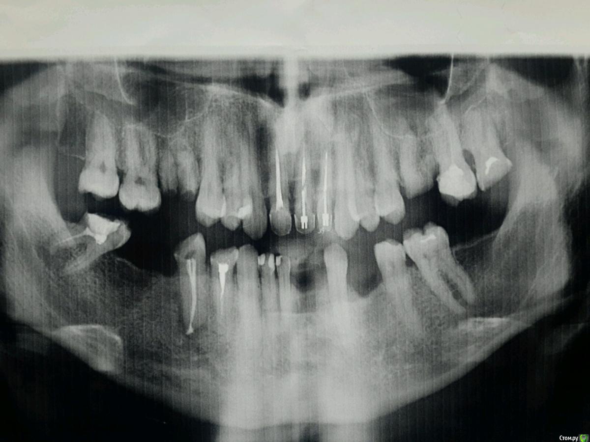
DIMTO Опубликовано 21 октября, 2015 Поделиться Опубликовано 21 октября, 2015 СКАЖИТЕ ПОЖАЛУЙСТА КАКОЙ СЪЕМНЫЙ ПРОТЕЗ ЛУЧШЕ В ЭТОМ СЛУЧАЕ ПРИМЕНИТЬ? Ссылка на комментарий
Ирина Игоревна Опубликовано 21 октября, 2015 Поделиться Опубликовано 21 октября, 2015 А вариант имплантации не рассматриваете? Ссылка на комментарий
DIMTO Опубликовано 21 октября, 2015 Автор Поделиться Опубликовано 21 октября, 2015 А вариант имплантации не рассматриваете?А МОЖНО ПОЖАЛУЙСТА ПО ПОДРОБНЕЕ.КАК ЧТО СКОЛЬКО. Ссылка на комментарий
IvanK Опубликовано 22 октября, 2015 Поделиться Опубликовано 22 октября, 2015 не плодите темы http://forum.stom.ru/topic/30494-pozhalujsta-pomogite-s-protezirovaniem/ Ссылка на комментарий
Рекомендуемые сообщения