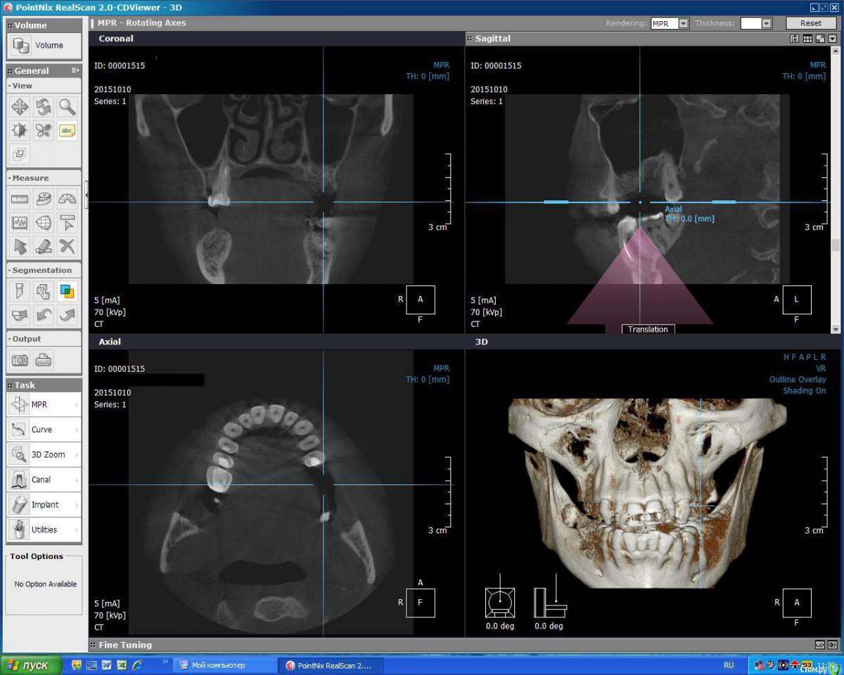
kuznetsovaev Опубликовано 19 октября, 2015 Поделиться Опубликовано 19 октября, 2015 (изменено) Добрый вечер, уважаемые врачи, подскажите мне пожалуйста какой вариант имплантации более правильный. Буду очень надеяться на вашу помощь. Так же буду рада если будут еще какие-то может более верные варианты. Заранее благодарю. Были кисты на верхней и нижней челюсти, в связи с чем удалили зубы.КТ от 10.10.2015г. Мне 33, пол женский.Верх лево: 7зуб и киста над ним удалены 18.09.2015, соседний 6-ой удален 3года назад.Низ право: 6-ой зуб удален 20.04.2015, киста и 7-8 зубы удалены 13.08.2015г. Пока хожу по клиникам ищу "своего" врача и слышу разные мнения. Вариант 1.1. Нижние 6 и 7 импланты ставить без костной пластики через пару месяцев (в декабре), кость сама нарастет. Сделать прицельный снимок перед имплантацией и все, т.к. очертания кости уже видны, кость просто станет более плотной, а границы уже не изменятся.2. Верхние 6 и 7 ставить через полгода после синуслифтинга. Вариант 2.1. Нижний 6 без костн.пластики, а в 7 лунку пересадить свой костный материал закрепив минигвоздиками (если правильно запомнила). Спустя три месяца ставить импланты сразу в 6 и 7.2. Верх синуслифтинг над 6 и 7кой, через полгода ставить и 6 и 7 имплантат. В этом варианте прозвучала еще мембрана и 4 болтика, я не поняла куда ее крепить будут. Вариант 3.1. Низ 6 готова к имплантации, а в 7ку засыпать микс кости моей и инородной. Спустя два-три месяца ставить импланты сразу в 6 и 7.2. А на верхней челюсти над 6-ой подъем пазухи, а над 7-кой не надо поднимать, а нужно засыпать в ее лунку смесь моей и инородной кости, закрыть мембраной. Ну и через полгода имплантация. Вариант 4.1. Внизу без костной пластики.2. Верх через закрытый синус досыпят кости с одновременной имплантацией. Изменено 19 октября, 2015 пользователем kuznetsovaev Ссылка на комментарий
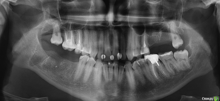
red_butler Опубликовано 19 октября, 2015 Поделиться Опубликовано 19 октября, 2015 У Вас есть обычный панорамный снимок? 2 Ссылка на комментарий
kuznetsovaev Опубликовано 19 октября, 2015 Автор Поделиться Опубликовано 19 октября, 2015 У Вас есть обычный панорамный снимок?Могу завтра сделать в обед, только на пленке. Если цифровой то только вечером получится. Ссылка на комментарий
faity Опубликовано 20 октября, 2015 Поделиться Опубликовано 20 октября, 2015 делайте сразу в цифреи не торопитесь вы так с имплантацией, у вас замыкающей пластинки(компактной) ещё нет. тот случай когда не стоит лететь впереди паровоза Ссылка на комментарий
kuznetsovaev Опубликовано 20 октября, 2015 Автор Поделиться Опубликовано 20 октября, 2015 Спасибо большое, просто в некоторых местах мне говорят что будет убыль кости.Хорошо значит есть время на санацию. Ссылка на комментарий
kuznetsovaev Опубликовано 20 октября, 2015 Автор Поделиться Опубликовано 20 октября, 2015 (изменено) Кроме убыли кости еще говорят зубы антагонисты начнут выезжать Изменено 20 октября, 2015 пользователем kuznetsovaev Ссылка на комментарий
faity Опубликовано 20 октября, 2015 Поделиться Опубликовано 20 октября, 2015 на полгода не затягивайте и ничего никуда не уедет 1 Ссылка на комментарий
