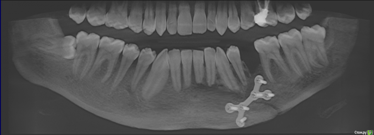
senchauser001 Опубликовано 17 октября, 2015 Поделиться Опубликовано 17 октября, 2015 Здравствуйте, уважаемые доктора. 2-го августа я получил одеосторонний перелом нижней челюсти со смещением, также был отломан альвеолярный отросток с 1-го по 5-ый зубы. Травма была очень серьезная. 3-го числа сделали операцию - остеосинтез титановой пластиной, наложилы шины, челюсти тягами не смыкали. Хирург попытался сохранить зубы и зафиксировал отломок одним шурупом плстины и шиной. Операцию делали из ротовой полости. Наружних повреждений в рузультате травмы я не получил.Через две недели сняли швы и только тогда я смог достаточно открыть рот чтобы разглядеть все полностью. В области 5го и 4го зубов наружней десны небыло, была видна кость и ушко титановой пластины. Врач удивился, сказал что пока на мне будут шины ничего не возможно сделать, а потом сделают небольшую пластику и все исправят. Назначил пасту солкосерил для регенерации тканей, мол поможет затянуться. Через 3 недели после операции сделали снимок и надели тяги для исправления прикуса. Картина на снимке врачю понравилась. 2 сентября сделали снимок и сняли тяги. Шины снимать не стали, т.к. зубы были подвижны, зашивать дисну также не стали. Велели продолжать мазать мазь, мол пусть сама затянется. 18-го сентября врачь решил зашить дисну, т.к. сама она не затагивалась. Через три дня рана раскрылась. Врач сказал что так не должно было быть, сказал придти через неделю, а пока продолжать мазать солкосерил. Через неделю, когда я пошел к врачю, тот сказал что в результате травмы нарушилось кровоснабжение и зашивать нет смысла, надо подождать. 2 октября наконецто сняли шины. Врачу очень не понравилось состояние зубов, они были подвижны, также он сказал что кость начала рассасываться. С наружней стороны дисна практически опустилась, видны были перегородки, кости еще больше оголились. Врачь направил меня к стоматологу, чтобы тот оценил какие зубы можно сохранить. Стоматологу состояние зубов не понравилась, сказал, что начался некроз кости и для адекватной оценки нужно сделать 3d томографию челюсти. Когда стоматолог рассмотрел томоргафию, то пришел в ужас и сказал что возможно придется удалять все 4 зуба, а также поврежденную кость. Я обратился в другую больницу на консультацию к члх, который осмотрев меня, и посмотрев томографию однозначно сказал, что нужно удалять весь отломок и отправил обратно к моему врачю. Я опять пошел к своему члх с этой томографией и только тогда, когда он ее посмотрел, то его осенило. Он сказал что отломанный альвеолярный отросток лишен кровоснабжения, он секвестируется, начелся некроз кости и его нужно удалять. Если бы не эта томография, он собирался удалить 2-ой и 4-ый зуб и натянуть все дисной. Все это время у меня не было не повышенной температуры, не болевых ощушений, ничего, что указывало бы на наличие восполительного процесса или чегото еще. В результате я потерял более чем 2 месяца безрезультатно. Сам члх достаточно опытный врачь, начальник отделения и кроме него меня смотрели другие члх из той же больницы. Если бы стоматолог не направил бы меня на 3d томаграфию, то не известно что было бы дальше. Теперь я не знаю как я могу доверять этому врачю, если он вовремя не обатил на это внимание и вел меня совсем другим путем? Каким образом после операции была оголена такая большая чась кости? Возможно ли было сохранить хотябы альвеолярный отросток удалением зубов? Как теперь можно будеть вставлять импланты? Стоит ли менять врача? Ваще мнение для меня очень важно. Заранее Спасибо! 1 Ссылка на комментарий
Petr_Off Опубликовано 18 октября, 2015 Поделиться Опубликовано 18 октября, 2015 К сожалению, прогноз таких переломов неблагоприятен. Возможно, получилось бы сохранить его, если удалить оба резца. Но не факт. Ссылка на комментарий
senchauser001 Опубликовано 18 октября, 2015 Автор Поделиться Опубликовано 18 октября, 2015 Спасибо за отзыв. Что вы имеете в виду под "прогноз таких переломов неблагоприятен"? Стоит ли менять врача? Ссылка на комментарий
senchauser001 Опубликовано 20 октября, 2015 Автор Поделиться Опубликовано 20 октября, 2015 Сегодня сделалаи секвестрэктомию, удалили весь секвестр. Скажите пожалуста, нужно ли снимать имплант (пластину) и через скодько времени? Ссылка на комментарий
Рекомендуемые сообщения
Для публикации сообщений создайте учётную запись или авторизуйтесь
Вы должны быть пользователем, чтобы оставить комментарий
Создать аккаунт
Зарегистрируйте новый аккаунт в нашем сообществе. Это очень просто!
Регистрация нового пользователяВойти
Уже есть аккаунт? Войти в систему.
Войти