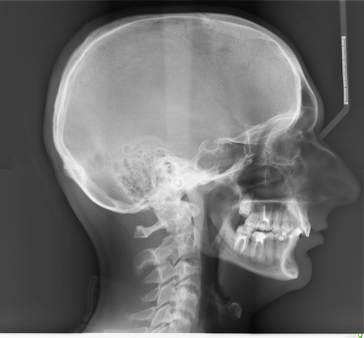
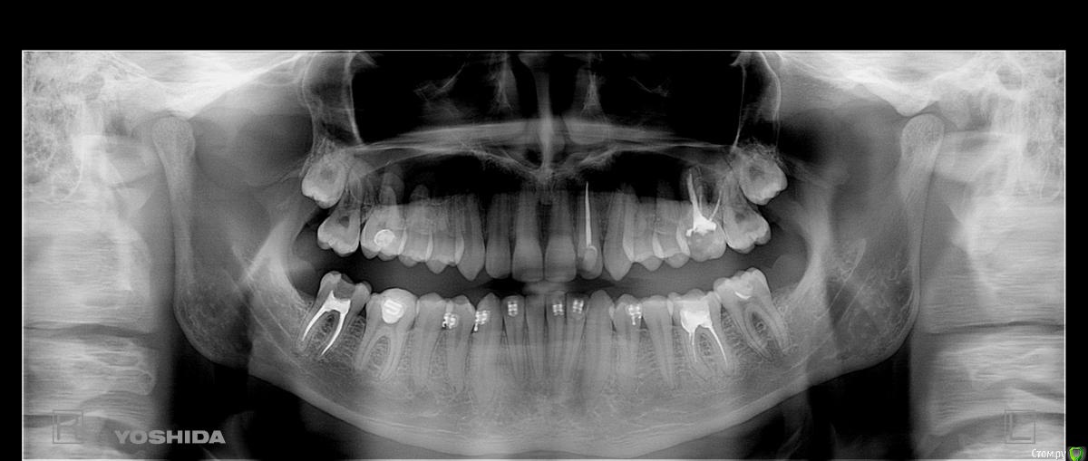
babledy Опубликовано 19 октября, 2015 Поделиться Опубликовано 19 октября, 2015 Доброго времени суток. Зовут меня Ростислав, мне 18 лет, в данный момент учусь и живу в Киеве. То что у меня проблемы с прикусом знал еще с 15 лет, до этого уже один раз проводилось лечение брекетами, но я остался категорически не доволен результатом. На предпоследнем посещении мне сказали что при снятии брекетов будут спиливать около 3-4 миллиметров передних зубов на НЧ и в связи с этим на последнее посещение я не пришел( До сих пор хожу с замочками на НЧ). После такого неудачного лечения я надеялся на профессионализм врачей в столице, но не тут то было. После 4 консультаций в разных клиниках, в первых трех врачи посмотрели меня, не сделав ни одного снимка и диагноз был таков - глубокий дистальный прикус, переразвитие верхней челюсти и недоразвитие нижней(их задача как я понял - просто исправить прикус, не учитывая черты лица). Я категорически не согласен с этим, хоть я и не врач, но как у меня может быть переразвитие ВЧ, если профиль моего лица вогнутый? В последней клинике мне удалось откровенно поговорить с врачом, я рассказал ей что меня не устраивает и она направила меня сделать два снимка. Она сказала нечто иное, что НЧ у меня наоборот нормально развита и так же она мне сказала, что когда мне хотели спиливать нижние передние зубы, то это таким образом мне хотели вылечить кривую Шпея. На консультациях я ожидал, что мне как минимум скажут о недоразвитии ВЧ, скажут что нужно двигать зубы ВЧ вперед, чтобы поправить профиль. Дорогие врачи, к чему я все это завел. Я уже около недели хожу никакой, разочаровался что меня уже вылечить не смогут так, как мне того хотелось или же просто эти "врачи" не хотят усложнять себе жизнь моим нормальным, правильным лечением? Действительно ли у меня переразвитие ВЧ или же нет и какой реальный диагноз моего прикуса, можно ли его лечить? Ссылка на комментарий
m.d.n Опубликовано 19 октября, 2015 Поделиться Опубликовано 19 октября, 2015 Лечить можно, если хотите профиль лицо и тд- то ортогнатическая хирургия вам в помощь. дело не в размере челюстей а в их положении относительо основания черепа Ссылка на комментарий
babledy Опубликовано 19 октября, 2015 Автор Поделиться Опубликовано 19 октября, 2015 Лечить можно, если хотите профиль лицо и тд- то ортогнатическая хирургия вам в помощь. дело не в размере челюстей а в их положении относительо основания черепа А возможно ли исправить без хирургического вмешательства? С использованием лицевой маски или возможно какой-то схожей аппаратуры? Ссылка на комментарий
m.d.n Опубликовано 19 октября, 2015 Поделиться Опубликовано 19 октября, 2015 (изменено) Послушайте вы хотели адекватное мнение- я вам его озвучил.еСЛИ ВАМ НАДО КРАСИВОЕ ЛИЦО .Других вариантов НЕ СУЩЕСТВУЕТ. Но если вам хочется маску- ВПЕРЕД.лУЧше сразу гипс. Изменено 19 октября, 2015 пользователем m.d.n Ссылка на комментарий
babledy Опубликовано 19 октября, 2015 Автор Поделиться Опубликовано 19 октября, 2015 Послушайте вы хотели адекватное мнение- я вам его озвучил.еСЛИ ВАМ НАДО КРАСИВОЕ ЛИЦО .Других вариантов НЕ СУЩЕСТВУЕТ. Но если вам хочется маску- ВПЕРЕД.лУЧше сразу гипс.Понял, спасибо) Ссылка на комментарий
Рекомендуемые сообщения
Для публикации сообщений создайте учётную запись или авторизуйтесь
Вы должны быть пользователем, чтобы оставить комментарий
Создать аккаунт
Зарегистрируйте новый аккаунт в нашем сообществе. Это очень просто!
Регистрация нового пользователяВойти
Уже есть аккаунт? Войти в систему.
Войти