kuznetsovaev Опубликовано 21 октября, 2015 Автор Поделиться Опубликовано 21 октября, 2015 Доброго дня всем, видимо кроме меня(Сегодня в клинике где делала ОПТГ решила проконсультироваться и на счет имплантов.Где меня ортопед и хирург ошарашили новой для меня негативной информацией:1. У меня неправильный прикус. (Я не знала этого.)2. Щелкает челюсть при открытии. (Да она действительно иногда хрустит, видимо я к этому так привыкла что не обращала на это внимание.)3. Имплантация возможна только после ортодонтических процедур раздвижения зубов и установки правильного прикуса. Говорят недостаточно места для нормальной высоты коронки.4. Ну и полная санация. Я знаю что есть вторичный кариес на 15,25, 6 и 7 нижние. Ну это мелочи, сейчас этим занимаюсь. Если еще где-то есть все вылечу. Теперь получается что два-три года мне будут двигать зубы и только потом ставить импланты? Убыль кости будет конкретная, уже без костной пластики не обойтись?И что делать с хрустом в суставе - это пройдет после установления правильного прикуса?я очень расстроена( куда мне в моем возрасте носить брекеты... да и дорого этоно если выхода нет то буду носить, если это не "развод" конечно Ссылка на комментарий
faity Опубликовано 21 октября, 2015 Поделиться Опубликовано 21 октября, 2015 удаление 2.8, 3.8брекетычерез год после начала лечения синуслифтинг с имплантацией 2 сегмент(слева сверху)через 4 месяца после синуса имплантация 4 сегмент(снизу справа)снимаем брекетыставим коронки на импланты и на 1.6, 1.5, 2.5, 3.6 после ревизии каналов 1 Ссылка на комментарий
kuznetsovaev Опубликовано 21 октября, 2015 Автор Поделиться Опубликовано 21 октября, 2015 Спасибо вам большое за ваш план лечения! Я не могла понять когда и что делать в какой последовательности, и то я коронки уже собралась ставить на 1.5 (еще не подготовили корни) и 1.6 (уже готов был, под коронку готовили, ждали когда я 1.5 смогу перелечить) через год после начала лечения синуслифтинг с имплантацией 2 сегмент(слева сверху) вот в этом месте - одновременный синуслифтинг с имплантацией я правильно поняла? Ссылка на комментарий
red_butler Опубликовано 21 октября, 2015 Поделиться Опубликовано 21 октября, 2015 Спасибо вам большое за ваш план лечения! Я не могла понять когда и что делать в какой последовательности, и то я коронки уже собралась ставить на 1.5 (еще не подготовили корни) и 1.6 (уже готов был, под коронку готовили, ждали когда я 1.5 смогу перелечить) вот в этом месте - одновременный синуслифтинг с имплантацией я правильно поняла?Возможно и без синуслифта получится, если нет то одновременно. 1 Ссылка на комментарий
faity Опубликовано 21 октября, 2015 Поделиться Опубликовано 21 октября, 2015 да одновременно, ну или как коллега предлагает без синуса, просто короткие импланты, Strauman в этом году линейку 4мм имплантов запустил, Astra Tech 6мм. правда на жевательные зубы я бы их не ставил 1 Ссылка на комментарий
kuznetsovaev Опубликовано 21 октября, 2015 Автор Поделиться Опубликовано 21 октября, 2015 (изменено) Я не знаю теперь во сколько мне обойдутся брекеты.., так до этого я собиралась ставить корейские имплант, по цене мне самые приемлемые А если одновременно то это называется закрытый синус? Изменено 21 октября, 2015 пользователем kuznetsovaev Ссылка на комментарий
faity Опубликовано 21 октября, 2015 Поделиться Опубликовано 21 октября, 2015 Я не знаю теперь во сколько мне обойдутся брекеты.., так до этого я собиралась ставить корейские имплант, по цене мне самые приемлемые А если одновременно то это называется закрытый синус?не зарывайтесь в термины, доверяйте доктору 2 Ссылка на комментарий
kuznetsovaev Опубликовано 21 октября, 2015 Автор Поделиться Опубликовано 21 октября, 2015 Так я его еще не выбрала, потому что несколько вариантов было лечения, но только 1 предложил сначала выровнять прикус - ему довериться? Ссылка на комментарий
