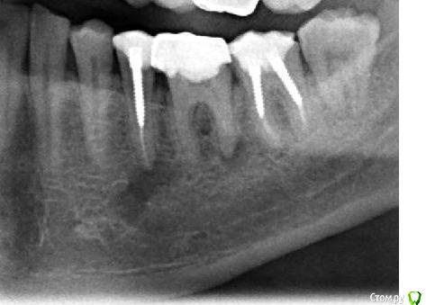
SergeySergey Опубликовано 16 октября, 2015 Поделиться Опубликовано 16 октября, 2015 Киста - что делать ? Заныла десна под 5 и 6 зубом, сделал рентген, результат - киста под 2-мя зубами 5 и 6 и еще киста между корнями у 6-ки.5 зуб болезненно реагирует на постукивания. Хирург и мой постоянный лечащий врач-терапевт говорят - нужно удалять два зуба и кисту, лечить не получится и обосновывают следующим:Проблема что 5 зуб со штифтом и вытащит штифт не возможно, а 6 проблемный в плане перелечивания, так как в канале есть инородное тело (возможно фрагмент инструмента), достать нереально а очаг как раз на верхушке этого корня, передние каналы 6 зуба тоже плохие (не видны), скорее всего не проходимы. Вероятно лечился резорцин-формалиновым методом и очень давно (1995-97 гг) Еще в другом месте врач-терапевт консультировал и говорит - не удалять а лечить все вопросы решаемые - штифт из 5-ки можно извлечь, если не извлечется штифт, то хирург доберется к кисте через челюсть, а 6-ку каналы можно вскрыть. и все вылечить за несколько месяцев и несколько посещений. Ваше мнение ? Что делать идти не к своему врачу а к тому который возьмется или удалять как говорить мой врач и хирург ? Ссылка на комментарий
sydnik Опубликовано 16 октября, 2015 Поделиться Опубликовано 16 октября, 2015 только лечить , никаких удалений !5-ка проблемная (из-за штифта), а так все должно получиться, ищите грамотного доктора 4 Ссылка на комментарий
red_butler Опубликовано 16 октября, 2015 Поделиться Опубликовано 16 октября, 2015 + 1 перелечить 5 и 6 зубы. Попробуйте найти врача на форуме - http://forum.stom.ru/topic/4752-posovetujte-terapevta-v-gorode-n/ 1 Ссылка на комментарий
shishok Опубликовано 16 октября, 2015 Поделиться Опубликовано 16 октября, 2015 Шишки на десне изнутри-экзостозы(нормальные анатомические образования).Не беспокойтесь. Ссылка на комментарий
Гарриевич Опубликовано 16 октября, 2015 Поделиться Опубликовано 16 октября, 2015 Зубы вполне пригодны под лечение. Ищите специалиста и лечите. Прогноз хороший Ссылка на комментарий
Рекомендуемые сообщения
Для публикации сообщений создайте учётную запись или авторизуйтесь
Вы должны быть пользователем, чтобы оставить комментарий
Создать аккаунт
Зарегистрируйте новый аккаунт в нашем сообществе. Это очень просто!
Регистрация нового пользователяВойти
Уже есть аккаунт? Войти в систему.
Войти