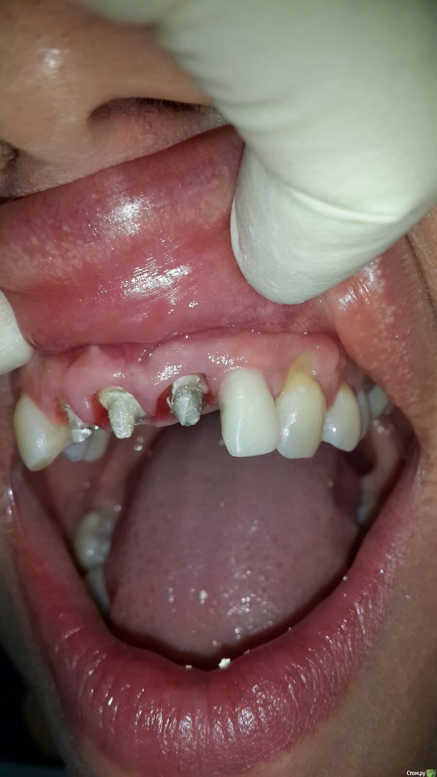
victor57 Опубликовано 21 октября, 2015 Поделиться Опубликовано 21 октября, 2015 (изменено) Привет.сегодня пришла пациентка на этапе.ведем её уже год. Отсутствовал 2.2. Провели аугментацию,потом имплантации.на 12,11,21 коронки уже более 5 лет. Провели одновременно с установкой формироваться убп на 12,11 зубах. Сейчас вопрос по сосочек между 21,22.Ортопед говорит,что времянками по максимуму отдавил.что посоветуете? Изменено 21 октября, 2015 пользователем victor57 Ссылка на комментарий
Ст@ся Опубликовано 21 октября, 2015 Поделиться Опубликовано 21 октября, 2015 http://cs628519.vk.me/v628519712/1462d/etj8LO9QO4k.jpg Ссылка на комментарий
Bier Опубликовано 21 октября, 2015 Поделиться Опубликовано 21 октября, 2015 мягкие ткани туда нужно подсаживать как минимум и надо rg, где там имплантат смотреть. Ссылка на комментарий
victor57 Опубликовано 22 октября, 2015 Автор Поделиться Опубликовано 22 октября, 2015 Планировал ССТ сажать Ссылка на комментарий
Дмитрий Никитюк Опубликовано 22 октября, 2015 Поделиться Опубликовано 22 октября, 2015 Снимок нужен. Но и без него видно, что одна из проблем, это близкое расположение имплантата к зубу 21. С мягкими тканями работать нужно, но идеального результат получиться добиться разве что заглушив имплантат. Как более компромиссный вариант можно рассмотреть ортодонтическую коррекцию положения зуба 21. 2 Ссылка на комментарий
victor57 Опубликовано 23 октября, 2015 Автор Поделиться Опубликовано 23 октября, 2015 (изменено) Вот снимок.расстояние оптимальное на мой взгляд. Изменено 23 октября, 2015 пользователем victor57 Ссылка на комментарий
Bier Опубликовано 23 октября, 2015 Поделиться Опубликовано 23 октября, 2015 Там нет места для мягких тканей, Дмитрий прав Ссылка на комментарий
carloss Опубликовано 23 октября, 2015 Поделиться Опубликовано 23 октября, 2015 Олег, там гдн нет места, это рядом с клыком и там сосочек пока в полном порядке.. Но чтобы он более менее остался в будущем, стоит заменить абатмент и коронку, и постараться дать там макимально места.. Медиально же место есть Ссылка на комментарий
Дмитрий Никитюк Опубликовано 23 октября, 2015 Поделиться Опубликовано 23 октября, 2015 Вот снимок.расстояние оптимальное на мой взгляд.Странная проекция снимка. Складывается впечатление, что имплантат стоит вплотную к клыку. Или так и есть? Если да, то тогда нужно поработать с профилем времянки. Ссылка на комментарий
victor57 Опубликовано 25 октября, 2015 Автор Поделиться Опубликовано 25 октября, 2015 (изменено) Проекция такая.расстояние есть Изменено 25 октября, 2015 пользователем victor57 Ссылка на комментарий
Рекомендуемые сообщения
Для публикации сообщений создайте учётную запись или авторизуйтесь
Вы должны быть пользователем, чтобы оставить комментарий
Создать аккаунт
Зарегистрируйте новый аккаунт в нашем сообществе. Это очень просто!
Регистрация нового пользователяВойти
Уже есть аккаунт? Войти в систему.
Войти