red_butler Опубликовано 21 октября, 2015 Поделиться Опубликовано 21 октября, 2015 но только 1 предложил сначала выровнять прикус - ему довериться? это + доктору 2 Ссылка на комментарий
kuznetsovaev Опубликовано 21 октября, 2015 Автор Поделиться Опубликовано 21 октября, 2015 Спасибо! Ссылка на комментарий
kuznetsovaev Опубликовано 12 ноября, 2015 Автор Поделиться Опубликовано 12 ноября, 2015 Добрый день, можно еще спросить про терапию своих зубов в этой теме? пока я нахожусь "в очереди" к ортодонту и гнатологу.Меня вот такие вопросы интересуют.1. Зубы 1.1 1.2. 2.1 2.2 были залечены примерно 12 лет назад, какой-то один из них на штифте, кариеса сейчас нет, но вид уже не айс и хотела переделать, только чем:2. просто реставрации достаточно будет?3. или ставить что-то сверху и что именно - коронки/виниры/е-мах? в чем отличия и что долговечнее?4. А если я буду носить брекеты в ближ.будущем как это скажется на всем этом? или как лучше поступить подскажите пожалуйста Ссылка на комментарий
faity Опубликовано 12 ноября, 2015 Поделиться Опубликовано 12 ноября, 2015 эндодонтия= протезированиебрекеты= временные коронки Ссылка на комментарий
kuznetsovaev Опубликовано 13 ноября, 2015 Автор Поделиться Опубликовано 13 ноября, 2015 Извините меня, я не поняла Ссылка на комментарий
faity Опубликовано 13 ноября, 2015 Поделиться Опубликовано 13 ноября, 2015 вы не обойдетесь просто реставрацией, потому что вам будут перелечивать каналы. после эндодонтии в 100% случаев необходимо протезирование.вы планируете брекеты, соответсвенно на время ортодонтического лечения вам будут необходимы временные коронки, а не постоянные 2 Ссылка на комментарий
kuznetsovaev Опубликовано 13 ноября, 2015 Автор Поделиться Опубликовано 13 ноября, 2015 Теперь понятно, спасибо Ссылка на комментарий
kuznetsovaev Опубликовано 20 ноября, 2015 Автор Поделиться Опубликовано 20 ноября, 2015 Добрый день, еще вопрос пока мою тему не закрыли.Вот установят импланты по 2шт внизу и вверху, а коронки на них какие правильно поставить спаренные или отдельные? Где-то читала что лучше сдвоенные, но как быть если что-то не дай бог случится с одним из имплантов со временем снимать пару коронок и переделывать потом? Ссылка на комментарий
kuznetsovaev Опубликовано 20 ноября, 2015 Автор Поделиться Опубликовано 20 ноября, 2015 и еще вопрос про пластику десныменя интересует кто будет или кто должен "делать" межзубные сосочки? это имплантолог или ортопед? или их не восстанавливают вообще? Ссылка на комментарий
IvanK Опубликовано 21 ноября, 2015 Поделиться Опубликовано 21 ноября, 2015 Добрый день, еще вопрос пока мою тему не закрыли.Вот установят импланты по 2шт внизу и вверху, а коронки на них какие правильно поставить спаренные или отдельные? Где-то читала что лучше сдвоенные, но как быть если что-то не дай бог случится с одним из имплантов со временем снимать пару коронок и переделывать потом?Этот вопрос решает Врач индивидуально и еще вопрос про пластику десныменя интересует кто будет или кто должен "делать" межзубные сосочки? это имплантолог или ортопед? или их не восстанавливают вообще?Работа общаяХирург увеличивает объем десны, Ортопед моделирует с помощью коронок 3 Ссылка на комментарий
Рекомендуемые сообщения
Для публикации сообщений создайте учётную запись или авторизуйтесь
Вы должны быть пользователем, чтобы оставить комментарий
Создать аккаунт
Зарегистрируйте новый аккаунт в нашем сообществе. Это очень просто!
Регистрация нового пользователяВойти
Уже есть аккаунт? Войти в систему.
Войти