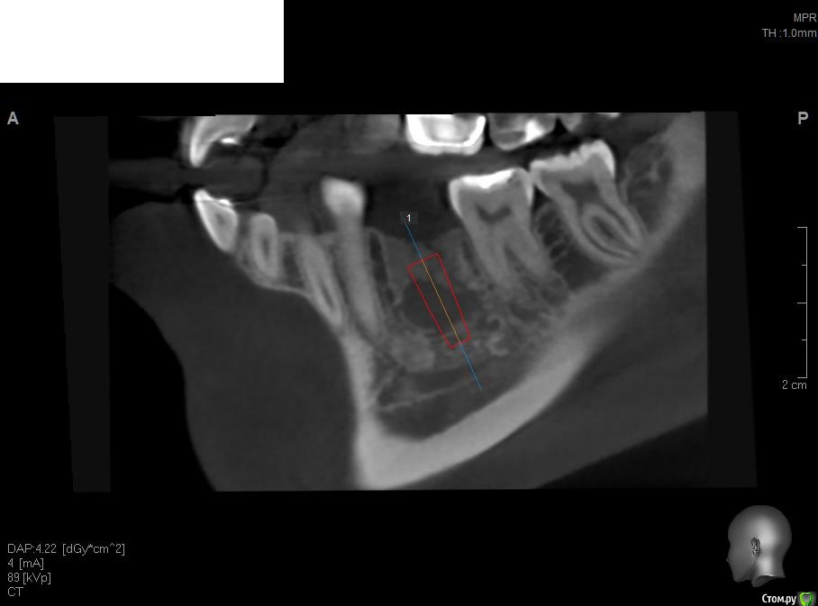
Кариес+ Опубликовано 18 октября, 2015 Поделиться Опубликовано 18 октября, 2015 Зравствуйте коллеги имею не большой опыт в имплантации есть некоторые вопросы. планируется операция в области 4.6 , судя по кт есть небольшое просветление у вершины гребня , будет ли там кость или готовиться к нкр? Ссылка на комментарий
Aquarius Опубликовано 18 октября, 2015 Поделиться Опубликовано 18 октября, 2015 Срез надо по ширине поменьше, но похоже,что не надо никакой НКР, особенно в свете последних трендов 1 Ссылка на комментарий
Aquarius Опубликовано 18 октября, 2015 Поделиться Опубликовано 18 октября, 2015 Ставьте 4 мм и не грейте голову 2 Ссылка на комментарий
Кариес+ Опубликовано 18 октября, 2015 Автор Поделиться Опубликовано 18 октября, 2015 что - за последние тренды относящиеся к моей ситуации есть ?) просвятите ) Ссылка на комментарий
Aquarius Опубликовано 18 октября, 2015 Поделиться Опубликовано 18 октября, 2015 Там по середине у Вас какая-то каверна рисуется непонятная, но в общем даже если не хватит кости, добавить коллагена с бугра при оголении импланта ( что маловероятно в Вашем случае) и спать спокойно Ссылка на комментарий
Кариес+ Опубликовано 18 октября, 2015 Автор Поделиться Опубликовано 18 октября, 2015 то есть сейчас достаточно чтоб имплант был покрыт толстым слоем мягких тканей в корональной его части, и не совсем обязательно чтоб костью? Ссылка на комментарий
Aquarius Опубликовано 18 октября, 2015 Поделиться Опубликовано 18 октября, 2015 (изменено) Верно. Кератинизированной, прикрепленной десной Изменено 18 октября, 2015 пользователем Aquarius Ссылка на комментарий
Кариес+ Опубликовано 18 октября, 2015 Автор Поделиться Опубликовано 18 октября, 2015 в этой ситуации как лучше увеличить обьем керат прикрепленной десны? шашлычок(сст) на формер или апикально сместить лоскут и добавить сдт? Ссылка на комментарий
Aquarius Опубликовано 18 октября, 2015 Поделиться Опубликовано 18 октября, 2015 Мое мнение - даже после ушивания в имеющемся объеме Вам хватит прикрепленки. Без доп.манипуляций. Ну может действительно одеть на формик ССТ и все. Дождитесь, когда сенсеи ответят 1 Ссылка на комментарий
Кариес+ Опубликовано 18 октября, 2015 Автор Поделиться Опубликовано 18 октября, 2015 на фото полости рта это другой клинический случай. там уже стоит импланта и планируется установка формирователя Ссылка на комментарий
syrovovec Опубликовано 18 октября, 2015 Поделиться Опубликовано 18 октября, 2015 Сст в конверт, разрез на открытии немного язычнее, но по центру, сст зафиксируйте одним швом , или шашлычок с заходом в вестибулярный конверт, если кусок большой будет Ссылка на комментарий
Mane Опубликовано 18 октября, 2015 Поделиться Опубликовано 18 октября, 2015 4х10, и заглубите. Можно сразу формик Сст вестибулярно 2 Ссылка на комментарий
Кариес+ Опубликовано 18 октября, 2015 Автор Поделиться Опубликовано 18 октября, 2015 спасибо всем! Ссылка на комментарий
Кариес+ Опубликовано 19 октября, 2015 Автор Поделиться Опубликовано 19 октября, 2015 (изменено) Чтобы не плодить тем , решил спросить тут , планирую закрыть конвертом, правильная тактика или лучше выбрать коронально смещенным лоскутом ? Изменено 19 октября, 2015 пользователем Кариес+ Ссылка на комментарий
