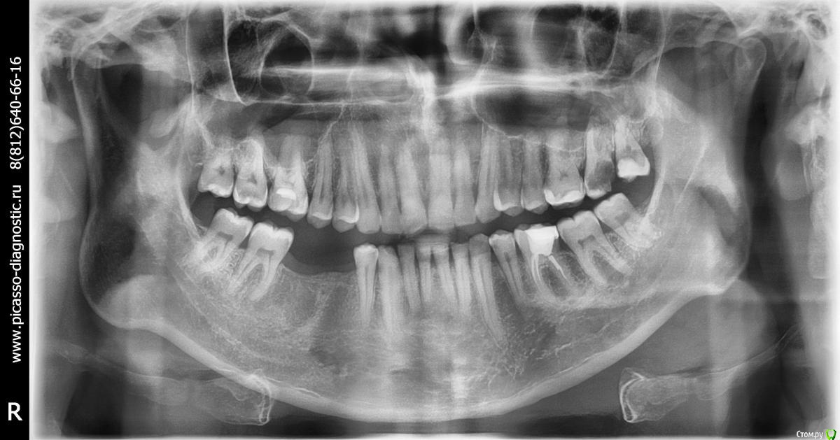
LOST Опубликовано 14 октября, 2015 Поделиться Опубликовано 14 октября, 2015 Добрый день.Подскажите пожалуйста. Врач рекомендует поствить мост на нижней челюсти, где отсутствуют два зуба. См. фото.Сказал что придется депульпировать два соседних опорных зуба - такая техника установки моста. С этими зубами у меня проблем нет, кроме кариеса, который планировал лечить.Не знаю что делать. Стоит ли ставить мост? Ведь в этом случае два опорных зуба станут "мертвыми" ( без нервов ).Чем грозит отсутствие зубов на моей нижней челюсти, если я все же не поставлю мост? Их там нет уже 4 года и их отсутствие особых неудобств не доставляет.Дайте пожалуйста совет ставить или нет? Спасибо. Ссылка на комментарий
red_butler Опубликовано 14 октября, 2015 Поделиться Опубликовано 14 октября, 2015 мост не стоит делать. 2 Ссылка на комментарий
Alberto Опубликовано 14 октября, 2015 Поделиться Опубликовано 14 октября, 2015 Два импланта решат вашу проблему. 6 Ссылка на комментарий
Чертков Александр Опубликовано 14 октября, 2015 Поделиться Опубликовано 14 октября, 2015 Два импланта решат вашу проблему.С вероятностью 101% 1 Ссылка на комментарий
kozloff Опубликовано 14 октября, 2015 Поделиться Опубликовано 14 октября, 2015 (изменено) Чем грозит отсутствие зубов на моей нижней челюсти, если я все же не поставлю мост? https://youtu.be/2t5hQijcb5E Изменено 14 октября, 2015 пользователем kozloff 2 Ссылка на комментарий
IvanK Опубликовано 15 октября, 2015 Поделиться Опубликовано 15 октября, 2015 + обратите внимание на другие зубы Ссылка на комментарий
Рекомендуемые сообщения
Для публикации сообщений создайте учётную запись или авторизуйтесь
Вы должны быть пользователем, чтобы оставить комментарий
Создать аккаунт
Зарегистрируйте новый аккаунт в нашем сообществе. Это очень просто!
Регистрация нового пользователяВойти
Уже есть аккаунт? Войти в систему.
Войти