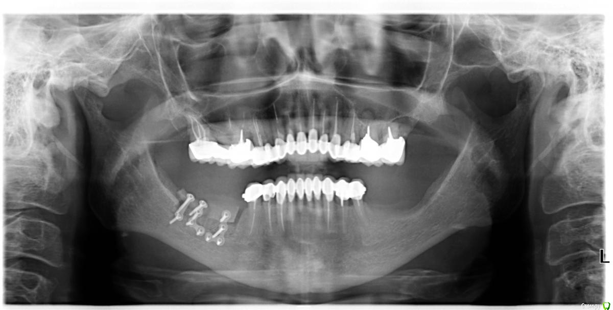
Популярный пост Глеб Митрофанов Опубликовано 22 октября, 2015 Популярный пост Поделиться Опубликовано 22 октября, 2015 (изменено) Горизонтальное расщепление Изменено 22 октября, 2015 пользователем Глеб Митрофанов 26 Ссылка на комментарий
diesel87 Опубликовано 22 октября, 2015 Поделиться Опубликовано 22 октября, 2015 Вертикально расщепление Игра такая? Перечисляем методы нкр? Ссылка на комментарий
Глеб Митрофанов Опубликовано 22 октября, 2015 Автор Поделиться Опубликовано 22 октября, 2015 Вертикально расщеплениеИгра такая? Перечисляем методы нкр?Почему же вертикальная ? Ссылка на комментарий
carloss Опубликовано 22 октября, 2015 Поделиться Опубликовано 22 октября, 2015 (изменено) круто! а срезы кт есть в этой области? и откуда треугольный ламинат брали, который в щели? Изменено 22 октября, 2015 пользователем carloss Ссылка на комментарий
diesel87 Опубликовано 22 октября, 2015 Поделиться Опубликовано 22 октября, 2015 Почему же вертикальная ?Ну вертикально же пропилы есть, да и подняли вертикально) ваш первый подобный кейс? Как ощущения? Ссылка на комментарий
Глеб Митрофанов Опубликовано 22 октября, 2015 Автор Поделиться Опубликовано 22 октября, 2015 круто! а срезы кт есть в этой области? и откуда треугольный ламинат брали, который в щели?Срезы есть , в телефоне найду , прикреплю . Ламинатик получился , путём истончение треснувшей крыши в дистальном отделе , думаю чего добру пропадать , заклинил его и винтом на всякий случай . Ссылка на комментарий
Глеб Митрофанов Опубликовано 22 октября, 2015 Автор Поделиться Опубликовано 22 октября, 2015 Ну вертикально же пропилы есть, да и подняли вертикально) ваш первый подобный кейс? Как ощущения?)))))) , вертикальные пропилы есть , но остеотомия горизонтальная . Кейс первый , ощущения от того , что сделал это конечно переполняют эмоциями , впереди вторая сторона . Учту опыт первой Ссылка на комментарий
diesel87 Опубликовано 22 октября, 2015 Поделиться Опубликовано 22 октября, 2015 )))))) , вертикальные пропилы есть , но остеотомия горизонтальная . Кейс первый , ощущения от того , что сделал это конечно переполняют эмоциями , впереди вторая сторона . Учту опыт первой Это мощная операция я считаю, поздравляю с дебютом! Ссылка на комментарий
Глеб Митрофанов Опубликовано 22 октября, 2015 Автор Поделиться Опубликовано 22 октября, 2015 Срезы кт Ссылка на комментарий
Глеб Митрофанов Опубликовано 22 октября, 2015 Автор Поделиться Опубликовано 22 октября, 2015 Это мощная операция я считаю, поздравляю с дебютом!Спасибо ! Ссылка на комментарий
Большой Зеленый Опубликовано 23 октября, 2015 Поделиться Опубликовано 23 октября, 2015 Глеб,это вертикальное расщепление. Отлично получилось.Откуда микросом столько нашкрябали? Ссылка на комментарий
Глеб Митрофанов Опубликовано 23 октября, 2015 Автор Поделиться Опубликовано 23 октября, 2015 Глеб,это вертикальное расщепление. Отлично получилось.Откуда микросом столько нашкрябали?В моём понимании вертикальное расщепление -это классическое расщепление с вертикальным продольным распилом . А стружка с дистальной крыши , который после причесывания микросом превратился в ламинат и с ветви , дистальнее распилов Ссылка на комментарий