Bier Опубликовано 19 октября, 2015 Поделиться Опубликовано 19 октября, 2015 я бы выбрал тут скорее латеральный смещенный из области соседнего зуба. Ссылка на комментарий
Mane Опубликовано 20 октября, 2015 Поделиться Опубликовано 20 октября, 2015 Можно и тоннельно Ссылка на комментарий
carloss Опубликовано 20 октября, 2015 Поделиться Опубликовано 20 октября, 2015 я бы выбрал тут скорее латеральный смещенный из области соседнего зуба. Только взглянув на фото, у меня тоже такая мысль возникла.. но если приглядеться, кератинизированная полоска на соседнем зубе тоньше чем требуется для латерального смещения 2 Ссылка на комментарий
Bier Опубликовано 20 октября, 2015 Поделиться Опубликовано 20 октября, 2015 Только взглянув на фото, у меня тоже такая мысль возникла.. но если приглядеться, кератинизированная полоска на соседнем зубе тоньше чем требуется для латерального смещениясогласен, смотрел с айпада Ссылка на комментарий
Павел7809 Опубликовано 22 октября, 2015 Поделиться Опубликовано 22 октября, 2015 Чтобы не плодить темы, спрошу тут...Собственно ....что за дырка? Зуб удалял порядка 2 мес назад, достаточно травматично было.Лунка успокоилась совсем не сразу, но тем не менее воспалительных явлений жалоб и тд нет... Крутить, подождать, засыпать, затыкать? Ссылка на комментарий
Кариес+ Опубликовано 25 октября, 2015 Автор Поделиться Опубликовано 25 октября, 2015 Уважаемые коллеги , установил имплант, одномоментно сст с бугра. Имплант как видно встал не так как хотел , и имплантовод во время извлечения упал на пол . Переставить вариантов не было. Ушил . Каков ортопедический прогноз ? Имплант нобель актив 4.3/11.5 Ссылка на комментарий
k.t.m. Опубликовано 25 октября, 2015 Поделиться Опубликовано 25 октября, 2015 Угловой стандартный или фрезерный индивидуальный абатмен,позиция больше по глубине плохая ,не заглубили Ссылка на комментарий
Кариес+ Опубликовано 3 ноября, 2015 Автор Поделиться Опубликовано 3 ноября, 2015 Коллеги какой вид костной пластики будет предпочтительнее? Планирую имплант имплантиум 3.8/10 и вестибулярно биоос с ауто и укрыть evolution . Ссылка на комментарий
Кариес+ Опубликовано 3 ноября, 2015 Автор Поделиться Опубликовано 3 ноября, 2015 Фото Ссылка на комментарий
Bier Опубликовано 3 ноября, 2015 Поделиться Опубликовано 3 ноября, 2015 Зачем вы на нижнюю челюсть пихали актив? Надо было обработать имплантоввод и перекрутить. Ссылка на комментарий
Кариес+ Опубликовано 3 ноября, 2015 Автор Поделиться Опубликовано 3 ноября, 2015 Зачем вы на нижнюю челюсть пихали актив? Надо было обработать имплантоввод и перекрутить.Побоялся не автоклавированным лезть ) , а актив был в наличии только он, поставщик подвел с доставкой реплейса, чтоб не отменять операцию . Это чем-то чревато? Ссылка на комментарий
Рекомендуемые сообщения
Для публикации сообщений создайте учётную запись или авторизуйтесь
Вы должны быть пользователем, чтобы оставить комментарий
Создать аккаунт
Зарегистрируйте новый аккаунт в нашем сообществе. Это очень просто!
Регистрация нового пользователяВойти
Уже есть аккаунт? Войти в систему.
Войти