарантий не обговаривалось и я так полагаю что гарантии идут по стандартной схеме - год или два. Ссылка на комментарий
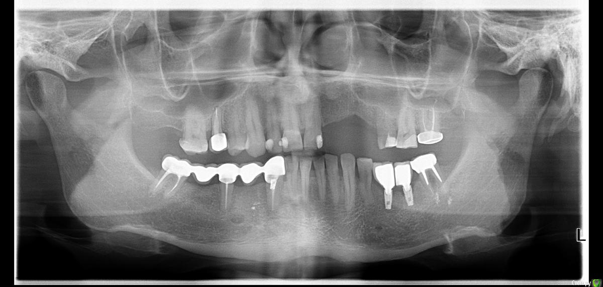
Паращук Роман Опубликовано 28 октября, 2015 Поделиться Опубликовано 28 октября, 2015 С первыми двумя пунктами более менее понятно.А что такое коронки с адекватным профилем появления???Если я правильно понял то протезирование выполнено неправильно???Вы рискуете потерять оба импл. в недалеком будущем. Проблема в том что было не правильно выбран абатмент и не правильно изготовлена коронка на него. На рентгенограмме желтым где кость сейчас,предположительно,красным где хотелось бы видеть,синим проблемные зоны. Как бы ситуацию вела наша команда. Снятие конструкции,с ревизией зоны имплантов. А далее от степени сложности запущенности...http://s019.radikal.ru/i604/1510/07/26929112c561.jpg 2 Ссылка на комментарий
витаХА Опубликовано 29 октября, 2015 Автор Поделиться Опубликовано 29 октября, 2015 (изменено) Вы рискуете потерять оба импл. в недалеком будущем. Проблема в том что было не правильно выбран абатмент и не правильно изготовлена коронка на него. На рентгенограмме желтым где кость сейчас,предположительно,красным где хотелось бы видеть,синим проблемные зоны. Как бы ситуацию вела наша команда. Снятие конструкции,с ревизией зоны имплантов. А далее от степени сложности запущенности... Роман,огромнейшее Вам спасибо за столь развёрнутый ответ!!!О более лучших разъяснениях я даже не мог и мечтать!!!!Теперь я смогу аргументированно объяснится с врачом и попробовать решить эту проблему в пределах этой клиники или искать другого врача.Ещё раз спасибо Роману и всем врачам,которые остались не равнодушными к моей проблеме!!!Всем удачи и процветания!!! Изменено 29 октября, 2015 пользователем витаХА Ссылка на комментарий
red_butler Опубликовано 29 октября, 2015 Поделиться Опубликовано 29 октября, 2015 Будем ждать продолжение. Ссылка на комментарий
витаХА Опубликовано 30 октября, 2015 Автор Поделиться Опубликовано 30 октября, 2015 Продолжение. Пришёл с разговором к лечащему врачу и к этой беседе,услышав мои претензии, подключился главврач клиники. В итоге после осмотра снимка и конструкции главным врачом было признано что конструкция действительно не совсем правильная и подлежит переделке за счёт клиники. Так же предложено для более лучшего прилегания вместе с двумя коронками на имплантах одновременно переделать старую коронку на 7 зубе. Вобщем три коронки одновременно из металлокерамики из которых две коронки спаянные на импланты и одна коронка на 7 зуб. При внешнем осмотре главный сказал что в лунках нагноений и воспалений нету,соответственно лечить вроде как нечего. По поводу резорбции костной ткани сказал что процес этот неизбежный и что кость в любом случае будет потихоньку убывать.Другое дело что после переделки коронок травмироваться слизистая будет меньше и соответственно убыль будет гораздо медленее идти. В общем вот как то так .Если протезирование они признали что выполнено ими не совсем правильно и готовы исправить ,то с убылью кости несогласны что по их вине.Тем более что имплантировался я совсем в другом месте,а уже протезирование выбрал в этой клинике что бы по ближе к дому было. Вот теперь хотел узнать что мне делать?Искать другую клинику для решения проблем с костью или соглашаться на их предложение и вообще правильный ли вариант со спайкой двух коронок на имплантах с винтовой фиксацией? Ссылка на комментарий
Паращук Роман Опубликовано 30 октября, 2015 Поделиться Опубликовано 30 октября, 2015 (изменено) У вас есть снимки этой зоны с импл. до установки коронок? На их основании можно вести беседу кто виноват или "так и было". Коронки снимались? Если нет,то говорить что там есть,а чего нет нельзя? Банальной заменой коронок на винтовые,думаю,проблему не решить?Если план лечения предложенный командой вам не внушает доверия,проконсультируйтесь у пары других команд.Удачи! Изменено 30 октября, 2015 пользователем Паращук Роман Ссылка на комментарий