basha.ru Опубликовано 23 октября, 2015 Поделиться Опубликовано 23 октября, 2015 Спасибо за кейс.Скажите пожалуйста какая высота кости до нижнечелюстного канала?Спасибо. Ссылка на комментарий
Evikrol Опубликовано 23 октября, 2015 Поделиться Опубликовано 23 октября, 2015 Чем распилы проводили? И что за блок? Ссылка на комментарий
diesel87 Опубликовано 23 октября, 2015 Поделиться Опубликовано 23 октября, 2015 Чем распилы проводили? И что за блок?Китайский пьезо, блок от Остеобиола) Ссылка на комментарий
OLG Опубликовано 23 октября, 2015 Поделиться Опубликовано 23 октября, 2015 Отличный результат. а что за курс Вы прошли? Ссылка на комментарий
carloss Опубликовано 23 октября, 2015 Поделиться Опубликовано 23 октября, 2015 А гребень не очень язычно сдвинулся, особенно медиальная, довольно высокая стенка, которая судя по всему сейчас стоит перепендикулярно гребню?..языку не мешает?.. Спротезировать получится? И почему не горизонтальный нкр.. Хотя бы сосидж.. И вертикалить бы не надо было? 1 Ссылка на комментарий
Глеб Митрофанов Опубликовано 23 октября, 2015 Автор Поделиться Опубликовано 23 октября, 2015 (изменено) Спасибо за кейс.Скажите пожалуйста какая высота кости до нижнечелюстного канала?Спасибо.До канала , в самой низшей точке - 4,5-5 мм Изменено 23 октября, 2015 пользователем Глеб Митрофанов Ссылка на комментарий
Глеб Митрофанов Опубликовано 23 октября, 2015 Автор Поделиться Опубликовано 23 октября, 2015 Китайский пьезо, блок от Остеобиола)Спасибо Виталий ! Ссылка на комментарий
Глеб Митрофанов Опубликовано 23 октября, 2015 Автор Поделиться Опубликовано 23 октября, 2015 А гребень не очень язычно сдвинулся, особенно медиальная, довольно высокая стенка, которая судя по всему сейчас стоит перепендикулярно гребню?..языку не мешает?.. Спротезировать получится?И почему не горизонтальный нкр.. Хотя бы сосидж.. И вертикалить бы не надо было?Гребень не сдвинулся , да и языку вроде ничего не мешало , отек спадёт - посмотрю конечно ещё раз . А вертикаль надо было , высота клинических коронок в два выше была бы Ссылка на комментарий
carloss Опубликовано 23 октября, 2015 Поделиться Опубликовано 23 октября, 2015 Надо, так надо)) Ссылка на комментарий
red_butler Опубликовано 23 октября, 2015 Поделиться Опубликовано 23 октября, 2015 Глеб отличная работа, с переходом на новый уровень. Самому интересно после курса Ильгама попробовать, да боязно. Пока таких пациентов направляю к Иванову С. Ю. Ссылка на комментарий
syrovovec Опубликовано 23 октября, 2015 Поделиться Опубликовано 23 октября, 2015 Здорово, тоже руки чешутся подобный кейсик сделать, после курса Ильгама Ссылка на комментарий
Глеб Митрофанов Опубликовано 23 октября, 2015 Автор Поделиться Опубликовано 23 октября, 2015 Первые шаги в тени Ильгама 5 Ссылка на комментарий
andr99 Опубликовано 24 октября, 2015 Поделиться Опубликовано 24 октября, 2015 Класс!Но горизонталить придётся потом на этапе винтов, имхо.Спасибо за кейс! 1 Ссылка на комментарий
Рекомендуемые сообщения
Для публикации сообщений создайте учётную запись или авторизуйтесь
Вы должны быть пользователем, чтобы оставить комментарий
Создать аккаунт
Зарегистрируйте новый аккаунт в нашем сообществе. Это очень просто!
Регистрация нового пользователяВойти
Уже есть аккаунт? Войти в систему.
Войти