витаХА Опубликовано 30 октября, 2015 Автор Поделиться Опубликовано 30 октября, 2015 У вас есть снимки этой зоны с импл. до установки коронок? На их основании можно вести беседу кто виноват или "так и было". Коронки снимались? Если нет,то говорить что там есть,а чего нет нельзя? Банальной заменой коронок на винтовые,думаю,проблему не решить?Если план лечения предложенный командой вам не внушает доверия,проконсультируйтесь у пары других команд.Удачи!Коронки естественно снимались,ведь изначально они изготавливались на винтовой фиксации.И в любой момент их можно открутить и проинспектировать эти лунки с имплантами. В первом случае они были раздельными,теперь предлагается их цельное литьё плюс к ним замена старой корнки на 7-ке. Из слов врача я понял что техник сделал узкие шахты в коронках из-за чего крепление с имплантами фирмы Альфа Био происходило винтами от Имплантиума и поэтому они периодически развинчивались где то с частотой в 1-2 месяца попеременно,то одна коронка,то другая.Снимок до протезирования где то был - делали прицельный снимок,надо будет поискать.Если найду то попробую сфотать и выставить чуть позже. Ссылка на комментарий
витаХА Опубликовано 30 октября, 2015 Автор Поделиться Опубликовано 30 октября, 2015 Нашёл снимок. Попробывал сфотать и вот что получилось. Кстати ,может кто нибудь в Москве возьмётся проконсультировать меня очно на предмет состояния кости(не бесплатно конечно).Коронки сейчас на временых пломбах и винты на них закручены отверткой,а не ключом - так что открутить их и посмотреть на импланты не составит большого труда. Ссылка на комментарий
diesel87 Опубликовано 30 октября, 2015 Поделиться Опубликовано 30 октября, 2015 Нашёл снимок. Попробывал сфотать и вот что получилось. Кстати ,может кто нибудь в Москве возьмётся проконсультировать меня очно на предмет состояния кости(не бесплатно конечно).Коронки сейчас на временых пломбах и винты на них закручены отверткой,а не ключом - так что открутить их и посмотреть на импланты не составит большого труда.Так тут изначальные проблемы с костью, до этапа протезирования. Ссылка на комментарий
витаХА Опубликовано 30 октября, 2015 Автор Поделиться Опубликовано 30 октября, 2015 Так тут изначальные проблемы с костью, до этапа протезирования. Ёпрст,так значит этот врач должен был изначально видеть проблему с костью и сказать об этом мне,но он не взирая на это всё равно берётся за протезирование,так что ли?????Блин, я в ауте!!!А сейчас то что то можно решить с этой проблемой или уже как говорится - расслабиться и получать удовольствие??? Ссылка на комментарий
diesel87 Опубликовано 30 октября, 2015 Поделиться Опубликовано 30 октября, 2015 Ёпрст,так значит этот врач должен был изначально видеть проблему с костью и сказать об этом мне,но он не взирая на это всё равно берётся за протезирование,так что ли?????Блин, я в ауте!!!А сейчас то что то можно решить с этой проблемой или уже как говорится - расслабиться и получать удовольствие???Я так понял импланты вы ставили в одной клинике, а протезирование в другой? Вам перед началом протезирования делали снимки во второй клинике? Этот снимок на каком этапе? Ссылка на комментарий
витаХА Опубликовано 30 октября, 2015 Автор Поделиться Опубликовано 30 октября, 2015 Я так понял импланты вы ставили в одной клинике, а протезирование в другой? Вам перед началом протезирования делали снимки во второй клинике? Этот снимок на каком этапе?Да,именно так.Делали во второй и соответственно последней, во всей этой истории, клинике. Делали на этапе консультации перед самым началом протезирования. Ссылка на комментарий
витаХА Опубликовано 2 ноября, 2015 Автор Поделиться Опубликовано 2 ноября, 2015 Хлопцы,родненькие,так что теперь делать то??? Судя по многозначительному молчанию проблема была на этапе имплантации и теперь уже сложно что то исправить?так что ли??? Ссылка на комментарий
red_butler Опубликовано 2 ноября, 2015 Поделиться Опубликовано 2 ноября, 2015 Для того чтобы решить что дальше, нужен очный осмотр. Сохранность второго импланта под вопросом. Кроме этого требуется пластика мягких тканей и пере протезирование. Ссылка на комментарий
витаХА Опубликовано 2 ноября, 2015 Автор Поделиться Опубликовано 2 ноября, 2015 Для того чтобы решить что дальше, нужен очный осмотр. Сохранность второго импланта под вопросом. Кроме этого требуется пластика мягких тканей и пере протезирование.А второй имплант это какой из них? Ссылка на комментарий
Larnary Опубликовано 2 ноября, 2015 Поделиться Опубликовано 2 ноября, 2015 (изменено) У меня большие сомнения,что абатменты посажены до конца. И в этом вижу первопричину. Ну а неправильно изготовленные коронки добавили проблем сверху. Соавните со снимком,где формирователи Изменено 2 ноября, 2015 пользователем Larnary 2 1 Ссылка на комментарий
Рекомендуемые сообщения
Для публикации сообщений создайте учётную запись или авторизуйтесь
Вы должны быть пользователем, чтобы оставить комментарий
Создать аккаунт
Зарегистрируйте новый аккаунт в нашем сообществе. Это очень просто!
Регистрация нового пользователяВойти
Уже есть аккаунт? Войти в систему.
Войти